A rare case of systemic AL-amyloidosis under the mask of myocardial infarction in the absence of myocardial hypertrophy: case report
- Authors: Boldueva S.A.1, Evdokimov D.S.1, Rozhdestvenskaya M.V.2, Vinnichuk S.A.1, Mitrofanova L.B.3
-
Affiliations:
- Mechnikov North-Western State Medical University
- LLC «AVA-PETER»
- Almazov National Medical Research Centre
- Issue: Vol 13, No 2 (2022)
- Pages: 101-106
- Section: Case reports
- Submitted: 19.03.2022
- Accepted: 16.09.2022
- Published: 09.10.2022
- URL: https://cardiosomatics.ru/2221-7185/article/view/105142
- DOI: https://doi.org/10.17816/CS105142
- ID: 105142
Cite item
Full Text
Abstract
Systemic amyloidosis is a group of diseases associated with extracellular deposition of fibrillar proteins, resulting in the loss of normal organ structure and function. AL-amyloidosis occurs when amyloid is deposited, consisting of full-length lambda or kappa immunoglobulin light chains, or fragments thereof. This article describes the complexity of timely diagnosis of systemic AL-amyloidosis with a predominant heart lesion in the absence of myocardial «hypertrophy» on the example of an elderly patient in whom the leading manifestation of the disease was heart failure with a preserved left ventricular ejection fraction.
Full Text
СПИСОК СОКРАЩЕНИЙ
АД – артериальное давление
ГЛЖ – гипертрофия левого желудочка
ИМ – инфаркт миокарда
КДО – конечно-диастолический объём
КСО – конечно-систолический объём
ЛЖ – левый желудочек
МЖП – межжелудочковая перегородка
СЗСТ – системные заболевания соединительной ткани
СКФ – скорость клубочковой фильтрации
ФВ ЛЖ – фракция выброса левого желудочка
ЧСС – частота сердечных сокращений
ЭКГ – электрокардиография
ЭхоКГ – эхокардиография
NYHA – New York Heart Association (Нью-Йоркская кардиологическая ассоциация)
ВВЕДЕНИЕ
Системный амилоидоз относится к болезням накопления и в последние годы диагностируется всё чаще. Самой распространённой его формой является AL-амилоидоз, при котором амилоидогенный белок состоит из полноразмерных λ- или κ-лёгких цепей иммуноглобулина либо их фрагментов. На долю AL-амилоидоза приходится около 67–68% всех случаев системного амилоидоза [1].
Амилоидоз продолжает вызывать трудности в диагностике, часто его обнаруживают уже в поздние сроки от начала заболевания или диагностируют посмертно. Причинами такой ситуации являются большое разнообразие клинических симптомов, недостаточная настороженность врачей в отношении этой патологии, а также сложный и длительный процесс диагностики, требующий современного оснащения клиник [2].
Представляем клинический случай AL-κ-амилоидоза, протекавшего с необычным для этого заболевания поражением сердца.
КЛИНИЧЕСКИЙ ПРИМЕР
О ПАЦИЕНТЕ
Пациентка М., 60 лет, поступила в отделение кардиореанимации ФГБОУ ВО «Северо-Западный государственный медицинский университет им. И.И. Мечникова» (Санкт-Петербург) 13.04.2020 г. с диагнозом направления: «Острый коронарный синдром без подъёма сегмента ST». При поступлении предъявляла жалобы на приступообразную давящую боль за грудиной умеренной интенсивности длительностью около 15–20 мин, иррадиирущую в шею и нижнюю челюсть, возникающую при ходьбе, а также в положении лёжа на спине, купирующуюся самостоятельно в покое и при приёме вертикального положения. Кроме того, беспокоила одышка в горизонтальном положении тела и при минимальной физической нагрузке.
В анамнезе – длительно существующая гипертоническая болезнь с максимальным повышением артериального давления (АД) до 150/90 мм рт. ст., привычные цифры АД на фоне постоянной гипотензивной терапии (названия препаратов не помнит) – 110–100/60 мм рт. ст. 09.01.2020 г. впервые появились вышеописанные ощущения в грудной клетке, в связи с чем обратилась в поликлинику по месту жительства. По данным рентгенографии органов грудной клетки (электрокардиография – ЭКГ – не выполнялась) выявлены правосторонняя пневмония, плеврит (повышения температуры тела, кашля, слабости не отмечала), в связи с чем была госпитализирована в городскую больницу. В стационаре, со слов пациентки, подтвердили плевропневмонию, получала антибактериальную, диуретическую, гипотензивную терапию (названия препаратов не помнит). На фоне проводимого лечения состояние улучшилось, одышка уменьшилась, боль в груди не беспокоила, ввиду чего больная была выписана и приступила к работе. Выписки из стационара не представлены.
Ухудшение состояния произошло через месяц, 08.02.2020 г., когда в покое неожиданно возникла жгучая интенсивная боль за грудиной продолжительностью около 20 мин, прошедшая самостоятельно. На следующей день амбулаторно в частной клинике выполнена эхокардиография (ЭхоКГ), со слов пациентки, патологических изменений не обнаружено. Ещё через сутки стали нарастать одышка, общая слабость, появилась рецидивирующая боль жгучего характера в грудной клетке, преимущественно в левой половине, без иррадиации, возникающая без чёткой связи с физической нагрузкой, продолжительностью до 10 мин, проходящая самостоятельно. Учитывая ухудшение состояния, 13.02.20 г. вновь обратилась в поликлинику по месту жительства, откуда была в экстренном порядке госпитализирована в СПб ГБУЗ «Городская многопрофильная больница № 2» (Санкт-Петербург) с диагнозом острого коронарного синдрома без элевации сегмента ST от 08.02.20 г. На ЭКГ при поступлении (имеется описание) – «синусовый ритм с ЧСС 70 ударов в минуту, диффузные изменения процессов реполяризации», которые нормализовались к 3-м суткам госпитализации. Тропонин I при поступлении – 4522 пг/мл (норма 0–26) с последующей нормализацией к 12-м суткам. В клиническом анализе крови при поступлении обнаружены небольшое увеличение числа лейкоцитов (до 10,9×109/л) с нормализацией к 3-м суткам, нормохромная нормоцитарная анемия лёгкой степени тяжести (число эритроцитов – 3,31×1012/л, концентрация гемоглобина – 99 г/л, средний объём эритроцита – 89,2 фл при норме 75–95), среднее содержание гемоглобина в эритроците составило 30 пг (норма 24–34). В биохимическом анализе крови: незначительное повышение концентрации С-реактивного белка (до 0,8 мг/дл, норма – 0–0,5), креатинина (до 156 мкмоль/л), мочевины (до 9,9 ммоль/л, норма – 2,5–7,2), снижение содержания железа (до 7,1 мкмоль/л, норма – 9–30,4); уровень ферритина – 155,4 нг/мл (норма 4,6–204,4), фолиевой кислоты – 4,2 нг/мл (норма 2,3–17,6), витамина B12 – 483 пг/мл (норма 187–883); в остальном – без значимых особенностей.
По данным ЭхоКГ от 14.02.20 г.: фракция выброса левого желудочка (ФВ ЛЖ) – 48%, межжелудочковая перегородка (МЖП) – 10,5 мм, задняя стенка ЛЖ – 10,5 мм, конечно-диастолический объём (КДО) – 107 мл, конечно-систолический объём (КСО) – 52 мл, индекс массы миокарда – 104 г/м2, левое предсердие – 55 мл, имеется лёгкое снижение систолической функции ЛЖ за счёт диффузной гипокинезии стенок, митральная недостаточность 1–2-й степени, трикуспидальная недостаточность 1-й степени, систолическое давление в лёгочной артерии – 60 мм рт. ст., жидкость в перикарде с расхождением листков до 7 мм, гидроторакс.
По данным компьютерной томографии органов грудной клетки от 14.02.20 г.: двусторонний гидроторакс (справа до 66, слева – до 48 мм), посттуберкулёзные изменения во внутригрудных лимфатических узлах, кардиомегалия, жидкость в брюшной полости, деструктивные изменения костей (остеопороз?).
При выполнении повторной ЭхоКГ (05.03.20 г.): ФВ ЛЖ – 57%, гипокинезия базального сегмента нижней стенки ЛЖ, в полости перикарда сохраняется небольшое количество жидкости (расхождение листков до 5 мм), обнаружено незначительное количество жидкости в плевральных полостях. Состояние расценено как острый инфаркт миокарда (ИМ) нижней стенки ЛЖ без подъёма ST от 08.02.2020 г.
Учитывая сроки ИМ, отсутствие ангинозной боли за время госпитализации, коронарографию во время госпитализации не выполняли. Как следует из выписного эпикриза, течение заболевания осложнилось синдромом Дресслера, с 08.03.20 г. пациентка получала преднизолон, начиная с 30 мг/сут с последующим снижением дозы и отменой препарата. После выписки из стационара ангинозная боль не рецидивировала, одышка возникала при умеренной физической нагрузке (подъём на 3–4-й этаж).
Ухудшение состояния – с 05.04.2020 г. в виде появления вышеописанных жалоб на боль в грудной клетке и одышку, которые пациентка предъявляла при поступлении в нашу клинику, и что и послужило поводом для госпитализации.
В анамнезе – постменопаузальный остеопороз, лечения не получала. Наследственность: отец умер в 58 лет от ИМ. Аллергологический анамнез без особенностей, профессиональные вредности отрицает, гинекологический анамнез не отягощён. Контакты с лихорадящими и инфекционными больными за последние месяцы также отрицает.
ФИЗИКАЛЬНАЯ ДИАГНОСТИКА
Объективно состояние при осмотре тяжёлое, заторможена. Лежит с приподнятым головным концом кровати (около 70°). Вены шеи набухшие, пульсируют. Кожный покров бледный, сухой, цианоза нет. Небольшая пастозность в области голеностопных суставов. При термометрии температура тела 36,3°С. Артериальное давление 80/60 мм рт. ст. на обеих руках. Пульс ритмичный, 95 ударов в минуту, симметричный, удовлетворительного наполнения и напряжения. Тоны сердца приглушены, ритмичные, выслушивается неинтенсивный систолический шум на верхушке. Частота дыхания – 20 в минуту, сатурация на атмосферном воздухе – 85%. Аускультативно дыхание жёсткое, ослаблено в нижних отделах, хрипов нет. Живот мягкий, безболезненный, печень и селезенка не пальпируются. Поколачивание по поясничной области безболезненное. Начата подача увлажнённого кислорода через носовые канюли со скоростью 5 л/мин, на фоне инсуфляции кислородом сатурация – 97%.
На ЭКГ при поступлении: синусовый ритм с ЧСС 85 ударов в минуту, атриовентрикулярная блокада 1-й степени, блокада передневерхнего разветвления левой ножки пучка Гиса, нарушение процессов реполяризации на переднебоковой стенке ЛЖ (рис. 1).
Рис. 1. ЭКГ пациентки М. при поступлении.
Fig. 1. Patient M. EKG upon admission.
В клиническом анализе крови: умеренный нейтрофильный лейкоцитоз (число лейкоцитов – 9,5×109/л, нейтрофилов – 6,5×109/л), нормохромная нормоцитарная анемия лёгкой степени тяжести (число эритроцитов – 3,52×1012/л, концентрация гемоглобина – 110 г/л, средний объём эритроцита – 85,6 фл при норме 75–91), среднее содержание гемоглобина в эритроците – 29,1 пг (норма 27–31).
В биохимическом анализе крови: повышение концентрации креатинина до 137 мкмоль/л (норма 44–97; расчётная скорость клубочковой фильтрации – СКФ – по формуле CKD-EPI – 48 мл/мин на 1,73 м2), мочевины – до 9,8 ммоль/л (норма 1,8–8,3), концентрация глюкозы – 7,4 ммоль/л (норма 3,4–6,2), наблюдали снижение содержания общего белка до 58 г/л (норма 65–85); активность аланинаминотрансферазы составила 27 ед/л (норма 0–42), аспартатаминотрансферазы – 31 ед/л (норма 0–42); уровень общего билирубина – 6,9 мкмоль/л (норма 3,4–19). Содержание тропонина при поступлении в отделение кардиореанимации – 154,4 пг/мл, через 6 ч – 174,9 пг/мл (норма до 100).
В клиническом анализе мочи: относительная плотность – 1,014, белок – 1,3 г/л, число эритроцитов – до 96/мкл, лейкоцитов – 356/мкл, зернистых цилиндров –5 ед/мд.
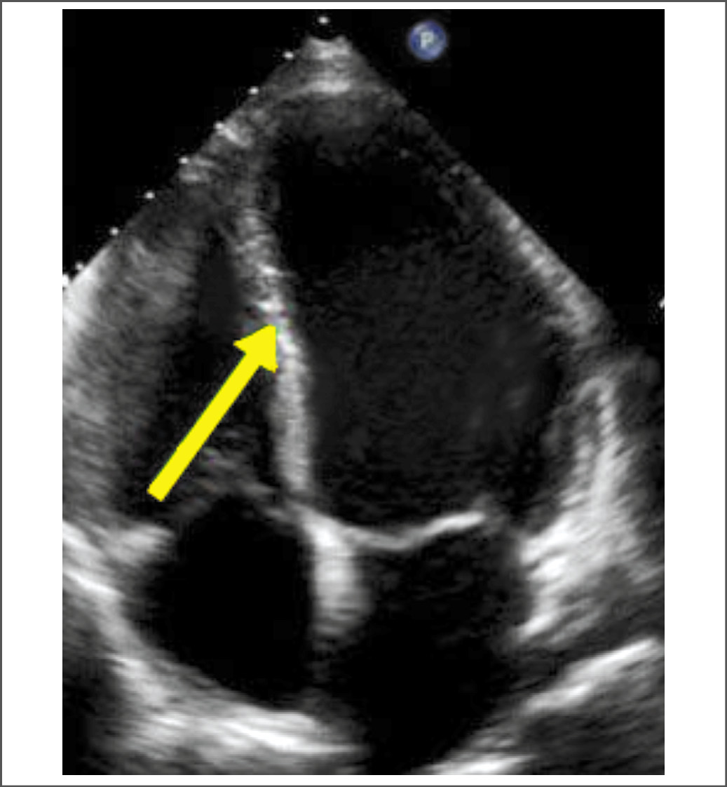
Спустя 6 ч после поступления в связи с сохраняющимся дискомфортом в грудной клетке и повышенным содержанием тропонина выполнена коронарография: коронарные артерии без гемодинамически значимых стенозов. По данным ЭхоКГ: ФВ ЛЖ – 55%, ЛЖ не увеличен (конечно-диастолический размер – 45 мм, конечно-систолический размер – 32 мм, КДО – 90 мл, КСО – 45 мл), МЖП – 8,0 мм, задняя стенка ЛЖ – 7,0 мм; выявлены нарушения локальной сократимости ЛЖ – выраженная гипокинезия базальных, заднеперегородочного и нижнего сегментов, боковой стенки ЛЖ на срединном и базальном уровнях; правые отделы сердца и клапанный аппарат без особенностей; расхождение листков перикарда за задней стенкой ЛЖ 4–5 мм, за боковой стенкой ЛЖ и правого предсердия – 10–12 мм; присутствует жидкость в плевральных синусах (рис. 2).
Рис. 2. ЭхоКГ пациентки М. при поступлении. Отсутствует утолщение стенок ЛЖ (стрелка указывает на МЖП).
Fig. 2. Patient M. EoCG on admittance. There is no thickening of the walls of the left ventricle (arrow indicates an interventricular septum).
ПРЕДВАРИТЕЛЬНЫЙ ДИАГНОЗ
Учитывая клиническую картину (болевой синдром в грудной клетке, одышка), повышение содержания тропонина дважды, локальные нарушения сократимости при ЭхоКГ, результаты коронарографии (отсутствие значимых стенозов в коронарных артериях), рабочий диагноз сформулирован следующим образом: «Ишемическая болезнь сердца, ИМ без обструкции коронарных артерий от 13.04.2020 г.». Однако уверенности в диагнозе ИМ не было, поскольку отсутствовали признаки ИМ по ЭКГ, наблюдалось умеренное повышение концентрации тропонина, имелась информация из анамнеза о плеврите и перикардите (с успешным лечением преднизолоном), присутствовали анемия, протеинурия, гематурия, уменьшение СКФ. Ввиду этого с учётом имеющейся сердечной недостаточности требовал исключения диагноз миокардита, возможно, в рамках системного заболевания соединительной ткани (СЗСТ), по поводу чего проведено дальнейшее обследование. Показатели С-реактивного белка, альбуминов, электролитов, сывороточного железа, ферритина, общей железосвязывающей способности сыворотки, фолиевой кислоты, витамина B12, тиреотропного гормона, паратгормона, остеокальцина находились в пределах референсных значений.
Липидограмма: общий холестерин – 5,9 ммоль/л, триглицериды – 2,9 ммоль/л, липопротеиды высокой плотности – 1,36 ммоль/л, липопротеиды низкой плотности – 3,24 ммоль/л; коэффициент атерогенности – 3,3. Уровень D-димера и остальные показатели коагулограммы – без патологических отклонений. Однако концентрация предсердного натрийуретического пептида (NT-рroBNP) оказалась равной 35 000 пг/мл (норма 300–900).
По данным рентгенографии очаговых и инфильтративных изменений не выявлено, визуализируется небольшое количество жидкости в правой плевральной полости.
Больная оставалась диагностически неясной. Ведущим признаком заболевания являлась сердечная недостаточность с сохранной ФВ ЛЖ и очень высокими значениями NT-рroBNP. Взят скрининговый анализ на СЗСТ. Выполнить магнитно-резонансную томографию сердца в связи с отсутствием соответствующего оборудования в клинике не представлялось возможным. Состояние больной оставалось тяжёлым, сохранялись жалобы на дискомфорт давящего характера за грудиной в покое, одышку, гипотензию. При повторной ЭКГ (рис. 3) – без существенной динамики, при ЭхоКГ, выполненной в условиях отделения реанимации через 12 ч после поступления, наблюдали снижение ФВ ЛЖ до 40%, появление акинезии МЖП на всём протяжении, в остальном – без динамики.
Рис. 3. ЭКГ пациентки М. в динамике.
Fig. 3. Patient M. ’s EKG is moving.
Несмотря на проводимую медикаментозную терапию (кардиомагнил – 75 мг/сут, клопидогрел – 75 мг/сут, эноксапарин – 40 мг/сут, метопролол – 25 мг/сут, фуросемид – 20 мг/ч, дофамин – 2 мкг/кг в минуту) улучшения состояния пациентка не отмечала.
ДИНАМИКА И ИСХОДЫ
14.04.2020 г., спустя сутки после поступления, в 11:50 произошло резкое ухудшение самочувствия, выражавшееся в нарастании одышки на фоне инсуфляции кислородом, с последующей остановкой кровообращения. Первая сердечно-лёгочная реанимация в течение 15 мин оказалась успешной. Далее последовали повторные остановки кровообращения с асистолиями, последняя из которых завершилась клинической смертью в 13:10. Реанимационные мероприятия в течение 30 мин эффекта не принесли, в 13:40 была констатирована биологическая смерть.
ОКОНЧАТЕЛЬНЫЙ ДИАГНОЗ
Основной: «Ишемическая болезнь сердца: ИМ без обструкции коронарных артерий от 13.04.2020 г., повторный, переднебоковой стенки ЛЖ (?). Постинфарктный кардиосклероз (ИМ нижней стенки ЛЖ без подъёма сегмента ST от 08.02.2020 г.). Системное неверифицированное заболевание соединительной ткани?»
Фоновое заболевание: «Гипертоническая болезнь, II стадия, 1-я степень, риск сердечно-сосудистых осложнений 4».
Осложнения: «Хроническая сердечная недостаточность с сохранной ФВ ЛЖ, III функциональный класс по NYHA, асистолия 14.04.2020 г.».
По результатам патологоанатомического исследования постинфарктных очаговых изменений в миокарде не обнаружено, клапаны сердца внешне без особенностей, в коронарных артериях атеросклероз не выражен, стенозов нет. Гистологически верифицирован системный амилоидоз с преимущественным поражением сердца и (в меньшей степени) почек и других органов: в сердце присутствуют отложения амилоида, в основном в стенках сосудов, также они зафиксированы в строме миокарда, клапанах сердца, почках, печени, селезёнке, лёгких, поджелудочной, щитовидной и паращитовидных железах (рис. 4, 5). Толщина стенки ЛЖ – 10–12 мм, толщина МЖП – 10 мм, толщина стенки правого желудочка – 2 мм, масса сердца – 360 г. Для установления типа амилоида выполнено иммуногистохимическое исследование с применением антисывороток к основным типам амилоидного белка. На основании результатов исследования установлен диагноз AL-κ-амилоидоза.
Рис. 4. Периваскулярное отложение амилоида по результатам гистологического исследования. Ув. 100. Окраска Конго красным.
Fig. 4. Perivascular amyloid deposition based on histological studies. Magnification 100. Congo red.
Рис. 5. Периваскулярное отложение амилоида по результатам гистологического исследования. Ув. 20. Окраска Конго красным. Микроскопия в поляризованном свете. Миокард.
Fig. 5. Perivascular amyloid deposition based on histological studies. Magnification 20. Congo coloration red. Microscopy in polarized light. Myocardium.
ОБСУЖДЕНИЕ
По данным литературы, AL-амилоидоз встречается c частотой от 9,7 до 14,0 случаев на 1 млн человек в год [3]. Поражение сердца при AL-амилоидозе обнаруживают в 50–90% случаев и, как правило, всегда на фоне поражения других органов, чаще всего – почек, а также сосудов, периферической нервной системы, печени, желудочно-кишечного тракта, мягких тканей и др. [1]. Изолированное вовлечение сердца встречается менее чем в 5% случаев [4].
Согласно существующим данным, несмотря на то что больные с кардиальным AL-амилоидозом моложе, имеют меньше сопутствующих сердечно-сосудистых заболеваний в анамнезе, у них быстрее развивается сердечная недостаточность и выше летальность по сравнению с пациентами с транстиретиновым амилоидозом, при котором также часто поражается сердце [5].
Представленный клинический случай демонстрирует сложность своевременной прижизненной диагностики системного амилоидоза с поражением сердца, что, в первую очередь, связано с неспецифичностью развивающихся симптомов, а также с быстро прогрессирующим течением заболевания.
Традиционно считается, что амилоидоз сердца приводит к утолщению стенок миокарда как ЛЖ, так и правого желудочка и нарушению их наполнения – так называемым рестриктивным изменениям [3, 6]. Согласно данным, опубликованным A. Martinez-Naharro и соавт., при выполнении магнитно-резонансной томографии и сцинтиграфии сердца больным с амилоидозом гипертрофия ЛЖ (ГЛЖ) выявляется у 82% пациентов с AL-амилоидозом и у 97% пациентов с транстиретиновым амилоидозом [6]. Как известно, по предложенным экспертами алгоритмам диагностики кардиального амилоидоза начинать дифференциальную диагностику предлагается именно с оценки толщины стенок миокарда, условно обозначаемой как «ГЛЖ», и рестриктивного типа наполнения ЛЖ [3, 7, 8]. В нашем случае согласно результатам повторных ЭхоКГ у пациентки отсутствовали признаки ГЛЖ и гипертрофии правого желудочка, а также проявления рестриктивной кардиомиопатии и низкого вольтажа комплексов ЭКГ, что характерно для амилоидоза сердца. Именно все эти обстоятельства позволили нам исключить диагноз амилоидоза, при том, что наша клиника имеет достаточно большой опыт диагностики этого заболевания [9–11].
Вместе с тем у пациентки имелись стигмы амилоидоза: гипотензия (хотя её можно было объяснить тяжёлой хронической сердечной недостаточностью), а также системные проявления – признаки поражения почек (протеинурия, гематурия, снижение СКФ), а также плеврит и перикардит в анамнезе (что могло объясняться предполагаемым диагнозом СЗСТ). Наряду с этим, у больной присутствовали ангинозный болевой синдром, ишемический анамнез, включая установленный квалифицированными специалистами при предыдущей госпитализции диагноз перенесённого ИМ, а также признаки локальных нарушений сократимости миокарда, факторы риска сердечно-сосудистой патологии (гипертоническая болезнь, отягощённый семейный анамнез, нарушения липидного обмена), что и послужило основанием остановиться на диагнозе повторного ИМ. Однако у пациентки отсутствовало обструктивное поражение коронарного русла, что, безусловно, вызывало вопросы и требовало исключения миокардита, в том числе в рамках СЗСТ. К сожалению, больная находилась в клинике всего лишь чуть более суток, поэтому получить ответы на возникшие вопросы не удалось.
Оценивая ретроспективно описанный клинический случай, мы пришли к следующим выводам. Кардиальный амилоидоз, протекающий с преимущественным периваскулярным отложением амилоида, может симулировать ишемическую болезнь сердца, в том числе ИМ, и не сопровождаться утолщением стенок миокарда с возникновением рестриктивной кардиомиопатии. Развивающаяся в этом случае сердечная недостаточность, по-видимому, обусловлена выраженными микроваскулярными нарушениями, присутствие которых доказано при данной патологии [3, 8].
ЗАКЛЮЧЕНИЕ
При наличии сердечной недостаточности с сохранной ФВ ЛЖ, в том числе и при отсутствии утолщения стенок миокарда, а также при ИМ без обструкции коронарных артерий, необходимо исключать кардиальный амилоидоз, тем более если у пациента имеются стигмы этого заболевания [12].
Информированное согласие на публикацию. Пациентка подписала форму добровольного информированного согласия на публикацию медицинской информации.
Consent for publication. Written consent was obtained from the patient for publication of relevant medical information and all of accompanying images within the manuscript.
Раскрытие интересов. Авторы декларируют отсутствие явных и потенциальных конфликтов интересов, связанных с публикацией данной статьи.
Disclosure of interest. The authors declare that they have no competing interests.
Вклад авторов. Авторы декларируют соответствие своего авторства международным критериям ICMJE. Все авторы в равной степени участвовали в подготовке публикации: разработка концепции статьи, получение и анализ фактических данных, написание и редактирование текста статьи, проверка и утверждение текста статьи.
Authors’ contribution. The authors declare the compliance of their authorship according to the international ICMJE criteria. All authors made a substantial contribution to the conception of the work, acquisition, analysis, interpretation of data for the work, drafting and revising the work, final approval of the version to be published and agree to be accountable for all aspects of the work.
Источник финансирования. Авторы декларируют отсутствие внешнего финансирования для проведения исследования и публикации статьи.
Funding source. The authors declare that there is no external funding for the exploration and analysis work.
About the authors
Svetlana A. Boldueva
Mechnikov North-Western State Medical University
Email: svetlanaboldueva@mail.ru
ORCID iD: 0000-0002-1898-084X
D. Sci. (Med.), Prof.
Russian Federation, Saint PetersburgDmitriy S. Evdokimov
Mechnikov North-Western State Medical University
Email: kasabian244@gmail.com
ORCID iD: 0000-0002-3107-1691
Graduate Student
Russian Federation, Saint PetersburgMarina V. Rozhdestvenskaya
LLC «AVA-PETER»
Email: samok-marina@yandex.ru
ORCID iD: 0000-0002-6298-547X
Cand. Sci. (Med.), Multidisciplinary Clinic «Scandinavia»
Russian Federation, Saint PetersburgSergey A. Vinnichuk
Mechnikov North-Western State Medical University
Email: Sergei.Vinnichuk@szgmu.ru
ORCID iD: 0000-0002-9590-6678
Cand. Sci. (Med.)
Russian Federation, Saint PetersburgLyubov B. Mitrofanova
Almazov National Medical Research Centre
Author for correspondence.
Email: lubamitr@yandex.ru
ORCID iD: 0000-0003-0735-7822
D. Sci. (Med.), Assoc. Prof.
Russian Federation, Saint PetersburgReferences
- Гудкова А.Я., Лапекин С.В., Бежанишвили Т.Г., и др. AL-амилоидоз с преимущественным поражением сердца. Алгоритм неинвазивной диагностики амилоидной кардиомиопатии. Терапевтический архив. 2021;93(4):487-96 [Gudkova AY, Lapekin SV, Bezhanishvili TG, et al. AL-amyloidosis with cardiac involvement. Diagnostic capabilities of non-invasive methods. Terapevticheskii Arkhiv (Ter. Arkh.). 2021;93(4):487-96 (in Russian)]. doi: 10.26442/00403660.2021.04.200689
- Пашовкина О.В., Путинцев В.А., Богомолов Д.В., и др. Случай посмертной диагностики плазмoцитомы и системного AL-амилоидоза с преимущественным поражением сердца. Литературная справка. Кремлевская медицина. Клинический вестник. 2018;4(2):52-61 [Pashovkina OV, Putintsev VA, Bogomolov DV, et al. The case of post-mortem diagnosis of plasmacytoma and systemic AL-amyloidosis with primary сardiac involvement. Literary references. Kremlin Medicine Journal. 2018;4(2):52-61 (in Russian)]. doi: 10.26269/9hyn-vw44
- Kitaoka H, Izumi C, Izumiya Y, et al. JCS 2020 Guideline on Diagnosis and Treatment of Cardiac Amyloidosis. Circ J. 2020;84(9):1610-71. doi: 10.1253/circj.CJ-20-0110
- Резник Е.В., Нгуен Т.Л., Степанова Е.А., и др. Амилоидоз сердца: взгляд терапевта и кардиолога. Архивъ внутренней медицины. 2020;10(6):430-57 [Reznik EV, Nguyen TL, Stepanova EA, et al. Cardiac Amyloidosis: Internist and Cardiologist Insight. The Russian Archives of Internal Medicine. 2020;10(6):430-57 (in Russian)]. doi: 10.20514/2226-6704-2020-10-6-430-457
- Itzhaki Ben Zadok O, Vaturi M, Vaxman I, et al. Differences in the characteristics and contemporary cardiac outcomes of patients with light-chain versus transthyretin cardiac amyloidosis. PLoS One. 2021;16(8):e0255487. doi: 10.1371/journal.pone.0255487
- Martinez-Naharro A, Treibel TA, Abdel-Gadir A, et al. Magnetic Resonance in Transthyretin Cardiac Amyloidosis. J Am Coll Cardiol. 2017;70(4):466-77. doi: 10.1016/j.jacc.2017.05.053
- Garcia-Pavia P, Rapezzi C, Adler Y, et al. Diagnosis and treatment of cardiac amyloidosis: a position statement of the ESC Working Group on Myocardial and Pericardial Diseases. Eur Heart J. 2021;42(16):1554-68. doi: 10.1093/eurheartj/ehab072
- Лысенко (Козловская) Л.В., Рамеев В.В., Моисеев С.В., и др. Клинические рекомендации по диагностике и лечению системного амилоидоза. Клиническая фармакология и терапия. 2020;29(1):13-24 [Lysenko (Kozlovskaya) LV, Rameev VV, Moiseev SV, et al. Clinical guidelines for diagnosis and treatment of systemic amyloidosis. Clinical Pharmacology and Therapy. 2020;29(1):13-24 (in Russian)]. doi: 10.32756/0869-5490-2020-1-13-24
- Болдуева С.А., Самохвалова М.В., Богданова Е.В., Соловьева Т.C. Первичный системный амилоидоз с поражением сердца и коронарных артерий. Кардиология. 2010;50(6):92-4 [Boldueva SA, Samokhvalova MV, Bogdanova EV, Solov'eva TC. Primary Systemic Amyloidosis With Involvement of the Heart and Coronary Arteries. Kardiologiia. 2010;50(6):92-4 (in Russian)].
- Болдуева С.А., Облавацкий Д.В., Грохотова В.В., и др. Клиническое наблюдение системного AL-амилоидоза с необычным дебютом заболевания. Нефрология. 2017;21(6):78-85 [Boldueva SA. Oblavatskii DV, Grokhotova VV, et al. A clinical case of systemic AL-amyloidosis with peculiar disease presentation. Nephrology (Saint-Petersburg). 2017;21(6):78-85 (in Russian)]. doi: 10.24884/1561-6274-2017-21-6-78-85
- Болдуева С.А., Евдокимов Д.С., Швец Н.С., и др. Системный транстиретиновый амилоидоз с рецидивирующими плевральными выпотами у пожилой пациентки. Вестник Северо-Западного государственного медицинского университета им. И.И. Мечникова. 2021;13(3):91-8 [Boldueva SA, Evdokimov DS, Shvets NS, et al. Systemic transtiretin amyloidosis in the elderly patient with recurrent pleural effusions. Herald of North-Western State Medical University named after I.I. Mechnikov. 2021;13(3):91-8 (in Russian)]. doi: 10.17816/mechnikov79512
- Li J, Wang HY, Bian N, et al. Cardiac involvement in light chain amyloidosis: a case report. J Geriatr Cardiol. 2020;17(6):373-8. doi: 10.11909/j.issn.1671-5411.2020.06.007
Supplementary files








