Takotsubo syndrome (stress-induced cardiomyopathy): case report
- Authors: Evdokimova A.G.1, Struk R.I.1, Evdokimov V.V.1, Voronina G.V.1, Mikhailova I.S.1, Golikova A.A.1
-
Affiliations:
- Yevdokimov Moscow State University of Medicine and Dentistry
- Issue: Vol 13, No 2 (2022)
- Pages: 107-114
- Section: Case reports
- Submitted: 14.09.2022
- Accepted: 16.09.2022
- Published: 09.10.2022
- URL: https://cardiosomatics.ru/2221-7185/article/view/110908
- DOI: https://doi.org/10.17816/CS110908
- ID: 110908
Cite item
Full Text
Abstract
Takotsubo syndrome (CТ) is an acutely developing reversible myocardial dysfunction, leading to left ventricular balloning during systole and the development of acute heart failure in 15–45% of cases. There are primary and secondary CT. The article reflects the issues of pathogenesis, clinical manifestations and modern criteria for the diagnosis of this disease. A clinical case of the primary variant of CT, resembling acute coronary syndrome, is given.
Full Text
СПИСОК СОКРАЩЕНИЙ
АД – артериальное давление
БАБ – β-адреноблокаторы
ЖТ – желудочковая тахикардия
ИБС – ишемическая болезнь сердца
КАГ – коронароангиография
ЛЖ – левый желудочек
МНУП – мозговой натрийуретический пептид
ОКС – острый коронарный синдром
ОСН – острая сердечная недостаточность
СТ – синдром такоцубо
ТЭЛА – тромбоэмболия лёгочной артерии
ФВ ЛЖ – фракция выброса левого желудочка
ФЖ – фибрилляция желудочков
ЭКГ – электрокардиография
ЭхоКГ – эхокардиография
AV-блокада – атриовентрикулярная блокада
VA-ЭКМО – венозно-артериальная экстракорпоральная мембранная оксигенация
ОПРЕДЕЛЕНИЕ
Синдром такоцубо (СТ; takotsubo-кардиомиопатия), или стресс-индуцированная кардиомиопатия, также называемая синдромом разбитого сердца, синдромом апикального баллонирования или преходящей дисфункцией левого желудочка (ЛЖ), становится всё более известным. Впервые он был описан в Японии в 1990 г. H. Sato и соавт. [1]. Термин «такоцубо» (tako-tsubo) в переводе с японского языка означает приспособление для ловли осьминогов – керамический горшок с круглым основанием и узким горлышком. Именно такую форму у больных приобретает ЛЖ в систолу, что видно при проведении эхокардиографии (ЭхоКГ) и объясняется отсутствием сокращения верхушки ЛЖ с одновременным избыточным сокращением базальных отделов (рис. 1, 2). СТ обычно характеризуется транзиторной систолической дисфункцией и обширной акинезией апикальных и/или средних сегментов ЛЖ, жалобами и изменениями при выполнении электрокардиографии (ЭКГ; рис. 3), имитирующими острый коронарный синдром (ОКС), но при отсутствии значимой обструкции коронарных артерий, а также с ограниченным выбросом сердечных маркёров [2, 3].
Рис. 1. Результаты вентрикулографии. Размеры ЛЖ в диастолу (слева). Признаки систолического (средний рис.) баллонирования верхушки ЛЖ при кардиомиопатии такоцубо. Горшок для ловли осьминога (справа).
Fig. 1. Results of ventriculography. Dimensions of left ventricle in diastol (left). Symptoms of systolic (Middle Fig.) ballooning of the top of the left ventricle in takotsubo cardiomyopathy. Octopus pot (right).
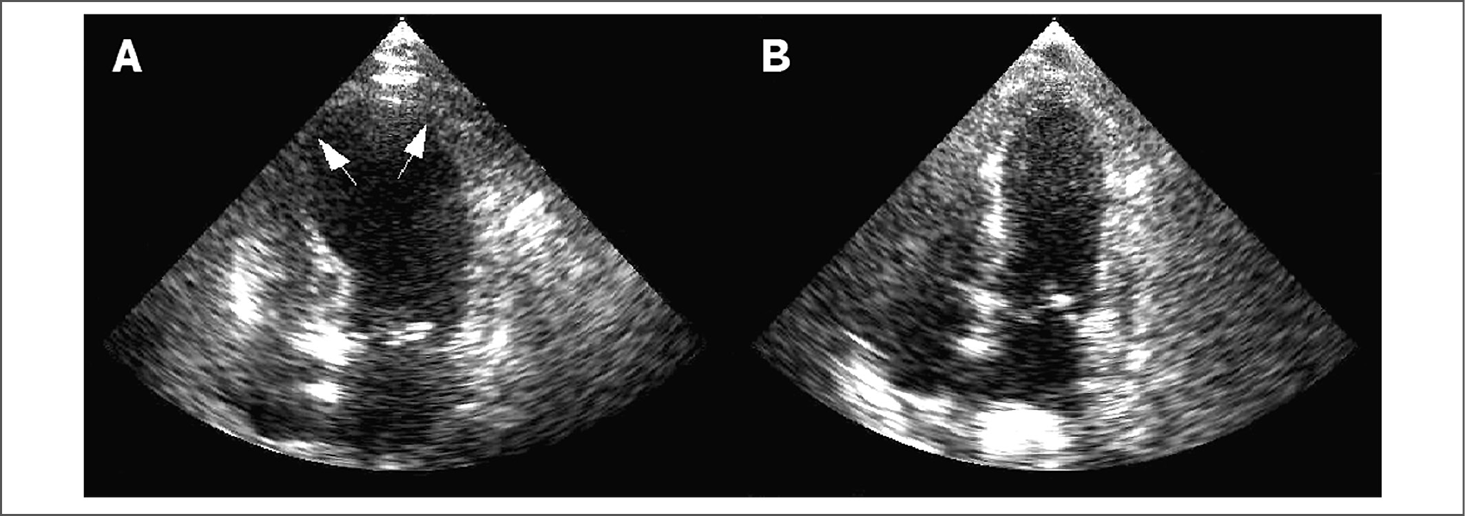
Рис. 2. Результаты ЭхоКГ. А – баллонирование верхушки в остром периоде кардиомиопатии такоцубо, B – исчезновение патологических изменений в процессе наблюдения.
Fig. 2. Echo results. A – punctuation of the apex in the acute period of takotsubo cardiomyopathy, B – elimination of pathological changes during observation.
Рис. 3. Результаты ЭКГ. Инфарктоподобные изменения: узловой ритм, 2 блокированные предсердные экстрасистолы по отведению II, частота сердечных сокращений – 43 в минуту. Отклонение электрической оси сердца вправо. Комплекс QRS – 0,16', интервал Q–T – 0,44',Q V1–4, подъём сегмента ST в отведениях II, III, V2–6, регресс – в RV4–6. Полная блокада правой ножки пучка Гиса.
Fig. 3. Ekg results. Infarction-like changes: nodular rhythm, 2 blocked atrial extrasistols at withdrawal II, heart rate 43 per minute. Deflection of the heart’s electrical axis to the right. Complex QRS – 0,16', interval Q–T – 0,44', Q V1–4, rise of segment ST in leads II, III, V2–6, regress – in RV4–6. Complete blockade of the right foot of the Gis beam.
ФАКТОРЫ РИСКА РАЗВИТИЯ
К факторам риска, которые обычно связаны с развитием стрессовой кардиомиопатии, следует отнести курение, злоупотребление алкоголем, тревожные состояния и гиперлипидемию. Провоцирующими факторами могут выступать физический или эмоциональный стресс, внезапное падение артериального давления (АД), тяжёлая болезнь, операция или медицинская процедура, сильная боль, приступ бронхиальной астмы и т.д. В целом к предрасполагающим причинам могут быть отнесены гормональные, генетические и неврологические факторы [3, 4].
ЭПИДЕМИОЛОГИЯ
Около 30 лет назад СТ описывали только у японских пациентов. Однако на данный момент во всём мире по статистике 2% из 300 тыс. сердечных приступов приходится на это заболевание, что является результатом хорошей информированности врачей, улучшения качества диагностики, включая неотложную коронароангиографию (КАГ), и установления чётких критериев для постановки диагноза.
Стресс-индуцированная кардиомиопатия гораздо чаще встречается у женщин, чем у мужчин. Исследователи считают, что женщины более уязвимы из-за снижения у них уровня эстрогенов на фоне менопаузы. Этот вид кардиомиопатии диагностируется и у детей, что объясняется тем, что дифференцировка надпочечников продолжается после рождения ребёнка вплоть до 14–16 лет, это и объясняет некорректный ответ на стресс [4, 5].
ПАТОГЕНЕЗ
Патогенетические механизмы поражения миокарда при СТ изучены недостаточно. Предполагается прямое токсическое воздействие катехоламинов и продуктов их окисления на кардиомиоциты, спазм коронарных артерий, развитие микрососудистой дисфункции в сочетании с гибернацией миокарда. Чрезмерное повышение концентрации катехоламинов стимулирует β-адренорецепторы кардиомиоцитов, приводит к повышению активности аденилатциклазы за счёт увеличения интенсивности синтеза белка Gs и образованию в дальнейшем циклического аденозинмонофосфата, который активирует протеинкиназу, фосфорилирующую кальциевые каналы, что способствует их открытию. Повышение концентрации ионов кальция в крови ведёт к активации Ca2+-зависимых протеаз и обменных натрий-кальциевых каналов, влияющих на тоничность и диастолические размеры ЛЖ. Это способствует ускорению окислительных процессов и накоплению активных форм кислорода, в итоге повышается активность каспаз, развивается апоптоз (вплоть до некроза кардиомиоцитов), при этом страдает сократительная способность миокарда, интегральным показателем которой является снижение фракции выброса (ФВ) ЛЖ. Изменения внутрисердечной гемодинамики при СТ чётко не установлены и требуют дальнейшего изучения [2, 3, 5].
Ряд авторов предполагают наличие в остром периоде развития СТ 2 фаз:
- 1-я фаза СТ характеризуется системной вазоконстрикцией, увеличением общего периферического сосудистого сопротивления, ростом постнагрузки и конечного систолического давления в ЛЖ; по данным ЭхоКГ выявляется гиперкинезия базальных сегментов;
- 2-я фаза, во время которой развиваются острая дисфункция верхушки, парадоксальная вазодилатация, снижение сердечного выброса и, как следствие, системная гипотензия с развитием острой сердечной недостаточности; на ЭхоКГ появляются зоны нарушения локальной сократимости с характерным паттерном баллонирования [3, 4].
Выделяют несколько вариантов поражения сердца при СТ:
- баллонирование в области верхушки и гиперкинез в базальном отделе, обструкция выходного тракта ЛЖ, акинез передней стенки и межжелудочковой перегородки (апикальный тип);
- баллонирование и акинез средних отделов, гиперкинез базальных и апикальных сегментов (срединно-желудочковый тип);
- гиперкинез верхушки сердца и акинез базальных отделов ЛЖ (базальный/реверсивный тип);
- ограниченное поражение, локализующееся в передней стенке (фокальный тип) [4, 5].
КЛАССИФИКАЦИЯ (INTER TAK, 2018)
- Класс I: СТ в связи с эмоциональным стрессом.
- Класс II: СТ в связи с физическим стрессом.
- Класс IIа: СТ после физической активности, медицинских вмешательств или процедур.
- Класс IIb: СТ после неврологических осложнений.
- Класс III: СТ без выявленного пускового фактора.
СТ может быть разделен на первичный и вторичный, в зависимости от причины его развития. Под первичным СТ предложено понимать классический вариант развития заболевания. Первичный СТ, как правило, обусловлен психоэмоциональным стрессом.
При первичном СТ симптомы развиваются остро и являются основной причиной госпитализации, чаще всего под маской ОКС или тромбоэмболии лёгочной артерии (ТЭЛА).
Вторичный СТ развивается у больных, уже находящихся на стационарном лечении по поводу другой патологии. У этой группы пациентов внезапная активация симпатической нервной системы или повышение уровня катехоламинов вызывают СТ как осложнение первичного состояния либо проводимого лечения. К вторичному СТ также относят случаи ятрогенных воздействий, например, приём ингаляционных β2-адреномиметиков при приступе бронхиальной астмы или инфузию добутамина при проведении стресс-теста [2–4]. Более подробно основные причины развития вторичного СТ представлены в табл. 1.
Таблица 1. Основные причины развития вторичного СТ
Table 1. Main causes of the development of secondary takotsubo syndrome
Причины | Клинические признаки |
Эндокринные | Феохромоцитома, тиреотоксикоз, гипотиреоз, болезнь Аддисона, гипонатриемия, синдром Пархона, синдром Сиппла |
Неврологические и нейрохирургические | Субарахноидальное кровоизлияние, черепно-мозговая травма, спинальная травма, судорожный синдром, ишемический инсульт, myasthenia gravis, синдром задней обратимой лейкоэнцефалопатии, энцефалит, синдром Гийена–Барре |
Респираторные | ТЭЛА, пневмоторакс, обострение бронхиальной астмы, хронической обструктивной болезни лёгких |
Акушерские | Самопроизвольное патологическое прерывание беременности, роды, операция кесарева сечения по экстренным показаниям |
Психиатрические | Панические атаки, попытка самоубийства, отмена наркотиков, электросудорожная терапия |
Желудочно-кишечные | Острый холецистит, острый панкреатит, почечная колика, рвота, диарея, псевдомембранозный колит, перитонит |
Инфекционные | Сепсис, пироплазмоз (бабезиоз) |
Кардиологические | Стресс-ЭхоКГ с добутамином, радиочастотная абляция, имплантация электрокардиостимулятора, электрическая кардиоверсия, СТ, развившийся после остановки сердца, включая желудочковую тахикардию |
КЛИНИЧЕСКИЕ ПРИЗНАКИ
Наиболее распространённым симптомами СТ являются острая загрудинная боль (58,8% случаев), а также одышка (30% случаев), обмороки, тахикардия. К острым осложнениям стресс-индуцированной кардиомиопатии относят остановку сердца, тахи- (включая желудочковую тахикардию – ЖТ – и фибрилляцию желудочков – ФЖ) и брадиаритмии. Стресс-индуцированный гиперкинез ЛЖ может способствовать развитию шока и серьёзной митральной регургитации, верхушечному тромбообразованию и наступлению инсульта. Вероятность развития острой сердечной недостаточности (ОСН) возможно предсказать на основе наличия или отсутствия следующих 3 переменных: возраст >70 лет, наличие эмоционального и физического стресса, снижение ФВ ЛЖ <40%. СТ обычно рассматривают как доброкачественный синдром, поскольку патологические изменения носят обратимый характер. Однако временные, но глубокие очаговые изменения миокарда могут приводить к серьёзным осложнениям, вплоть до терминального состояния. Выделяют следующие внутрибольничные осложнения СТ [5, 6].
Частые осложнения:
- ОСН (12–45%);
- обструкция выводного тракта ЛЖ (10–25%);
- митральная недостаточность (14–28%);
- кардиогенный шок (6–20%).
Осложнения средней частоты:
- фибрилляция предсердий (5–15%);
- остановка сердца (4–6%);
- AV-блокада (5%).
Редкие осложнения:
- тахи-/брадиаритмии, ЖТ по типу «пируэт» (2–5%);
- ЖТ/ФЖ (3%);
- острый дефект межжелудочковой перегородки (<1%);
- смерть (1–4,5%).
К факторам риска развития госпитальных осложнений относят физическую активность (триггер СТ), мужской пол, острые неврологические/психические заболевания, повышение содержания тропонина >10 раз от верхней границы нормы, высокую концентрацию мозгового натрийуретического пептида (МНУП), лейкоцитоз, ФВ ЛЖ <45%.
ДИАГНОСТИЧЕСКИЕ КРИТЕРИИ
В связи с необходимостью проведения дифференциальной диагностики, в основном с ОКС, используют различные диагностические критерии. До последнего времени наиболее популярным были критерии Mayo Clinic (США). Однако с 2018 г. рекомендуются международные критерии диагностики кардиомиопатии такоцубо (InterTAK Diagnostic Criteria, 2018), представленные следующим образом [3, 5].
- Транзиторная дисфункция миокарда ЛЖ в виде гипо-, а- или дискинезии, с баллонированием верхушки, срединных, базальных или локальных участков. Может вовлекаться правый желудочек. Возможны переходы между разными типами движения стенок. Зона нарушения сократимости обычно крупнее зоны кровоснабжения одной коронарной артерии, но иногда может соответствовать ей (локальный СТ).
- Пусковым механизмом, предшествующим развитию СТ, может оказаться эмоциональный, физический или комбинированный стресс.
- Неврологические нарушения (субарахноидальное кровоизлияние, инсульт, транзиторная ишемическая атака или судороги), феохромоцитома могут стать пусковым механизмом СТ.
- Наблюдаются новые нарушения ЭКГ (элевация/депрессия сегмента ST, инверсия зубца T и удлинение интервала Q–Tc); редко изменения на ЭКГ отсутствуют.
- Умеренно повышены уровни биомаркёров (тропонины и креатинкиназа); содержание МНУП (BNP или NT-proBNP) в сыворотке крови часто значительно увеличено.
- СТ не противоречит значительное поражение коронарных артерий.
- Для исключения инфекционного миокардита и подтверждения диагноза СТ рекомендуется проведение магнитно- резонансной томографии сердца.
- Заболевают преимущественно женщины в постменопаузе.
- ЭКГ;
- ЭхоКГ (оценка сократимости и локальных нарушений);
- КАГ (для исключения ОКС);
- магнитно-резонансная томография сердца (для исключения острого миокардита и подтверждения диагноза СТ);
- мультиспиральная компьютерная томография коронарных артерий (при условии стабильного состояния больного).
Лабораторные исследования:
- клинический анализ крови;
- МНУП (BNP или NT-proBNP);
- тропонины I и Т, MB-фракция креатинфосфокиназы;
- коагулограмма.
ЭКГ-признаки имитируют таковые при ОКС. Характерны инфарктоподобный подъём сегмента ST, наиболее часто – с локализацией в передних грудных отведениях; диффузная инверсия зубца Т с удлинением интервала Q–T; неспецифические нарушения. Восстановление ЭКГ происходит на 2–3-й неделе болезни (см. рис. 3).
Наиболее специфичные изменения выявляются при ЭхоКГ и контрастной вентрикулографии (см. рис. 1, 2). Трансторакальную ЭхоКГ считают методом выбора для определения варианта поражения миокарда и сократительной способности ЛЖ при СТ. Характерны а- или дискинез верхушки и средней части ЛЖ с гиперконтрактильностью основания и обструкцией выходного тракта ЛЖ (taco-tsubo). Общая систолическая функция снижается, иногда значимо (до 20%).
По мнению отечественных исследователей, ЭхоКГ играет ведущую роль в диагностике СТ и позволяет отразить регресс нарушения функций сердца на основании динамики локальной сократимости и оценки локальной продольной деформации миокарда на базе технологии выявления пятен (speckle tracking) при двухмерном изображении [4]. Однако, невзирая на наличие различных форм СТ, характерно одинаковое восстановление функционального состояния ЛЖ в исходе заболевания [3, 4, 7].
Ангиография с вентрикулографией также служит ценным методом диагностики. Принципиальное отличие СТ от ОКС – это отсутствие гемодинамически значимого стеноза коронарных артерий.
Для постановки диагноза СТ рекомендуется использовать шкалу стратификации риска и алгоритм диагностики InterTAK (табл. 2, рис. 4).
Таблица 2. Шкала стратификации риска СТ InterTAK (2018)
Table 2. The InterTAK takotsubo syndrome risk stratification scale (2018)
Показатель, баллы | |
Женский пол | 25 |
Эмоциональный стресс | 24 |
Физический стресс | 13 |
Отсутствие депрессии сегмента ST на ЭКГ (кроме отведения AVR) | 12 |
Психические нарушения | 11 |
Неврологические нарушения | 9 |
Удлинение интервала Q–T | 6 |
Интерпретация | |
>70 баллов – вероятность СТ низкая/промежуточная | |
<70 баллов – вероятность СТ высокая | |
Рис. 4. Алгоритм диагностики СТ InterTAK (2018). Адаптировано из [7].
Fig. 4. Algorithm of diagnostics of takotsubo syndrome InterTAK (2018). Adapted from [7].
ВЕДЕНИЕ БОЛЬНЫХ С СТ
Специфической терапии СТ не существует, до настоящего времени отсутствуют доказательства по ведению пациентов с этим заболеванием. В связи с представлениями о патогенезе СТ и предполагаемой активности симпатоадреналовой системы в его лечении используют β-адреноблокаторы (БАБ) и избегают назначения симпатомиметиков, проводят симптоматическую терапию. Согласно рекомендациям InterTAK (2018), предлагается лечение в зависимости от степени выраженности заболевания и его осложнений.
Так, при средней степени тяжести без осложнений и ОСН рекомендуется:
- ведение больного в кардиологическом отделении;
- мониторирование состояния не менее 48 ч;
- рассмотрение возможности применения блокаторов ренин-ангиотензин-альдостероновой системы – ингибиторов ангиотензинпревращающего фермента/блокаторов рецепторов ангиотензина, БАБ.
При развитии ОСН (отёк лёгких):
- госпитализация в отделение интенсивной терапии;
- рассмотрение возможности использования ингибиторов ангиотензинпревращающего фермента/блокаторов рецепторов ангиотензина, БАБ;
- назначение диуретиков и нитроглицерина – при отсутствии обструкции ЛЖ.
При признаках гипотензии/кардиогенного шока:
- наблюдение в отделении кардиореанимации.
При обструкции выходного тракта ЛЖ:
- рассмотрение назначения жидкости внутривенно (если нет сердечной недостаточности);
- применение БАБ короткого действия;
- использование вспомогательного устройства ЛЖ (Impella – устройство для эндоваскулярной имплантации в ЛЖ для вспомогательного кровообращения; рис. 5);
- не рекомендовано назначение диуретиков, нитроглицерина, использование внутриаортальной баллонной контрпульсации.
Рис. 5. Схема применения устройства Impella – эндоваскулярной имплантации в ЛЖ системы для вспомогательного кровообращения.
Fig. 5. The circuit of application of the device Impella - endovascular implantation in the left ventricle of the system for auxiliary circulation.
При первичной насосной недостаточности ЛЖ:
- рассмотреть возможность применения левосимендана, вспомогательного устройства ЛЖ, VA-ЭКМО (венозно-артериальная экстракорпоральная мембранная оксигенация).
ЛЕЧЕНИЕ ОСЛОЖНЕНИЙ
При аритмиях (ЖТ, ФЖ, AV-блокада, удлинение Q–T-интервала):
- рассмотреть применение БАБ, временную электрокардиостимуляцию при AV-блокаде;
- избегать назначения препаратов, удлиняющих Q–T-интервал, БАБ – при брадикардии и Q–T>500 мс, постоянных устройств.
При тромбозах и/или эмболии (тромб ЛЖ, ТЭЛА) назначают гепарин/варфарин/новые оральные антикоагулянты (до 1-го визита после выписки). Также следует рассмотреть антикоагулянты, если ФВ ЛЖ <30% или зарегистрирован большой размер ЛЖ в области верхушки сердца [6, 7].
КЛИНИЧЕСКИЙ ПРИМЕР
За 2019 г. мы наблюдали 4 больных с СТ. Такая частота встречаемости, наиболее вероятно, связана с ростом уровня тревоги и стресса из-за сложившейся международной и общественной ситуации, снижением уровня жизни.
Приводим наиболее яркий пример этого заболевания.
О ПАЦИЕНТЕ
Пациентка К., 1969 г.р., госпитализирована экстренно, в связи с развитием интенсивной затяжной жгучей боли в области сердца. Из анамнеза известно, что после наступления менопаузы в течение 4 лет страдает гипертонической болезнью, максимальные цифры АД – 150/90 мм рт. ст., адаптирована к 120/75 мм рт. ст. В последнее время принимала бисопролол (Конкор) в дозе 2,5 мг/сут. В ночь с 12 на 13 мая 2019 г. после эмоционального стресса впервые в жизни возникла давящая боль за грудиной, без иррадиации и связи с физической нагрузкой. Болевые ощущения продолжались около 2 сут, носили волнообразный характер. 14.05.2019 г. с сохраняющимся болевым синдромом самостоятельно обратилась в военное медицинское учреждение по месту работы.
ФИЗИКАЛЬНАЯ И ИНСТРУМЕНТАЛЬНАЯ ДИАГНОСТИКА
При осмотре установлено снижение АД до 80/50 мм рт. ст. На ЭКГ – картина острого, с подъёмом сегмента ST, инфаркта миокарда (рис. 6). Госпитализирована в отделение реанимации и интенсивной терапии. Больная получала тикагрелор – 180 мг, ацетилсалициловую кислоту – 100 мг, гепарин натрия – 5000 ед внутривенно (однократно). Экстренно выполнена КАГ, на которой стенозирующего атеросклеротического поражения коронарных артерий не выявлено (рис. 7). На ЭКГ от 14.05.2019 г. обнаруженные изменения расценили как инфарктоподобные. Также была выполнена ЭхоКГ (рис. 8).
Рис. 6. Результаты ЭКГ пациентки К. Заключение: ритм синусовый, правильный, частота сердечных сокращений – 75 в минуту. Подъём ST в отведениях I, aVL, V2–4, депрессия ST в отведениях III, aVF, rSV2, qRV3. Признаки ранней реполяризации в отведениях V4–6. RV5>RV4. Гипертрофия ЛЖ, левого предсердия.
Fig. 6. Patient K’s EKG results. Conclusion: sinus rhythm, correct, heart rate 75 per minute. Rise of ST in leads I, aVL, V2–4, depression ST in leads III, aVF, rSV2, qRV3. Signs of early repolarization in leads V4–6. RV5>RV4. Hypertrophy LJ, left atrium.
Рис. 7. На серии КАГ пациентки К. от 14.05.2019 г. все коронарные артерии проходимы, атеросклеротические изменения не определяются.
Fig. 7. On the KAG series of patients K. from 14.05.2019. all coronary arteries are passable, atherosclerotic changes are not defined.
Рис. 8. Систолическое баллонирование верхушки ЛЖ пациентки К. Тромб в верхушке ЛЖ.
Fig. 8. Systolic perforation of patient’s К. left ventricular apex clot at the top of the left ventricle.
ЭхоКГ от 14.05.19 г.: шарообразное расширение верхушки, частично – средних отделов сердца. Нарушения локальной сократимости миокарда: акинезия всех сегментов верхушки, частично – средних, переднего, боковых, заднего, перегородочных сегментов ЛЖ. Глобальная систолическая функция ЛЖ снижена: ФВ ЛЖ – 45% по Симпсону.
Сцинтиграфия миокарда от 15.05.19 г.: признаки выраженного снижения перфузии ЛЖ в расширенной апикальной области, не соответствующие определённому бассейну коронарной артерии. ФВ ЛЖ – 45%.
Рентгенография органов грудной клетки от 14.05.19 г.: лёгочный рисунок обогащен за счёт сосудистого компонента, обусловленного перераспределёнными венозными сосудами. Корни лёгких с нечёткой структурой, расширены, подчёркнуты сосудис- тыми стволами. Видимые синусы свободны. Сердце митрально- трикуспидальной конфигурации, кардиоторакальный индекс – 0,59 (норма – 0,5). Тени мониторных датчиков. Заключение: нарушение гемодинамики в малом круге кровообращения в виде венозной лёгочной гипертензии; кардиомегалия.
В анализе крови от 14.05.19 г.: тропонин Т – 800 пг/мл. Клинический анализ крови и коагулограмма без особенностей. В биохимическом анализе крови отмечено повышение активности креатинфосфокиназы до 721 ммоль/л, аспартатаминотрансферазы – до 96,4 ммоль/л, С-реактивного белка – до 8,97 ммоль/л; МНУП – 1010 пг/мл.
ДИАГНОЗ
На основании жалоб, данных анамнеза, результатов клинико- лабораторных и инструментальных методов исследования пациентке поставлен клинический диагноз.
Основное заболевание: «Стресс-индуцированная кардимиопатия (синдром такоцубо), первичный вариант, класс I».
Осложнение основного заболевания: «Тромбоз верхушки ЛЖ, острая сердечно-сосудистая недостаточность, умеренно выраженная».
Сопутствующее заболевание: «Гипертоническая болезнь I стадии, степень АГ1, риск сердечно-сосудистых осложнений 2».
ЛЕЧЕНИЕ
- Стол №10. Наблюдение в отделении реанимации и интенсивной терапии на протяжении 72 ч, затем перевод в кардиологическое отделение. Эноксапарин – 80 мг подкожно однократно 7 дней, затем ривароксабан – 10 мг/сут для профилактики развития тромбоза до нормализации размеров ЛЖ.
- Метопролол-тартрат – 12,5 мг 3 раза в сутки с увеличением дозы до 25 мг 3 раза в сутки.
- Лозартан – 12,5 мг 2 раза в сутки.
- Мельдоний – 250 мг внутривенно капельно на 0,9% физиологическом растворе 200,0 мл (N=10), затем – по 250 мг 2 раза в сутки сроком до 1,5 мес.
Назначенная терапия на 7-е сутки наблюдения привела к значительному улучшению состояния пациентки, явлений декомпенсации кровообращения не отмечено, боль в области сердца не рецидивировала. АД – 115/75 мм рт. ст., частота сердечных сокращений – 62 в минуту, лабораторные показатели нормализовались. По данным ЭхоКГ (16.05.19 г.) и при дальнейшем контроле внутрисердечный тромбоз ЛЖ и других камер сердца не определялся.
Повторное ЭхоКГ-исследование от 30.05.19 г.: отмечено нарастание ФВ ЛЖ до нормальных значений (65%), показатели внутрисердечной гемодинамики в норме, отсутствие зон нарушенной сократимости миокарда.
При контрольном рентгенологическом исследовании органов грудной полости (21.05.19 г.): гемодинамика в малом круге кровообращения восстановлена, кардиоторакальный индекс <0,5.
ИСХОДЫ И ПРОГНОЗ
Пациентка выписана через 3 нед наблюдения в стационаре в удовлетворительном состоянии с рекомендацией продолжить лечение карведилолом (12,5 мг 2 раза в сутки), лозартаном (25 мг/сут), мельдонием (250 мг 2 раза в сутки) с повторным осмотром через 3 мес.
Итак, пациентка 50 лет, находящаяся в постменопаузальном периоде, госпитализировалась по экстренным показаниям с подозрением на инфаркт миокарда. Результаты обследования позволили отвергнуть диагноз ИБС. Диагностирован СТ (стресс-индуцированная кардиомиопатия). В период течения заболевания определялся тромбоз верхушки ЛЖ, быстро разрешившийся. Имевшее место снижение ФВ ЛЖ в динамике восстановилось до нормы, зон нарушенной сократимости миокарда не определяется. Длительно сохранявшиеся изменения на ЭКГ (глубокие отрицательные зубцы Т в отведениях от передней стенки ЛЖ) в дальнейшем нивелировались, и ЭКГ вернулась к норме через 30 дней наблюдения.
ЗАКЛЮЧЕНИЕ
СТ становится всё более актуальной проблемой в современной кардиологии и интенсивной терапии. В настоящее время в России мало статистических данных о распространённости этого заболевания и его прогнозе. Ещё меньше сведений о безопасных и эффективных методах лечения и профилактике заболевания. Как показала практика, СТ является одной из частых причин развития ОСН в раннем послеоперационном периоде и, вероятно, предиктором неблагоприятного прогноза для пациентов в критическом состоянии. Таким образом, представляется важным дальнейшее детальное изучение этой патологии, в том числе и путём создания национального регистра.
Информированное согласие на публикацию. Авторы получили письменное согласие пациентки на анализ и публикацию медицинских данных и фотографий.
Consent for publication. Written consent was obtained from the patient for publication of relevant medical information and all of accompanying images within the manuscript.
Раскрытие интересов. Авторы декларируют отсутствие явных и потенциальных конфликтов интересов, связанных с публикацией данной статьи.
Disclosure of interest. The authors declare that they have no competing interests.
Вклад авторов. Авторы декларируют соответствие своего авторства международным критериям ICMJE. Все авторы в равной степени участвовали в подготовке публикации: разработка концепции статьи, получение и анализ фактических данных, написание и редактирование текста статьи, проверка и утверждение текста статьи.
Authors’ contribution. The authors declare the compliance of their authorship according to the international ICMJE criteria. All authors made a substantial contribution to the conception of the work, acquisition, analysis, interpretation of data for the work, drafting and revising the work, final approval of the version to be published and agree to be accountable for all aspects of the work.
Источник финансирования. Авторы декларируют отсутствие внешнего финансирования для проведения исследования и публикации статьи.
Funding source. The authors declare that there is no external funding for the exploration and analysis work.
About the authors
Anna G. Evdokimova
Yevdokimov Moscow State University of Medicine and Dentistry
Email: Aevdokimova@rambler.ru
ORCID iD: 0000-0003-3310-0959
D. Sci. (Med.)
Russian Federation, MoscowRaisa I. Struk
Yevdokimov Moscow State University of Medicine and Dentistry
Email: rstruk@list.ru
D. Sci. (Med.), Prof.
Russian Federation, MoscowVladimir V. Evdokimov
Yevdokimov Moscow State University of Medicine and Dentistry
Email: vvevdokimov@rambler.ru
ORCID iD: 0000-0003-3910-2488
D. Sci. (Med.)
Russian Federation, MoscowGalina V. Voronina
Yevdokimov Moscow State University of Medicine and Dentistry
Email: teleckv@gmail.ru
ORCID iD: 0000-0001-6558-4498
Department Head
Russian Federation, MoscowIrina S. Mikhailova
Yevdokimov Moscow State University of Medicine and Dentistry
Email: teleckv@gmail.ru
Cand. Sci. (Med.)
Russian Federation, MoscowAnna A. Golikova
Yevdokimov Moscow State University of Medicine and Dentistry
Author for correspondence.
Email: golikova.Anna.1954@mail.ru
ORCID iD: 0000-0001-8118-9615
D. Sci. (Med.)
Russian Federation, MoscowReferences
- Sato H, Tateishi H, Uhida T. Takotsubo-type cardiomyopathy due to multivessel spasm. In: Kodama K, Haze R, Hon M, et al, editors. Clinical aspect of myocardial injury: from ischemia to heart failure. Tokyo: Kagakuhyournsha, 1990.
- Шилова А.С., Шмоткина А.О., Яфарова А.А., Гиляров М.Ю. Синдром такоцубо: современные представления о патогенезе, распространенности и прогнозе. Рациональная Фармакотерапия в Кардиологии. 2018;14(4):598-604 [Schilova AS, Schmotkina AO, Jafarova AA, Gilarov MYu. Takotsubo Syndrome: Contemporary Views on the Pathogenesis, Prevalence and Prognosis. Rational Pharmacotherapy in Cardiology. 2018;14(4):598-604 (in Russian)]. doi: 10.20996/1819-6446-2018-14-4-598-604
- Новиков В.И., Новикова Т.Н. Кардиомиопатии. М.: МЕДпресс-информ, 2021 [Novikov VI, Novikova TN. Kardiomiopatii. Moscow: MEDpress-inform, 2021 (in Russian)].
- Алехин М.Н. Синдром такоцубо: значение эхокардиографии. Кардиология. 2017;57(7):80-7 [Alekhin MN. Syndrome takotsubo: of Value of Echocardiography. Kardiologiia. 2017;57(7):80-7 (in Russian)]. doi: 10.18087/cardio.2017.7.10009
- Ghadri J-R, Wittstein IS, Prasad A, et al. International Expert Consensus Documenton Tacotsubo Syndrome (Part I): Clinical Characteristics, Diagnostic Criteria, and Pathophysiology. Eur Heart J. 2018;39(22):2032-46. doi: 10.1093/eurheartj/ehy076
- Lyon AR, Bossone E, Schneider B, et al. Current state of knowledge on Takotsubo syndrome: a Position Statement from the Taskforce on Takotsubo Syndrome of the Heart Failure Association of the European Society of Cardiology. Eur J Heart Fail. 2016;18(1):8-27. doi: 10.1002/ejhf.424
- Ghadri J-R, Wittstein IS, Prasad A, et al. International Expert Consensus Documenton Tacotsubo Syndrome (Part II): Diagnostic Workup, Outcome, and Management. Eur Heart J. 2018;39(22):2047-62. doi: 10.1093/eurheartj/ehy077
Supplementary files











