Spontaneous anterior coronary interventricular artery dissection in a young woman in the late postpartum period: clinical case
- Authors: Anokhina A.R.1,2, Matyushin G.V.1,2, Ustyugov S.A.1,2, Kharkov E.I.2,3, Savchenko E.A.2,3, Vlasov P.N.1, Okhrimchuk V.V.1, Skorobogatov V.V.1, Popova E.V.1, Karaev E.B.3, Tsibulskaya N.Y.2,3, Ryabkov E.I.3
-
Affiliations:
- Regional Clinical Hospital
- Voyno-Yasenetsky Krasnoyarsk State Medical University
- Karpovich Krasnoyarsk Interdistrict Clinical Emergency Hospital
- Issue: Vol 14, No 2 (2023)
- Pages: 115-122
- Section: Case reports
- Submitted: 12.05.2023
- Accepted: 22.06.2023
- Published: 09.08.2023
- URL: https://cardiosomatics.ru/2221-7185/article/view/409599
- DOI: https://doi.org/10.17816/CS409599
- ID: 409599
Cite item
Full Text
Abstract
BACKGROUND: Cardiovascular complications during pregnancy and postpartum period are rare but often fatal. The causes and mechanisms of the development of such complications are not fully understood. Spontaneous dissection of the coronary artery against the background of the influence of sex hormones is one of the mechanisms for the development of acute coronary syndrome in the postpartum period. The false lumen of the intramural hematoma overlaps the true lumen, causing arterial obstruction, leading to acute myocardial hypoxia. Thus, awareness that the pathophysiology of spontaneous coronary artery dissection differs from that of acute coronary syndrome associated with atherosclerotic plaque rupture is important, and these patients require different treatment approaches. Currently, an unambiguous and precise strategy for this pathology has not been established, which is why difficulties remain in the management of these patients and choosing treatment strategies.
CLINICAL CASE DESCRIPTION: The article describes a complex clinical case of the development of acute myocardial infarction in the postpartum period in a young woman without risk factors against the background of spontaneous dissection of the coronary artery, complicated by cardiogenic shock, which required emergency percutaneous coronary intervention and stenting of the infarct-dependent artery. The postoperative period proceeded with complications, and extracorporeal membrane oxygenation was required. However, an integrated approach and correctly chosen treatment strategies help stabilize the patient’s condition.
CONCLUSION: Currently, no unambiguous and precise strategy of treatment has been established, so difficulties remain in the management of patients and decision making. In our opinion, an individual patient approach should be followed, taking into account the general state of the organism, type and volume of dissection, consequences and complications, and experience and technical capabilities of the clinic.
Full Text
ОБОСНОВАНИЕ
Одной из самых частых причин развития острого инфаркта миокарда (ОИМ), связанного с беременностью и послеродовым периодом, является спонтанная диссекция коронарной артерии (СДКА). СДКА — это интрамуральная гематома в стенке артерии, которая сдавливает истинный просвет. В основе развития диссекции артерий лежит 2 механизма. При первом из них под воздействием тех или иных причин происходит повреждение интимы артерии с последующим её надрывом, что, в свою очередь, приводит к формированию ложного канала [1, 2]. При втором механизме возникает кровотечение из vasa vasorum в сосудистую стенку, которое отслаивает её нарастающей внутрисосудистой гематомой [1, 2]. Уменьшение коронарного кровоснабжения ведёт к ишемии и, как следствие, к некрозу мышцы сердца, приводя к развитию острого коронарного синдрома (ОКС). Несвоевременное лечение этого состояния может закончиться острой сердечной недостаточностью, кардиогенным шоком и смертью. Гормональные перестройки, а также физиологические трансформации во время беременности повышают риск возникновения такого жизнеугрожающего осложнения, как СДКА, поэтому чаще всего это состояние развивается у молодых женщин [1, 3]. Ввиду редкости подобного осложнения многоцентровых рандомизированных исследований по его изучению не проводилось, а рекомендации по лечению отсутствуют.
КЛИНИЧЕСКИЙ СЛУЧАЙ
О пациенте
Пациентка Ф., 20 лет, находилась на стационарном лечении с 28.10.2022 в Красноярском краевом клиническом центре охраны материнства и детства ввиду развития преэклампсии. Учитывая угрозу жизни женщины и плода, в 30 нед в экстренном порядке проведено родоразрешение путём кесарева сечения. Оперативное вмешательство прошло без осложнений. После родов ребёнок был переведён в отделение реанимации и интенсивной терапии в тяжёлом состоянии. На этом фоне пациентка находилась в состоянии тяжёлого эмоционального стресса и на 3-е сут после родов стала жаловаться на интенсивную боль в грудной клетке давящего характера. Была зарегистрирована электрокардиограмма (ЭКГ), на которой верифицированы признаки острого переднего, с подъёмом сегмента ST, инфаркта миокарда. Обезболена трамадолом, дана нагрузочная доза следующих препаратов: тикагрелор (180 мг), ацетилсалициловая кислота (250 мг), гепарин (5000 ЕД). Бригадой скорой медицинской помощи перетранспортирована в ближайший сосудистый центр — КМКБСМП им. Н.С. Карповича (Красноярск).
Физикальная и инструментальная диагностика
При осмотре в КМКБСМП им. Н.С. Карповича жалоб на ангинозные боли не предъявляла, одышки в покое не было. Респираторно и гемодинамически стабильна. По ЭКГ — ритм синусовый, с частотой сердечных сокращений (ЧСС) 85 уд./мин, электрическая ось сердца не отклонена, отмечены подъём сегмента ST до 2–3 мм в отведениях I, aVL, V1–V4 с реципрокными изменениями в виде депрессии сегмента ST до 2 мм в отведениях II, III, aVF, V5–V6, rS V1–V4, QR aVL, а также одиночная желудочковая экстрасистола. Поставлен диагноз: «Острый коронарный синдром с подъёмом сегмента ST по передней стенке от 30.10.2022» (рис. 1). Пациентка в экстренном порядке подана в рентгеноперационную для проведения коронароангиографии (КАГ) в сопровождении 2 анестезиологов-реаниматологов.
Рис. 1. Электрокардиограмма пациентки при поступлении. / Fig. 1. Electrocardiogram of the patient on admission.
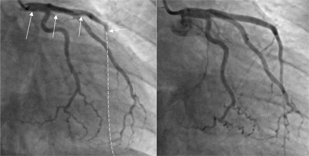
По результатам КАГ (рис. 2): тип кровообращения правый. В стволе левой коронарной артерии (ЛКА) — спонтанная диссекция типа «B» от первой трети, переходящая на переднюю межжелудочковую ветвь (ПМЖВ). Диаметр ствола ЛКА — 5,5 мм. В ПМЖВ — диссекция типа «D» до дистальной трети артерии, переходящая в окклюзию. Огибающая ветвь (ОВ) и правая коронарная артерия — без изменений (см. рис. 2).
Рис. 2. Результаты коронароангиографии при поступлении и после чрескожного коронарного вмешательства. Примечание. Стрелками указаны места диссекции коронарных артерий. / Fig. 2. Results of coronary angiography at admission and after percutaneous coronary intervention. The arrows indicate the sites of dissection of the coronary arteries. Note. The arrows indicate the sites of the coronary arteries dissection.
Выполнены реканализация ПМЖВ, чрескожная транслюминальная коронарная ангиопластика в месте окклюзии ПМЖВ баллонным катетером диаметром 2,5 мм с экспозицией 5 мин. Получен антеградный кровоток до верхушечной части ПМЖВ. Далее проведена повторная реканализация ПМЖВ до верхушечной части. Принято решение об эндопротезировании ПМЖВ. Установлены стенты «ResoluteIntegrity» (стент от американской корпорации Medtronic, США) 2,5×22 мм, «ResoluteIntegrity» 3,0×26 мм, «ResoluteIntegrity» 3,5×30 мм, «ResoluteIntegrity» 4,0×26 мм от дистальной трети передней межжелудочковой артерии до её устья.
На контрольной коронарографии — антеградный кровоток по ПМЖВ восстановлен (TIMI III), признаков диссекции не зафиксировано. Сохранялась диссекция ствола ЛКА типа «B», не лимитирующая кровоток (рис. 2). От эндопротезирования ЛКА было решено воздержаться ввиду высоких рисков прогрессирования диссекции. В стабильном состоянии госпитализирована в отделение реанимации и интенсивной терапии.
Проведено дообследование, лабораторно зарегистрирован диагностически значимый рост активности кардиоферментов: креатинкиназа — 291,2 ЕД/л, в динамике — 3279,8 ЕД/л (при норме 145 ЕД/л); креатинфосфокиназа-МВ — 17,5 ЕД/л, в динамике — 158,6 ЕД/л (при норме 24 ЕД/л); тропонин I — 36 621 пг/мл, в динамике — более 50 000 пг/мл (при норме 15,6 пг/мл).
Выполнена эхокардиография (ЭхоКГ): фракция выброса (ФВ) левого желудочка (ЛЖ) — 34% по Тейхольцу, диффузный гипокинез стенок ЛЖ, акинезия перегородочного, переднеперегородочного, переднего, бокового сегмента ЛЖ, митральная регургитация 2-й степени.
Диагноз
Диагноз уточнён как: «Спонтанная диссекция передней межжелудочковой артерии, осложнённая острым, с подъёмом сегмента ST на ЭКГ, инфарктом передней стенки миокарда левого желудочка в поздний послеродовой период».
Лечение
Учитывая характер поражения коронарного русла, вероятность проведения повторного чрескожного коронарного вмешательства или других методов хирургического лечения, пациентка, согласно Приказу № 55-орг Минздрава Красноярского края, перетранспортирована для дальнейшего лечения в региональный сосудистый центр Краевой клинической больницы (ККБ) № 1 в сопровождении выездной анестезиолого-реанимационной акушерской бригады.
На момент поступления в ККБ № 1 пациентка жалобы на ангинозные боли и на их эквиваленты не предъявляла, гемодинамически была стабильна. ЭКГ при поступлении: синусовая тахикардия с ЧСС 100 уд./мин, сохраняющиеся «застывшие» подъёмы ST до 3 мм c ±T в отведениях I, AVL, V2–V6. Проведён консилиум в составе кардиолога, гинеколога, анестезиолога-реаниматолога, кардиохирурга, определена консервативная тактика ведения, пациентка госпитализирована в отделение анестезиологии и реанимации.
В 1-е сут у пациентки на фоне относительно стабильного состояния отмечено 2 пароксизма желудочковой тахикардии с переходом в брадикардию, развитие гипотонии. В экстренном порядке подключена инотропная поддержка 2 кардиотониками, установлен временный электрокардиостимулятор. По ЭКГ — отрицательная динамика в виде увеличения подъёма сегмента ST до 6 мм (при поступлении — 3 мм), частая полиморфная желудочковая экстрасистолия. По причине развития жизнеугрожающих нарушений ритма сердца, кардиогенного шока было принято решение о проведении контрольной КАГ с целью исключения тромботических окклюзий коронарных артерий. По результатам КАГ: стенты ПМЖВ проходимы, без признаков тромбоза; отмечается замедление кровотока по ПМЖВ; диссекция ствола ЛКА типа «В» с переходом на проксимальную часть ОВ, диаметр ствола ЛКА — 5,5–5,7 мм — без отрицательной динамики от предыдущей КАГ.
В экстренном порядке повторно собран консилиум, по результатам которого принято решение о необходимости обеспечения механической поддержки кровообращения из-за выраженной прогрессирующей сердечной слабости, рефрактерной к медикаментозной терапии. 01.11.2022 выполнена установка вено-артериальной экстракорпоральной мембранной оксигенации (ВА ЭКМО). Вечером 01.11.22 отмечено нарастание явлений дыхательной недостаточности, снижение SpO2 на воздухе до 85%, прогрессирование гипотонии. В условиях реанимации на фоне медицинской седации произведена интубация трахеи, подключена искусственная вентиляция лёгких, инотропная и вазопрессорная поддержка 4 кардиотониками (допамин, добутамин, норэпинефрин, эпинефрин). На следующие сутки инфузия дофамина отключена, доза норадреналина, добутамина снижена, подключён левосимендан через инфузомат с целью увеличения сократительной способности миокарда.
02.11.2022 отключена медицинская седация, пациентка находилась в сознании, была ориентирована в месте и личности, неврологического дефицита не отмечалось, ангинозные боли отрицала, однако сохранялась выраженная слабость. 03.11.2022 по причине уменьшения выраженности явлений дыхательной недостаточности произведено отлучение от искусственной вентиляции лёгких, подключена кислородотерапия через лицевую маску.
В динамике отмечено присоединение гипертермического синдрома, увеличение показателей маркёров воспаления по лабораторным данным (нарастание лейкоцитоза со сдвигом формулы влево, повышение концентрации С-реактивного белка). Выполнена мультиспиральная компьютерная томография органов грудной клетки (МСКТ ОГП), по результатам которой диагностирована двусторонняя полисегментарная пневмония. Совместно с клиническими фармакологами была назначена антибактериальная терапия.
На фоне лечения зафиксирована положительная динамика в виде уменьшения явлений острой сердечной недостаточности, уменьшения доз инотропной и вазопрессорной поддержки, а также уменьшения показателей ВА ЭКМО. 06.11.2022 прекращена инфузия левосимендана, 08.11.22 прекращена ВА ЭКМО, канюли из правой бедренной вены и левой бедренной артерии удалены, признаков кровотечения не отмечено. На фоне антибактериальной терапии — положительная динамика в виде уменьшения показателей маркёров воспаления (по лабораторным тестам) и купирования лихорадочного синдрома.
Пациентку ежедневно осматривали гинеколог, пульмонолог. 11.11.2022 вновь зарегистрировано присоединение гипотермического синдрома, наросли явления дыхательной недостаточности, которые компенсировались инсуффляцией увлажнённого кислорода. Повторно выполнена МСКТ ОГП: отрицательная динамика в виде увеличения зон уплотнения лёгочной ткани во всех отделах обоих лёгких, объём поражения 75–100%. Скорректирована антибактериальная терапия.
За время госпитализации неоднократно проводились телемедицинские консультации с ФГБУ НМИЦ им. В.А. Алмазова (Санкт-Петербург), ФГБУ НМИЦ акушерства, гинекологии и перинатологии им. В.И. Кулакова (Москва), тактика ведения пациентки согласована.
На 11-е сут после ОИМ и 14-е сут после кесарева сечения отключена инотропная поддержка. На фоне консервативного лечения отмечено отсутствие лихорадочного синдрома, клинической картины стенокардии, уменьшение явлений сердечной и дыхательной недостаточности. На 14-е сут после ОИМ пациентка переведена в отделение кардиологии № 3, где продолжена медикаментозная терапия, проведен 1-й этап кардиореабилитации. По ЭхоКГ в динамике: ФВ ЛЖ — 38% по Симпсону, участки гипо- и акинезии прежние, митральная недостаточность 2-й степени, трикуспидальная недостаточность 2-й степени, минимальное эхо-свободное пространство. По МСКТ ОГП — положительная динамика в виде уменьшения объёма и плотности инфильтрации лёгочной ткани, затемнений по типу консолидации нет, интерстициальный компонент регрессировал. На 20-е сут по эхокардиоскопии зарегистрировано формирование аневризмы ЛЖ больших размеров с захватом верхушечно-перегородочных и верхушечно- боковых сегментов, сократительная способность ЛЖ резко снижена, ФВ — 38% по Симпсону, систолическая функция правого желудочка сохранена, полости сердца прежних размеров.
На 40-е сут пациентка выписана в стабильном состоянии под наблюдение кардиолога и гинеколога по месту жительства. На амбулаторный этап назначены: двойная антиагрегантная терапия (тикагрелор, ацетилсалициловая кислота), антиаритмическая терапия (амиодарон), антагонисты минералокортикоидных рецепторов (эплеренон), ингибиторы протонной помпы. Ингибиторы ангиотензинпревращающего ферменты и β-адреноблокаторы не назначены по причине склонности к гипотонии.
Через 1 мес пациентка осмотрена кардиологом поликлиники ККБ № 1. С её слов, клинической картины стенокардии она не отмечала, данных за декомпенсацию сердечной недостаточности нет, однако склонность к гипотонии сохраняется (без прогрессирования). Выполнена ЭхоКГ, ФВ ЛЖ — без отрицательной динамики (38% по Симпсону), участки гипо- и акинезии прежние, аневризма ЛЖ — также прежних размеров. Рекомендовано продолжить приём ранее назначенной терапии, через 2 мес произвести ЭхоКГ-контроль и сдать анализ крови для определения концентрации тиреотропного гормона, а также проконсультироваться с кардиологом.
Прогноз
Учитывая большой объём поражения мышцы сердца, появление постинфарктной аневризмы ЛЖ, снижение сократительной способности миокарда, имеется высокий риск развития сердечной недостаточности. Планируется дообследование пациентки в рамках постановки в лист ожидания трансплантации сердца.
ОБСУЖДЕНИЕ
По данным литературы, о первом случае СДКА, которая стала причиной смерти женщины 42 лет, стало известно в 1931 году от английского врача Гарольда Претти [1, 2]. И только благодаря внедрению в практику инвазивных исследований и внутрисосудистой визуализации, таких как КАГ, внутрисосудистое ультразвуковое исследование (ВСУЗИ), оптическая когерентная томография (ОКТ), о подобном механизме развития ОКС узнали гораздо больше. В настоящее время считается, что СДКА является причиной развития ОКС в 1–4%, а у женщин моложе 50 лет — становится причиной ОКС в 35% случаев [3].
Причины и этиология развития СДКА у беременных и у женщин в послеродовом периоде до конца не изучены. Однако известно, что во время беременности увеличивается объём циркулирующей крови, что, в свою очередь, увеличивает гемодинамическую нагрузку на стенки сосудов; также гормональные перестройки, а именно эффекты эстрогенов, изменяют строение стенки сосудов, ослабляют матрикс и уменьшают объём коллагена [3, 4]. Эти гемодинамические и гормональные изменения распространяются и на послеродовой период.
Клиническая картина зависит от степени обструкции истинного просвета коронарной артерии. Нередко её сужение становится функционально и гемодинамически значимым, что приводит к развитию ОКС, сопровождающегося типичной клинической картиной и его возможными осложнениями [5].
Настоящие трудности вызывает выбор метода лечения. При развитии ОКС атеросклеротического генеза тактика инвазивной и фармакоинвазивной стратегии чётко определена клиническими рекомендациями. Учитывая, что при СДКА имеется другой генез развития ОКС, метод лечения конкретно не определён [2]. Ввиду того, что из-за воспалительных изменений артерия более чувствительна к различным контактам, сама инвазивная процедура (чрескожная транслюминальная коронарная ангиопластика и стентирование) может привести к прогрессированию повреждения сосудистой стенки [6]. Кроме того, нередко катетеры, попадая в ложный просвет, увеличивают обструкцию коронарных артерий [6]. Данных о проведении аортокоронарного шунтирования при СДКА значительно меньше. В основном к этой процедуре прибегают при многососудистом поражении коронарных артерий, а также при поражении ствола ЛКА либо после неудачных попыток чрескожных коронарных вмешательств [5]. Отдалённые результаты таких вмешательств оставляют желать лучшего и, вероятнее всего, связаны с большой травматичностью операционного вмешательства на ослабленном, истощённом организме. В литературе имеются данные о молодых женщинах с ОКС на фоне СДКА, у которых по объективным причинам было принято решение воздержаться от хирургической тактики, и выбрана стратегия консервативной терапии с успешным самозаживлением коронарных артерий [7, 8].
ЗАКЛЮЧЕНИЕ
Несмотря на то, что за последние 7 лет данных о СДКА стало значительно больше, многие вопросы до сих пор остаются нерешёнными. Значительные трудности вызывает выбор тактики лечения таких пациентов. Отсутствуют чёткие сведения, на которые могут опираться врачи. По нашему мнению, должен быть обеспечен индивидуальный подход к каждому пациенту, принимая во внимание общее состояние организма, тип и объём диссекции, её последствия и осложнения, а также, несомненно, опыт и технические возможности клиники. В нашем клиническом случае мы приняли решение о проведении чрескожного коронарного вмешательства ввиду развития кардиогенного шока, жизнеугрожающих нарушений ритма сердца. В дальнейших исследованиях предстоит определить оптимальную тактику ведения этих пациентов, чтобы минимизировать развитие осложнений и снизить частоту рецидивов СДКА.
ДОПОЛНИТЕЛЬНО
Информированное согласие на публикацию. Пациентка подписала форму добровольного информированного согласия на публикацию её медицинских данных и фотографий (дата подписания 19.12.2022).
Источник финансирования. Не указан.
Конфликт интересов. Авторы декларируют отсутствие явных и потенциальных конфликтов интересов, связанных с публикацией настоящей статьи.
Вклад авторов. А.Р. Анохина — анализ фактических данных, написание статьи, Г.В. Матюшин, С.А. Устюгов, Е.И. Харьков, Е.А. Савченко — редактирование, утверждение текста статьи, П.Н. Власов, В.В. Охримчук, В.В. Скоробогатов, Е.В. Попова, Э.Б.о. Караев, Е.И. Рябков — анализ, интерпретация данных, получение фактических данных, Н.Ю. Цибульская — разработка концепции статьи. Все авторы подтверждают соответствие своего авторства международным критериям ICMJE (все авторы внесли существенный вклад в разработку концепции и подготовку статьи, прочли и одобрили финальную версию перед публикацией).
ADDITIONAL INFORMATION
Consent for publication. Written consent was obtained from the patient for publication of relevant medical information and all of accompanying images within the manuscript (signing date 12/19/2022).
Funding source. Not specified.
Competing interests. The authors declare that they have no competing interests.
Authors’ contribution. A.R. Anokhina — analysis of actual data, writing an article, G.V. Matyushin, S.A. Ustyugov, E.I. Kharkov, E.A. Savchenko — editing, approval of the text of the article, P.N. Vlasov, V.V. Okhrimchuk, V.V. Skorobogatov, E.V. Popova, E.B.o. Karaev, E.I. Ryabkov — analyzing, interpreting data, obtaining actual data, N.Yu. Tsibulskaya — development of the concept of the article. All authors made a substantial contribution to the conception of the work, drafting and revising the work, final approval of the version to be published and agree to be accountable for all aspects of the work.
About the authors
Alena R. Anokhina
Regional Clinical Hospital; Voyno-Yasenetsky Krasnoyarsk State Medical University
Author for correspondence.
Email: alena.anohina.rus@yandex.ru
ORCID iD: 0000-0001-9528-762X
SPIN-code: 9055-9403
cardiologist, department assistant
Russian Federation, 3A Partizana Zheleznyaka Str., 660022, Krasnoyarsk; KrasnoyarskGennady V. Matyushin
Regional Clinical Hospital; Voyno-Yasenetsky Krasnoyarsk State Medical University
Email: matyushin1@yandex.ru
ORCID iD: 0000-0002-0150-6092
SPIN-code: 2398-1156
MD, Dr. Sci. (Med.), Professor, department head
Russian Federation, 3A Partizana Zheleznyaka Str., 660022, Krasnoyarsk; KrasnoyarskSergei A. Ustyugov
Regional Clinical Hospital; Voyno-Yasenetsky Krasnoyarsk State Medical University
Email: ustyugoff-s@yandex.ru
ORCID iD: 0000-0003-3105-1946
SPIN-code: 9045-7075
department head, associate professor
Russian Federation, 3A Partizana Zheleznyaka Str., 660022, Krasnoyarsk; KrasnoyarskEvgeny I. Kharkov
Voyno-Yasenetsky Krasnoyarsk State Medical University; Karpovich Krasnoyarsk Interdistrict Clinical Emergency Hospital
Email: Harkov-50@mail.ru
ORCID iD: 0000-0002-8208-0926
SPIN-code: 1234-3885
MD, Dr. Sci. (Med.), department professor
Russian Federation, Krasnoyarsk; KrasnoyarskElena A. Savchenko
Voyno-Yasenetsky Krasnoyarsk State Medical University; Karpovich Krasnoyarsk Interdistrict Clinical Emergency Hospital
Email: lenasavchenko@rambler.ru
ORCID iD: 0000-0003-4438-1434
SPIN-code: 2742-2621
MD, Cand. Sci. (Med.), associate professor
Russian Federation, Krasnoyarsk; KrasnoyarskPetr N. Vlasov
Regional Clinical Hospital
Email: v.petrn@mail.ru
ORCID iD: 0009-0002-3646-3165
anesthesiologist-resuscitator
Russian Federation, 3A Partizana Zheleznyaka Str., 660022, KrasnoyarskVadim V. Okhrimchuk
Regional Clinical Hospital
Email: vadim_esenin@mail.ru
ORCID iD: 0000-0001-7714-1942
anesthesiologist-resuscitator
Russian Federation, 3A Partizana Zheleznyaka Str., 660022, KrasnoyarskValentin V. Skorobogatov
Regional Clinical Hospital
Email: vaal_z@list.ru
ORCID iD: 0009-0002-6293-4098
cardiologist
Russian Federation, 3A Partizana Zheleznyaka Str., 660022, KrasnoyarskEkaterina V. Popova
Regional Clinical Hospital
Email: veffy@mail.ru
ORCID iD: 0009-0004-8940-7612
cardiologist
Russian Federation, 3A Partizana Zheleznyaka Str., 660022, KrasnoyarskElnur B. Karaev
Karpovich Krasnoyarsk Interdistrict Clinical Emergency Hospital
Email: elnurmed@mail.ru
cardiologist
Russian Federation, KrasnoyarskNatalya Yu. Tsibulskaya
Voyno-Yasenetsky Krasnoyarsk State Medical University; Karpovich Krasnoyarsk Interdistrict Clinical Emergency Hospital
Email: solna33@yandex.ru
ORCID iD: 0000-0003-0122-0884
SPIN-code: 4238-8156
MD, Cand. Sci. (Med.), associate professor
Russian Federation, Krasnoyarsk; KrasnoyarskEvgeny I. Ryabkov
Karpovich Krasnoyarsk Interdistrict Clinical Emergency Hospital
Email: ryabkov.ei@mail.ru
X-ray surgeon
Russian Federation, KrasnoyarskReferences
- Zhukova NS, Shakhnovich RM, Merkulova IN, et al. Spontaneous Coronary Artery Dissection. Kardiologiia. 2019;59(9):52–60. (In Russ). doi: 10.18087/cardio.2019.9.10269
- Hayes SN, Kim ESH, Saw J, et al. Spontaneous coronary artery dissection: current state of the science: a scientific statement from the American Heart Association. Circulation. 2018;137(19):e523–e557. doi: 10.1161/CIR.0000000000000564
- Protasova EA, Furman NV, Titkov IV, et al. Spontaneous coronary artery dissection as a cause of acute myocardial infarction. Cardiovascular Therapy and Prevention. 2014;13(5):70–73. (In Russ). doi: 10.15829/1728-8800-2014-5-70-73
- Vatutin NT, Taradin GG, Bort DV, et al. А cаsе of spontaneous coronary artery dissection (review and case report). The Russian Archives of Internal Medicine. 2019;9(1):23–30. (In Russ). doi: 10.20514/2226-6704-2019-9-1-23-30
- Alkhouli M, Cole M, Ling FS. Coronary artery fenestration prior to stenting in spontaneous coronary artery dissection. Catheter Cardiovasc Interv. 2016;88(1):E23–E27. doi: 10.1002/ccd.26161
- Kuznetsov AA, Namitokov AM, Sazhneva AV, et al. Spontaneous left coronary artery dissection in the postpartum period: a case report. Russian Journal of Cardiology. 2022;27(3S):5059. (In Russ). doi: 10.15829/1560-4071-2022-5059
- Bockeria LA, Golukhova EZ, Petrosyan KV, et al. Spontaneous coronary dissection: case reports and literature review. Creative Cardiology. 2020;14(1):71–81. (In Russ). doi: 10.24022/1997-3187-2020-14-1-71-81
- Alquran L, Patel A, Safi L, Patel A. A rare case of multivessel SCAD successfully treated with conservative medical management. Case Rep Cardiol. 2020;2020:8468730. doi: 10.1155/2020/8468730
Supplementary files





