Spontaneous coronary artery dissection in a young woman with signs of connective tissue dysplasia and hereditary thrombophilia: clinical case
- Authors: Feoktistova V.S.1, Boldueva S.A.1, Burak T.Y.1, Kretova V.E.1
-
Affiliations:
- Mechnikov North-Western State Medical University
- Issue: Vol 15, No 1 (2024)
- Pages: 81-90
- Section: Case reports
- Submitted: 30.10.2023
- Accepted: 15.12.2023
- Published: 10.04.2024
- URL: https://cardiosomatics.ru/2221-7185/article/view/622871
- DOI: https://doi.org/10.17816/CS622871
- ID: 622871
Cite item
Full Text
Abstract
BACKGROUND: Spontaneous coronary artery dissection (SCAD) is a disease that develops unrelated to intracoronary intervention, atherosclerosis, aortic dissection, or mechanical trauma and causes a false lumen (intramural hematoma) in the wall of the coronary artery (CA) with impaired blood flow in it and myocardial ischemia in the affected region of the CA. SCAD most often develops in young and middle-aged adults (aged ≤50 years); among women, it becomes the culprit in 24%–35% of cases of acute myocardial infarction (MI). SCAD is a risk factor for MI, and incorrect interpretation of the angiographic picture and intravascular imaging methods can lead to incorrect tactics of patient behavior.
CLINICAL CASE DESCRIPTION: This article presents a clinical case of SCAD leading to the development of MI in a young woman with concomitant connective tissue dysplasia and hereditary thrombophilia. The angiographic disease course resembled focal atherosclerosis, and in the course of invasive management, complications had arisen, confirming the probable genesis of coronary artery obstruction.
CONCLUSION: SCAD is a complex disease, with a sudden onset and an ambiguous prognosis. In most cases, SCAD develops in young women in the absence of cardiovascular factors. It is difficult to diagnose because its signs and symptoms are similar to more common diseases, mainly MI. SCAD can masquerade as focal stenosis on an angiogram, mimicking an atherosclerotic plaque. The «gold standard» for diagnosing SCAD is optical coherence tomography (OCT). OCT enables the visualization of the state of all coronary artery walls and elucidates the pathogenetic mechanisms of MI. If performing OCT is impossible after diagnostic coronary angiography in young patients in suspected cases, the likelihood of DST and SCAD risk must be assessed to avoid errors in choosing treatments. The technical accessibility of intracoronary imaging methods reduces the frequency of diagnostic and, consequently, treatment errors.
Full Text
ОБОСНОВАНИЕ
Спонтанная диссекция коронарной артерии (СДКА) — заболевание, которое развивается без связи с интракоронарным вмешательством, атеросклерозом, расслоением аорты или механической травмой и характеризуется образованием ложного просвета (интрамуральной гематомы) в стенке коронарной артерии (КА) с нарушением кровотока по ней и ишемией миокарда в области поражённой КА [1, 2]. Интрамуральная гематома при СДКА формируется вследствие нарушения целостности эндотелиально-интимального слоя КА (гипотеза «изнутри наружу») или разрыва vasa vasorum в самой стенке КА без повреждения интимы (гипотеза «снаружи внутрь») [3]. СДКА чаще развивается у женщин молодого и среднего возраста (≤50 лет), у которых она становится причиной острого инфаркта миокарда (ИМ) в 24–35% случаев [4].
Механизм возникновения СДКА до сих пор не ясен, но врождённое или приобретённое нарушение структуры соединительной ткани артерий рассматривают как предрасполагающий фактор [1, 2, 4, 5]. Наиболее часто СДКА развивается у женщин во время беременности и в послеродовом периоде, у лиц с фибромускулярной дисплазией стенок артерий, описаны случаи СДКА у пациентов с наследственной дисплазией соединительной ткани (ДСТ), с системными воспалительными заболеваниями, при приёме заместительной гормональной терапии, в том числе оральных контрацептивов [1, 2]. Для больных с СДКА не характерно наличие классических факторов риска ишемической болезни сердца (ИБС) [6]. В большинстве случаев провоцирующими факторами СДКА служат сильный эмоциональный стресс (41%) и экстремальная статическая физическая нагрузка (24%) [7].
СДКА нередко упускают из вида при ИМ без обструкции КА (ИМБОКА), что в случае неправильной трактовки ангиографической картины и отсутствия доступа к внутрисосудистым методам визуализации (оптической когерентной томографии, ОКТ, или внутрисосудистому ультразвуковому исследованию) может привести к неверной тактике ведения пациента [6]. Лечение СДКА индивидуально для каждого конкретного больного, однако основано на 2 основных принципах: консервативной медикаментозной терапии (антиагреганты, β-блокаторы, нитропрепараты) и, если это необходимо, инвазивном лечении (чрескожное коронарное вмешательство, ЧКВ — баллонная ангиопластика и/или стентирование КА). Однако выполнение ЧКВ в случае СДКА нежелательно, поскольку из-за ранимости интимы нередко приводит к осложнениям в виде увеличения протяжённости диссекции КА [1, 2, 4, 8].
Далее представлен клинический случай СДКА у молодой женщины с признаками ДСТ и наследственной тромбофилией, у которой ангиографическая картина СДКА напоминала фокальный атеросклероз, наблюдалась клиническая картина острого ИМ, и в процессе инвазивной тактики лечения возникли специфические осложнения, подтверждающие вероятный генез обструкции КА.
КЛИНИЧЕСКИЙ СЛУЧАЙ
О пациенте
Пациентка К., 42 года, европеоидной расы, без анамнеза сердечно-сосудистых заболеваний и факторов риска доставлена бригадой скорой медицинской помощи в кардиологическую клинику с диагнозом: «ИБС, острый коронарный синдром с подъёмом сегмента ST». Осложнения: класс сердечной недостаточности I (по Killip).
В конце рабочего дня на фоне эмоционального напряжения (аудиторская проверка подразделения, которым руководила пациентка) внезапно, впервые в жизни у пациентки возникли чувство нехватки воздуха и сжимающая боль за грудиной. В течение 10–15 мин интенсивность болевого синдрома стала нарастать, появилось ощущение ломоты в руках, для облегчения состояния больная легла на пол и вызвала скорую помощь. Самостоятельно лекарственных препаратов не принимала. На момент приезда врачей пациентка была гемодинамически стабильна. По данным электрокардиографии (ЭКГ), на фоне синусового ритма с частотой сердечных сокращений (ЧСС) 72 уд./мин регистрировалась элевация сегмента ST в отведениях I, aVL, V1–V5 (рис. 1). Согласно протоколу по ведению больных с острыми коронарными синдромами на догоспитальном этапе, бригадой скорой медицинской помощи были выполнены неотложные мероприятия: внутривенно введено 2 мл 0,005% фентанила и 5000 ЕД гепарина натрия, сублингвально пациентка получила 250 мг ацетилсалициловой кислоты (АСК) и 300 мг клопидогрела.
Рис. 1. Электрокардиограмма пациентки К. при поступлении в стационар.
Fig. 1. Electrocardiogram of patient K. on admission to the hospital.
Из анамнеза жизни известно, что женщина росла и развивалась соответственно возрасту, в умственном и физическом развитии от сверстников не отставала. Замужем, работает руководителем отдела, ведёт активный образ жизни (3 раза/нед по 1,5 ч занимается в танцевальном клубе). Боли в груди в покое или при физической нагрузке ранее не отмечала. Повышение артериального давления >90/60 мм рт.ст., сахарный диабет отрицает. Аллергологический анамнез не отягощён. Гинекологический анамнез без особенностей (беременность — 1, роды — 1, менструирует, оральные контрацептивы не принимает). Наследственность не отягощена. Вредных привычек не имеет. Из сопутствующих заболеваний — варикозная болезнь вен нижних конечностей.
Физикальная диагностика
При физикальном осмотре обратил на себя внимание астенический тип телосложения: рост 160 см, вес 47 кг, индекс массы тела 18 кг/м2. Кожный покров обычного цвета и влажности. Периферических отёков нет. Температура тела 36,6 °С. Тоны сердца приглушены, ритмичные, шумов нет. ЧСС 72 уд./мин, артериальное давление 90/60 мм рт.ст., частота дыхательных движений 16 в минуту. Дыхание везикулярное, хрипов нет. Живот мягкий, безболезненный. Печень не выступает из-под края рёберной дуги, селезёнка не пальпируется.
Вмешательство
Принимая во внимание клиническую картину классической ангинозной боли, изменения на ЭКГ и вираж маркёров повреждения миокарда (тропонин Т — 778,2 пг/мл, клиническое пороговое значение — 100,0 пг/мл), пациентке была экстренно выполнена коронарография (КАГ), по результатам которой визуализировалась ангиографическая картина 95% стеноза проксимальной трети передней межжелудочковой артерии (ПМЖА) от устья с переходом на проксимальную треть со снижением кровотока до TIMI II (TIMI — шкала оценки перфузии КА после точки окклюзии при КАГ; рис. 2).
Рис. 2. Коронарограмма пациентки К. при поступлении. 95% стеноз передней межжелудочковой артерии от устья с переходом на проксимальную треть.
Fig. 2. Coronarogram on admission. Stenosis of 95% of AIVA from the orifice with transition to the proximal third.
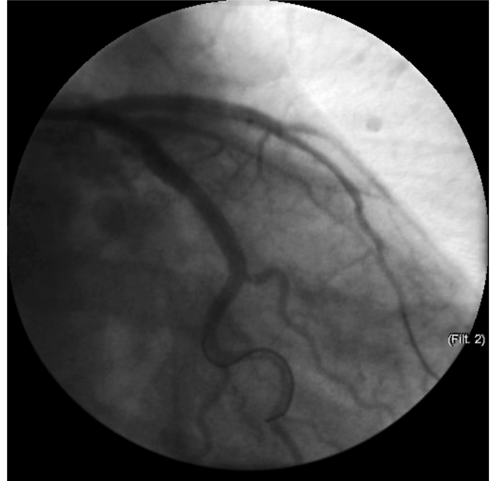
Ствол левой КА (ЛКА), диагональная (ДВ) и огибающая ветвь (ОВ) ЛКА, правая КА и ветви правой КА — без гемодинамических значимых изменений (рис. 2, 3). Принято решение об экстренной реваскуляризации ПМЖА.
Рис. 3. Коронарограмма пациентки К. при поступлении. Правая коронарная артерия.
Fig. 3. Coronarogram on admission. Right coronary artery.
При установке проводникового катетера (ПК) EBU 3.5-6Fr отмечались технические сложности ввиду анатомических особенностей ЛКА (короткий ствол) и малого диаметра восходящего отдела аорты, что потребовало смены ПК на 3.5-6Fr. После этого в дистальные отделы ПМЖА был заведён коронарный проводник и произведена предилатация зоны субокклюзии баллонным катетером 2,0×20 мм при давлении 12 и 14 атм. На контрольной КАГ обнаружены повреждение интимы в приустьевом отделе ПМЖА с резким ограничением кровотока до TIMI I и диссекция в приустьевом отделе ОВ с формированием субинтимальной гематомы и ограничением кровотока до TIMI I, что клинически сопровождалось развитием ангинозного приступа (рис. 4).
Рис. 4. Контрольная коронарограмма пациентки К. Линейная диссекция в приустьевом отделе огибающей ветви левой коронарной артерии, возникшая при установке проводникового катетера.
Fig. 4. Control coronarogram. Linear dissection in the left circumflex coronary artery, which occurred during guidewire catheter placement.
Далее выполнена ангиопластика в зоне диссекции ОВ баллонным катетером 2,0×20 мм под давлением 14 атм. (дважды) с восстановлением антеградного кровотока по ОВ до степени TIMI III. От устья ОВ имплантирован коронарный стент с лекарственным покрытием 4,0×18 мм (EES) давлением 12 атм. При контрольной ангиографии диссекций и резидуального стеноза не обнаружено, кровоток по ОВ её ветвям — со скоростью TIMI III. После была проведена ангиопластика в устье ПМЖА баллонным катетером 2,5×20 мм под давлением 14 и 16 атм., и от устья ПМЖА до устья диагональной ветви ДB имплантирован коронарный стент с лекарственным покрытием 3,0×28 мм (EES) давлением 14 атм. При контрольной ангиографии диссекции и резидуальный стеноз отсутствуют, кровоток по бассейну ПМЖА восстановлен со скоростью TIMI III (рис. 5).
Рис. 5. Контрольная коронарограмма пациентки К. Восстановленный кровоток по ветвям левой коронарной артерии с отсутствием диссекций и резидуальных стенозов.
Fig. 5. Control coronarogram. Restored blood flow through the branches of the left coronary artery with the absence of dissections and residual stenoses.
Эхокардиография выполнена после ЧКВ: избытка жидкости в полости перикарда не найдено, фракция выброса составила 44%, левый желудочек и левое предсердие не увеличены, миокард не утолщён. Визуализировалась акинезия срединной части межжелудочковой перегородки, верхушки, срединных сегментов передней и боковой стенки. Правые отделы сердца не расширены, глобальная сократимость правого желудочка не снижена. Данных за аневризму и расслоение аорты не выявлено: аорта — 30 мм в области синусов и 31 мм — в восходящем отделе, стенки уплотнены, клапан трёхполулунный, не изменён, нарушений кровотока нет. Обнаружена миксоматозная дегенерация створок митрального (1-й ст.) и трикуспидального (1-й ст.) клапана с митральной регургитацией 1-й ст. и трикуспидальной регургитацией 2-й ст. Лёгочный ствол не расширен, давление в лёгочной артерии не повышено.
По результатам лабораторного обследования: клинический анализ крови — без особенностей, общий анализ мочи — без изменений. По биохимическому анализу крови нарушений со стороны функции печени, поджелудочной железы и почек не обнаружено. Липидный профиль: общий холестерин — 4,2 ммоль/л (норма 3,4–5,2 ммоль/л), липопротеины низкой плотности — 2 ммоль/л (норма <3 ммоль/л), липопротеины высокой плотности — 1,99 ммоль/л (умеренный риск — 1,15–1,68 ммоль/л, высокий риск — <1,15 ммоль/л норма). Тиреотропный гормон — 0,46 мЕД/л (норма 0,4–4,0 мЕД/л).
Диагноз
Клинический диагноз
Основной: «ИБС: острый распространённый передний Q-инфаркт миокарда; баллонная вазодилатация со стентированием ПМЖА и ОВ ЛКА. Пролапс митрального и трикуспидального клапана».
Сопутствующий: «Варикозное расширение вен нижних конечностей».
Динамика и исходы
Несмотря на первоначальную ангиографическую картину фокального стеноза, отсутствие факторов риска ИБС у молодой женщины астенического телосложения с признаками пролапса митрального и трикуспидального клапана и выраженная контактная ранимость интимы КА с возникновением диссекций во время проведения ЧКВ позволили предположить, что причиной ИМ у пациентки могла стать СДКА. Во время ЧКВ не было технических возможностей для выполнения больной ОКТ и внутрисосудистого ультразвукового исследования, в связи с чем мы попытались выяснить, имелись ли у пациентки условия и факторы риска для возникновения СДКА. По результатам обследования у пациентки не обнаружено признаков системных воспалительных заболеваний, в анамнезе отсутствовала предшествующая инфекция, женщина не получала заместительной гормональной терапии. Учитывая особенности телосложения и пролапсы клапанов, была проведена количественная оценка признаков недифференцированной ДСТ. Согласно действующим российским клиническим рекомендациям по ДСТ (2017), по внешним маркёрам у пациентки был рассчитан диагностический коэффициент (ДК), который позволяет сделать заключение о наличии ДСТ и спрогнозировать её течение [9]. Обнаружены вовлечение костно-мышечной системы (поперечное плоскостопие — ДК=6,42) и гипотрофия мышц (ДК=6,42), кожи (тонкая просвечивающая кожа — ДК=4,57) и её гиперрастяжимость (ДК=10,33), а также, как указано выше, пролапс митрального (ДК=9,18) и трикуспидального клапана (ДК=3,53) и варикозное расширение вен нижних конечностей (ДК=5,83). Суммарный ДК составил 46,28. В соответствии с рекомендациями, ДК >17 свидетельствует о наличии ДСТ, а свыше 23 — о неблагоприятном течении заболевания и развитии осложнений, в том числе таких, как диссекция или разрыв сосудов [10]. Следовательно, ДСТ у нашей больной могла способствовать развитию СДКА, а выраженный эмоциональный стресс выступил триггером.
В качестве ещё одной возможной причины развития ИМ у пациентки рассматривали спонтанный тромбоз КА, в связи с чем был проведён скрининг на антифосфолипидный синдром и наследственную тромбофилию. Содержание волчаночного антикоагулянта (33,10 с), уровень антител к β2-гликопротеину (6,85 ЕД/мл), кардиолипину IgG (2,0 ЕД/мл) и IgM (2,0 0 ЕД/мл), а также значения антитромбина III (97,20%) находились в пределах референсных значений. Выполнено молекулярно-генетическое исследование свёртывающей системы крови — F5 (фактор V) G 1691A; F2 (протромбин) G 20210; FGB (фибриноген) -455 G >A; F13A1 (фактор XIII) Arg353Gln, а также системы фибринолиза — SERPINE 1 (PAI-1) -675 5G >4G и тромбоцитарного звена гемостаза — ITGA2 (GP Ia): C807, ITGB3 (GP IIIa): T1565C (L33P). Таким образом, данных за антифосфолипидный синдром не получено, но выявлены признаки наследственной тромбофилии в виде лейденовской мутации в гетерозиготной форме и предрасположенности к снижению активности фибринолитической системы (гетерозиготное носительство полиморфизма -675 5G/4G гена PAI-1), а также повышение функциональной активности тромбоцитов (гетерозиготное носительство полиморфизма -T1565C гена GP IIIa).
Возможной причиной ИМ у больной могли также оказаться эрозия небольшой атеросклеротической бляшки или её повреждение, но для верификации этих процессов также были нужны внутрикоронарные методы визуализации. Ввиду того, что к моменту выписки из стационара причина ИМ установлена не была, лечение пациентки проводили согласно протоколу ведения больных с ИМ 1-го типа после стентирования. При выписке из стационара рекомендовали приём тикагрелора (180 мг/сут), АСК (100 мг/сут), ивабрадина (5 мг/сут), рамиприла (1,25 мг/сут) и аторвастатина (20 мг/сут). β-Блокаторы не назначали в связи с гипотонией.
Спустя 8 нед от момента развития ИМ в плановом порядке пациентке были проведены контрольная КАГ и ОКТ КА. В случае СДКА ОКТ также необходима для оценки прилегания стента к КА, так как после разрешения интрамуральной гематомы просвет сосуда увеличивается и может не соответствовать размеру ранее имплантированного стента [5]. По результатам повторной КАГ: ПМЖА, ОВ — без гемодинамически значимых изменений, стенты проходимы.
При выполнении ОКТ ПМЖА обнаружены недостаточное прилегание страт в проксимальной и средней части стента и отсутствие его эндотелизации, а также разрыв интимы в приустьевом отделе ПМЖА и протяжённая (>20 мм) субинтимальная гематома, выходящая за пределы области стентирования до бифуркации ПМЖА с ДВ. На всём протяжении ПМЖА визуализировалась трёхслойная структура её стенки без признаков атеросклеротического поражения (рис. 6, 7).
Рис. 6. Изображение оптической когерентной томографии передней межжелудочковой артерии в приустьевом отделе. Стрелкой указаны разрыв интимы с формированием субинтимальной гематомы, а также мальпозиция страт стента.
Fig. 6. Optical coherence tomography image of AIVA in the aortic section. The arrow indicates intimal rupture with formation of subintimal hematoma, as well as malposition of the stent strut.
Рис. 7. Визуализация при оптической когерентной томографии субинтимальной гематомы на уровне средней трети передней межжелудочковой артерии.
Fig. 7. OCT visualization of subintimal hematoma at the level of the middle third of AIVA.
По данным ОКТ ОВ, прилегание стента хорошее на всём протяжении, мальппозиции нет, признаки атеросклероза отсутствуют. Одномоментно проведена баллонная ангиопластика в проксимальном отделе стента ПМЖВ баллоном TREK 3,25×25 мм под давлением 12 атм. При повторной ОКТ ПМЖА отмечено улучшение прилегания страт стента, значимой мальппозиции нет.
Таким образом, полученные результаты ОКТ с высокой долей вероятности свидетельствуют о том, что причиной ИМБОКА у нашей пациентки стала СДКА 3-го типа.
Прогноз
Учитывая молодой возраст пациентки, отсутствие модифицируемых факторов сердечно-сосудистого риска и её хорошую приверженность к выполнению рекомендаций по образу жизни и лечению, прогноз для жизни благоприятный. Однако, принимая во внимание высокий суммарный ДК ДСТ (46,28), предрасполагающий к неблагоприятному течению заболевания и развитию осложнений, не исключается вероятность рецидива СДКА. Перед написанием статьи (через 2 года после описываемого события) пациентка была приглашена в клинику и обследована: ангинозной боли и признаков сердечной недостаточности не обнаружено.
ОБСУЖДЕНИЕ
Согласно классификации J. Saw, существует 3 основных ангиографических типа СДКА [10]. При типе 1 (29,1% случаев) имеются классический продольный дефект заполнения контрастным веществом КА, двойной проток (ложный канал); этот тип наиболее прост для распознавания. Тип 2 (67,5% случаев) представляет собой диффузное, гладкое, обычно >20 мм сужение КА различной степени выраженности. Тип 3 (3,4% случаев) выглядит как фокальный стеноз, часто ошибочно принимается за атеросклеротическую бляшку. Не имеющие классических признаков диссекции тип 2 и 3 СДКА чаще всего недооценивают, и без внутрикоронарных методов визуализации они могут приводить к неправильной трактовке ангиограмм, а при выполнении ЧКВ — к развитию осложнений, как в случае с нашей пациенткой [5, 6, 10].
Фактором риска развития СДКА в представленном случае, по всей видимости, выступила имеющаяся у пациентки ДСТ. По данным литературы, у пациентов с ДСТ это осложнение развивается в 5% случаев [4].
Возникает вопрос, какую роль в развитии заболевания играла обнаруженная у пациентки наследственная тромбофилия? Дело в том, что одним из фенотипических проявлений ДСТ является тромбогеморрагический синдром. С ранних лет у людей с ДСТ может иметься склонность и к кровоточивости, и к тромбогенным событиям. Для них характерны лёгкое образование гематом, носовые кровотечения, повышенная контактная ранимость слизистых оболочек при эндоскопических процедурах и при воздействии физического триггера (операция, беременность, авиаперелёт), возникновение венозных и артериальных тромбозов. Репродуктивный анамнез женщин с ДСТ нередко отягощён ранними и поздними осложнениями беременности: замершая беременность, антенатальная гибель плода, фетоплацентарная недостаточность, отслойка нормально расположенной плаценты, кровотечения при беременности и родах [9]. Следовательно, обнаруженная у нашей пациентки наследственная тромбофилия — это, скорее, закономерность, а не случайная находка. Схожие данные по наличию полиморфизмов генов, ответственных за гемостаз, А.В. Ягода и соавт. обнаружили у молодых людей с внешними признаками ДСТ и малыми аномалиями развития [11–13]. Однако несмотря на то, что по результатам лабораторного обследования наша пациентка оказалась склонна к тромбообразованию, эпизодов спонтанных тромбозов в анамнезе у неё не имелось. Принимая во внимание гетерозиготное носительство генов тромбофилии у нашей больной, отсутствие в анамнезе эпизодов спонтанных тромбозов, остаётся неясным, оказала ли наследственная тромбофилия какое-либо влияние на ход произошедшего сосудистого события. Возможно, тромбофилия привела к ограничению распространения диссекции КА изначально, а также в процессе ЧКВ.
Согласно Консенсусу европейского и американского общества кардиологов, в отличие от ИМ 1-го типа, при ИМ, развившемся вследствие СДКА, предпочтительна консервативная тактика ведения (клопидогрел, АСК, β-блокаторы, ингибиторы ангиотензинпревращающего фермента) [1, 2, 4, 5], что обусловлено способностью СДКА самостоятельно стабилизироваться и заживать (этот эффект наблюдают у 70–97% больных, начиная с первых дней и до 1–1,5 мес после индексного события) [5]. Реваскуляризация у пациентов с СДКА сопряжена с повышенным риском анте- или ретроградного расширения зоны диссекции из-за восприимчивости интимы артерий к возникновению ятрогенных реакций во время манипуляций с катетером, баллонирования и стентирования КА, она ведёт к неоднозначному прогнозу. Частота осложнений ЧКВ при СДКА, по данным разных авторов, колеблется в пределах 20–60% [5, 8]. Вместе с тем стентирование при СДКА является быстрым и эффективным способом восстановления кровотока в истинном просвете КА, способствует уменьшению ишемии миокарда и герметизации зоны диссекции [14]. Интервенционное вмешательство у больных с СДКА оправдано, если существуют признаки рецидивирующей или постоянной ишемии миокарда, жизнеугрожающих нарушений ритма, пациент гемодинамичеки нестабилен, а также в ситуациях, когда диссекция развивается в главном стволе ЛКА и/или в проксимальном сегменте магистральных артерий [4].
Таким образом несмотря на то, что наша пациентка изначально была недооценена в отношении высокой вероятности развития СДКА как причины острого ИМ, тактика её лечения была верной. Вместе с тем недостаточное внимание к признакам ДСТ у больной привело к недооценке возможности развития интраоперационных осложнений (контактной диссекции устья ОВ ЛКА и протяжённой диссекции ПМЖА после ангиопластики). Эти факторы нужно принимать во внимание при ЧКВ у пациентов без факторов риска развития сердечно-сосудистых заболеваний.
ЗАКЛЮЧЕНИЕ
СДКА является сложным заболеванием с внезапным началом и неоднозначным прогнозом. В большинстве случаев СДКА развивается у молодых женщин с отсутствием сердечно-сосудистых факторов риска, и из-за сходства признаков и симптомов СДКА с другими более распространёнными заболеваниями (главным образом с ИМ) её трудно диагностировать. Следует помнить, что на ангиограмме СДКА может маскироваться под фокальный стеноз, имитируя атеросклеротическую бляшку. «Золотым стандартом» диагностики СДКА является ОКТ. ОКТ позволяет визуализировать состояние всех стенок КА и разобраться в патогенетических механизмах ИМ. При невозможности выполнения ОКТ вслед за диагностической КАГ у молодых пациентов в сомнительных случаях целесообразно оценить вероятность ДСТ и риск возникновения СДКА, что позволит не ошибиться в выборе тактики ведения и лечения больного. Безусловно, техническая доступность внутрикоронарных методов визуализации снизит частоту диагностических, а, следовательно, и тактических ошибок.
ДОПОЛНИТЕЛЬНАЯ ИНФОРМАЦИЯ
Вклад авторов. В.С. Феоктистова — анализ и интерпретация фактических данных, редактирование и написание рукописи, разработка концепции статьи; С.А. Болдуева — редактирование и написание рукописи, утверждение текста статьи; Т.Я. Бурак — анализ данных, написание рукописи; В.Э. Кретова — получение фактических данных, анализ данных литературы, общение с пациенткой.
Информированное согласие. Пациенткой была подписана форма добровольного информированного согласия на публикацию персональной медицинской информации в обезличенной форме в журнале «CardioСоматика», а также на передачу электронной копии подписанной формы информированного согласия сотрудникам редакции журнала (дата подписания 15.08.2023).
Источник финансирования. Не указан.
Конфликт интересов. Авторы декларируют отсутствие явных и потенциальных конфликтов интересов, связанных с публикацией настоящей статьи.
ADDITIONAL INFORMATION
Authors’ contribution. V.S. Feoktistova — analysis an interpretation of actual data, editing and writing of the article, development of the concept of the article; S.A. Boldueva — editing and writing, approval of the text of the article; T.Y. Burak — analyzing data, writing of the article; V.E. Kretova — obtaining actual data, analysis of the literature, communication with the patient.
Informed consent. Written consent was obtained from the patient for publication of personal medical information in anonymized form in the journal “CardioSomatics”, as well as for the transfer of an electronic copy of the signed informed consent form to the editorial staff of the journal (signing date 15.08.2023).
Funding source. Not specified.
Competing interests. The authors declare that they have no competing interests.
About the authors
Valeria S. Feoktistova
Mechnikov North-Western State Medical University
Email: lerissima@yandex.ru
ORCID iD: 0000-0003-4161-3535
MD, Cand. Sci. (Med.), associate professor
Russian Federation, St. PetersburgSvetlana A. Boldueva
Mechnikov North-Western State Medical University
Email: svetlanaboldueva@mail.ru
ORCID iD: 0000-0002-1898-084X
MD, Dr. Sci. (Med.), department professor
Russian Federation, St. PetersburgTaras Y. Burak
Mechnikov North-Western State Medical University
Email: burak_t@mail.ru
ORCID iD: 0000-0003-2591-2738
Scopus Author ID: 929468
MD, Cand. Sci. (Med.), associate professor
Russian Federation, St. PetersburgVeronika E. Kretova
Mechnikov North-Western State Medical University
Author for correspondence.
Email: miss.kretova2018@yandex.ru
ORCID iD: 0009-0007-8124-3838
student
Russian Federation, St. PetersburgReferences
- Adlam D, Alfonso F, Maas A, et al. European Society of Cardiology, Acute Cardiovascular Care Association, SCAD study group: a position paper on spontaneous coronary artery dissection. Eur Heart J. 2018;39(36):3353–3368. doi: 10.1093/eurheartj/ehy080
- Hayes SN, Kim ESH, Saw J, et al. Spontaneous Coronary Artery Dissection: Current State of the Science: A Scientific Statement From the American Heart Association. Circulation. 2018;137(19):e523–e557. doi: 10.1161/CIR.0000000000000564
- Saw J, Mancini GBJ, Humphries KH. Contemporary Review on Spontaneous Coronary Artery Dissection. J Am Coll Cardiol. 2016;68(3):297–312. doi: 10.1016/j.jacc.2016.05.034. Erratum in: J Am Coll Cardiol. 2016;68(14):1606.
- Garcia-Guimarães M, Bastante T, Antuña P, et al. Spontaneous Coronary Artery Dissection: Mechanisms, Diagnosis and Management. Eur Cardiol. 2020;(15):1–8. doi: 10.15420/ecr.2019.01
- Zhukova NS, Shakhnovich RM, Merkulova IN, et al. Spontaneous Coronary Artery Dissection. Kardiologiia. 2019;59(9):52–63. (In Russ). doi: 10.18087/cardio.2019.9.10269
- Tamis-Holland JE, Jneid H, Reynolds HR, et al. Contemporary Diagnosis and Management of Patients With Myocardial Infarction in the Absence of Obstructive Coronary Artery Disease: A Scientific Statement From the American Heart Association. Circulation. 2019;139(18):e891–e908. doi: 10.1161/CIR.0000000000000670
- Saw J, Aymong E, Sedlak T, et al. Spontaneous coronary artery dissection: association with predisposing arteriopathies and precipitating stressors and cardiovascular outcomes. Circ Cardiovasc Interv. 2014;7(5):645–655. doi: 10.1161/CIRCINTERVENTIONS.114.001760
- Cano-Castellote M, Afanador-Restrepo DF, González-Santamaría J, et al. Pathophysiology, Diagnosis and Treatment of Spontaneous Coronary Artery Dissection in Peripartum Women. J Clin Med. 2022;11(22):6657. doi: 10.3390/jcm11226657
- Martynov AI, Nechaeva GI, Akatova EV, et al. Guidelines of the Russian scientific medical society of internal medicine on the diagnosis, treatment and rehabilitation of patients with the connective tissue dysplasia (first edition). Medical News of North Caucasus. 2018;13(1–2):137–209. (In Russ). doi: 10.14300/mnnc.2018.13037
- Saw J, Humphries K, Aymong E, et al. Spontaneous Coronary Artery Dissection: Clinical Outcomes and Risk of Recurrence. J Am Coll Cardiol. 2017;70(9):1148–1158. doi: 10.1016/j.jacc.2017.06.053
- Yagoda AV, Airapetian LA. Polymorphisms of thrombophilia genes with some visceral signs of connective tissue dysplasia. Therapy. 2020;6(40):46–51. (In Russ). doi: 10.18565/therapy.2020.6.46-51
- Yagoda AV, Airapetian LA. Thrombophilia genes in external signs of connective tissue dysplasia and minor development abnormality. Medical News of North Caucasus. 2021;16(1):21–27. (In Russ). doi: 10.14300/mnnc.2021.16006
- Yagoda AV, Airapetian LA. Genetic aspects of hemostasis disorders in patients with minor heart anomalies. Medical News of North Caucasus. 2020;15(1):46–52. (In Russ). doi: 10.14300/mnnc.2020.15010
- Petrou E, Bousoula E, Boutsikou M, et al. Multivessel spontaneous dissection of the left coronary tree in the postpartum period: case report and review of the literature. Eur Rev Med Pharmacol Sci. 2014;18(24):3743–3746.
Supplementary files










