Thrombosis of the superior vena cava in a patient with an implanted cardioverter–defibrillator: A case report
- Authors: Paranina E.V.1, Lebedev P.A.1, Yakunina A.V.1, Elizarov M.A.1, Paranin P.O.1
-
Affiliations:
- Samara State Medical University
- Issue: Vol 15, No 3 (2024)
- Pages: 243-253
- Section: Case reports
- Submitted: 13.04.2024
- Accepted: 03.08.2024
- Published: 15.11.2024
- URL: https://cardiosomatics.ru/2221-7185/article/view/630303
- DOI: https://doi.org/10.17816/CS630303
- ID: 630303
Cite item
Full Text
Abstract
BACKGROUND: Superior vena cava syndrome results from the occlusion of blood flow in the superior vena cava due to external compression, internal obstruction, or infiltration of the vessel wall by a tumor. Although thrombotic complications caused by electrodes of cardiac implantable devices are uncommon in clinical practice, their incidence has been increasing due to the increasing need for such devices, which effectively correct the compromised electrical or mechanical functions of the heart chambers.
CLINICAL CASE DESCRIPTION: Herein, we have presented a case of superior vena cava thrombosis syndrome in a patient who had undergone cardioverter–defibrillator implantation for dilated cardiomyopathy. We have discussed the classification of superior vena cava syndromes, its pathogenesis, and the types of collateral circulation.
CONCLUSION: As observed in our patient, the concurrent presence of chronic heart failure syndrome can make it challenging to recognize superior vena cava syndrome in the early stages of diagnosis.
Full Text
ОБОСНОВАНИЕ
Верхняя полая вена (ВПВ) является крупнейшей веной средостения, образуется в результате слияния левой и правой безымянных (брахиоцефальных) вен и собирает кровь от головы, шеи и верхней части тела, стенок и органов грудной полости и частично стенок брюшной полости. Синдром ВПВ возникает в результате обструкции кровотока в ВПВ, которая может быть вызвана либо внешней компрессией, либо внутренней закупоркой тромбом или опухолевой инфильтрацией. В 60% случаев это связано со злокачественными новообразованиями, такими как лимфома, мелкоклеточный и немелкоклеточный рак лёгких, а также с метастатическими поражениями [1].
Синдром ВПВ, возникающий в результате тромбоза, обычно связан с венозными катетерами для длительного введения антибиотиков или химиотерапии и электродами кардиостимулятора. Наиболее частое клиническое проявление — отёк лица, шеи и верхних конечностей. Другие признаки и симптомы включают охриплость голоса, боль в груди, дисфагию, изменения психического статуса, головную боль, обморок и периорбитальный отёк. Лечение зависит от основной причины и тяжести симптомов.
Врачи довольно редко встречаются с этой патологией, в связи с чем при первом обращении больного к врачу диагноз, как правило, не устанавливается. В качестве примера приводим собственное клиническое наблюдение.
ОПИСАНИЕ КЛИНИЧЕСКОГО СЛУЧАЯ
Пациентка К., 1969 года рождения (54 года), семейный анамнез без особенностей. Больной себя считает с 2010 года, когда впервые появились жалобы на учащённое сердцебиение, головокружения и слабость. При обследовании на электрокардиограмме (ЭКГ) были выявлены синусовый ритм, единичные суправентрикулярные экстрасистолы, частота сердечных сокращений (ЧСС) 85 в мин.
С 2011 года стала отмечать появление и постепенное нарастание одышки, ощущение перебоев в работе сердца, слабость, головокружение, пресинкопальные состояния. Неоднократно обращалась за помощью: при обследовании индекс массы тела — 21,5 кг/м2, артериальное давление — 100 и 75 мм рт. ст., физикальные признаки сердечной недостаточности не выражены; общеклинические анализы крови и мочи без патологии; на ЭКГ от 2017, 2018 гг. ритм синусовый, ЧСС 87 уд/мин, полная блокада правой ножки пучка Гиса (ПБЛНПГ); холтеровское мониторирование от 04.04.2018 г.: ритм синусовый, средняя ЧСС 82 уд/мин, общее количество желудочковых экстрасистол — 2401, наджелудочковых — 2258. На эхокардиографиях (ЭхоКГ), выполненных последовательно в разные годы, отмечаются прогрессирование дилатационного морфофункционального типа поражения сердца с падением сократительной способности левого желудочка, усугубление вторичной лёгочной гипертензии (табл. 1).
Таблица 1. Динамика показателей эхокардиографии пациентки К.
Table 1. Dynamic EchoCG parameters of patient K.
Параметр | 2010 год | 2012 год | 2017 год | 2018 год |
КДР ЛЖ, мм | 49 | 54 | 62 | 72 |
КСР ЛЖ, мм | 30 | 43 | 52 | 68 |
КДО ЛЖ, мл | 122 | 126 | 152 | 204 |
КСО ЛЖ, мл | 48 | 54 | 108 | 160 |
ЛП, мм | – | 40 | 48 | 58 |
Расчётное давление в ПЖ, мм рт. ст. | – | 35 | 55 | 64 |
ФВ ЛЖ, % | 60 | 40 | 32 | 21 |
В средней трети МПП аневризма с основанием 20 мм, глубиной 9 мм, по нижнему краю сброс 2 мм, малый объём, выбухание МПП в сторону правого предсердия на 1,2 мм | ||||
Примечание. КДР ЛЖ — конечно-диастолический размер левого желудочка, КСР ЛЖ — конечно-систолический размер левого желудочка, КДО ЛЖ — конечно-диастолический объём левого желудочка, КСО ЛЖ — конечно-систолический объём левого желудочка, ЛП — диаметр левого предсердия, ПЖ — правый желудочек; ФВ ЛЖ — фракция выброса левого желудочка, МПП — межпредсердная перегородка.
Note. КДР ЛЖ — left ventricular end-diastolic dimension, КСР ЛЖ — left ventricular end-systolic dimension, КДО ЛЖ — left ventricular end-diastolic volume, КСО ЛЖ — left ventricular end-systolic volume, ЛП — left atrial diameter, ПЖ — right ventricle, ФВ ЛЖ — left ventricular ejection fraction, МПП — interatrial septum.
При коронароангиографии видимых патологических изменений коронарных артерий не обнаружено.
Диагноз
Дилатационная кардиомиопатия. Малая аномалия развития сердца (МАРС): аневризма межпредсердной перегородки с малым сбросом. Преходящая ПБЛНПГ. Вторичная лёгочная гипертензия. Хроническая сердечная недостаточность (ХСН) II А, 2-й функциональный класс (NYHA).
Динамика и исходы
С целью первичной профилактики внезапной сердечной смерти в 2019 г. пациентке была выполнена имплантация однокамерного кардиовертера-дефибриллятора (режим VVIR) и назначена медикаментозная терапия: ингибиторы ангиотензин-превращающего фермента (периндоприл 2,5 мг/сутки), бета-адреноблокаторы (бисопролол 2,5 мг/сутки), антагонисты альдостерона (эплеренон 25 мг/сутки), тиазидный диуретик. На фоне регулярной консервативной терапии при динамическом наблюдении отмечалась положительная динамика: купирование одышки и сердцебиения, отсутствие синкопальных состояний. При контрольной ЭхоКГ наблюдали прирост фракции выброса левого желудочка (ФВ ЛЖ) до 46%.
С октября 2022 года пациентка стала отмечать отёчность и покраснение кожных покровов лица, сопровождающиеся ощущением отёка гортани и затруднённого дыхания, возникающим после любых физических нагрузок. При осмотре отмечались преходящая интенсивная красно-синюшная окраска и отёчность лица (нос, щёки, подбородочная область). В состоянии физического покоя окраска постепенно бледнела с исчезновением синюшного оттенка. На протяжении последующих месяцев пациентка неоднократно обращалась за консультацией к врачам различных специальностей (терапевт, кардиолог, оториноларинголог, аллерголог-иммунолог, пульмонолог), была обследована (общеклинические исследования, рентгенография органов грудной клетки). Однако какой-либо патологии, связанной с вышеуказанными жалобами, выявить не удалось. Состояние было расценено как проявление аллергической реакции, ангионевротического отёка, по поводу которого больная получала антигистаминные препараты, однако её состояние не улучшалось. Пациентка обратилась к неврологу, при сборе анамнеза была отмечена стереотипность возникновения симптомов: их появление пациентка связывала с наклонами корпуса, например, с надеванием бахил перед посещением врача. В связи с этим в апреле 2023 года пациентке была проведена компьютерная томография (КТ) органов средостения, по результатам которой дано заключение о наличии у больной тромбоза верхней полой вены (рис. 1–4).
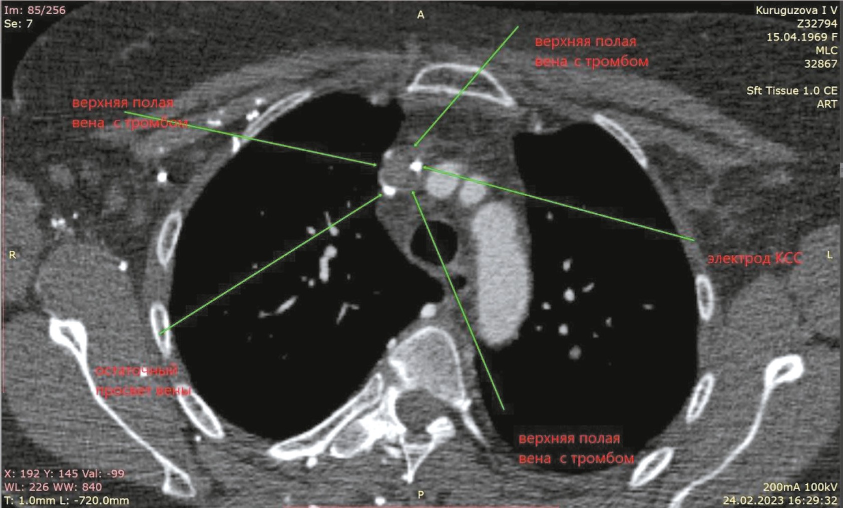
Рис. 1. Компьютерная томограмма пациентки К. Верхняя полая вена, просвет которой почти полностью заполнен тромботическими массами.
Fig. 1. Computed tomography of patient K. Upper vena cava, the lumen of which is almost completely filled with thrombotic masses.
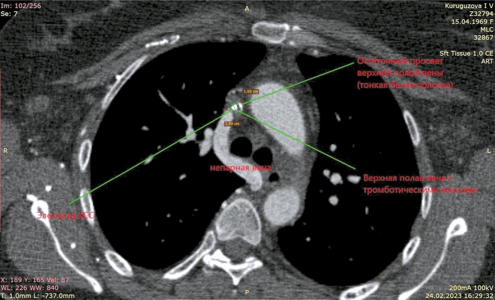
Рис. 2. Компьютерная томограмма пациентки К. Верхняя полая вена с тромботическими массами, остаточный просвет. Непарная вена расширена.
Fig. 2. Computed tomography of patient K. Upper vena cava with thrombotic masses, residual lumen. The neparietal vein is dilated.
Рис. 3. Компьютерная томограмма пациентки К. Развитие коллатеральных анастомозов.
Fig. 3. Computed tomography of patient K. Development of collateral anastomoses.
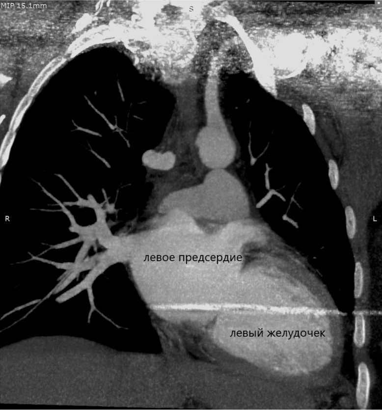
Рис. 4. Компьютерная томограмма пациентки К. Дилатация левых отделов сердца, пристеночные тромботические отложения в полости левого желудочка.
Fig. 4. Computed tomography of patient K. Left heart dilatation, wall thrombotic deposits in the left ventricular cavity.
Обращает на себя внимание выраженная задержка контраста в венах правой верхней конечности, куда вводилось контрастное вещество. Имеется богатая ветвь венозных анастомозов в мягких тканях грудной клетки, паравертебрально. ВПВ уменьшена в диаметре, её просвет практически полностью заполнен тромботическими массами от уровня впадения левой подключичной вены до места впадения непарной вены, сохранён просвет в виде узкой (1×4 мм) полулунной щели вдоль электрода. Непарная вена расширена, имеет диаметр до 10 мм и практически полностью обеспечивает верхний приток крови к правому предсердию. Основное возвращение крови к сердцу происходит через нижнюю полую вену, заполнение контрастом которой заметно отсрочено. Заключение: картина тромбоза/субтотальной облитерации ВПВ с организацией коллатерального венозного кровотока. Состояние после установки электрокардиостимулятора (ЭКС). Дилатация левых отделов сердца.
Клинический диагноз
Основной диагноз: дилатационная кардиомиопатия. Преходящая полная блокада левой ножки пучка Гиса. Состояние после установки имплантируемого кардиовертера-дефибриллятора Iforia VR от 01.10.2019 г. МАРС: аневризма межпредсердной перегородки. Недостаточность митрального клапана I–II степени. Осложнения основного диагноза: вторичная лёгочная гипертензия. ХСН II А, 2-й функциональный класс (NYHA). Тромбоз верхней полой вены с организацией коллатерального кровотока.
К лечению добавлен апиксабан 5 мг 2 раза в сутки.
Прогноз
Электрод-ассоциированный синдром ВПВ (СВПВ) относится к благоприятным типам данного синдрома и возникает примерно в 1% случаев среди лиц, которым было установлено электронное устройство с трансвенозным электродом. В настоящее время оптимальные протоколы ведения пациентов с электрод-ассоциированным СВПВ не разработаны. Применение антикоагулянтов (в том числе пероральных прямых ингибиторов факторов свёртывания) признано основой лечения. Если они не обеспечивают разрешение симптоматики СВПВ, рассматривается баллонная венопластика, оценивается целесообразность стентирования. Если электрод не извлекался или был имплантирован повторно внутривенно, антикоагулянтная терапия должна быть пожизненной [2], что очевидно и для нашей пациентки. К основным вопросам, которые приходится решать, относятся два: 1) какой тип сосудистого вмешательства необходим; 2) есть ли необходимость реимплантировать электрод и каким образом? [3]. Хотя удаление электрода настоятельно рекомендуется, оно не всегда технически возможно, особенно если он установлен давно, как, например, в описываемом нами случае. Поэтому венопластика без удаления электрода применяется часто и обеспечивает проходимость вены на уровне 73% в течение 2 лет [4]. Опыт лечения электрод-ассоциированного СВПВ систематизирован лишь на небольших группах пациентов. Например, сообщается о 17 подобных случаях. Наиболее часто (в 13 из них) выполнялась транслюминальная экстракция электрода с последующей баллонной венопластикой, ещё в 3 случаях выполнялась только венопластика, и у 1 пациента — хирургическая реконструкция ВПВ. В течение последующих 12 месяцев возвращения симптоматики не отмечалось ни в одном случае [5]. Хотя процедура стентирования вены довольно редко сопровождается ретромбозом, возможны и другие осложнения, среди которых — транслокация, поломка стента, его инфицирование [6].
ОБСУЖДЕНИЕ
Электрокардиостимуляторы, имплантируемые кардиовертеры-дефибрилляторы, устройства для сердечной ресинхронизирующей терапии и устройства для модуляции сердечных сокращений — сердечно-сосудистые имплантируемые электронные устройства (СИЭУ) применяются для лечения пациентов с нарушениями ритма с 1957 года. Сегодня в мире ежегодно имплантируется более полутора миллионов СИЭУ. В Российской Федерации с 2007 г. число операций возросло почти в 2 раза, в последнее время имплантируется около 43 тыс. ЭКС и 2,5 тыс. ИКД ежегодно [7, 8]. Потребность в имплантации неуклонно растёт, что связано с увеличением продолжительности жизни и старением населения.
Считается, что патогенез венозной обструкции, связанной с имплантацией сердечного устройства, обусловлен повреждением эндотелия во время имплантации электродов, длительным нахождением инородного материала в кровотоке и сменой ламинарного кровотока на турбулентный, что способствует высвобождению протромбогенных факторов, образованию и организации тромбов с последующим чрезмерным отложением фибрина, что в конечном итоге приводит к венозному стенозу или окклюзии [8]. Кроме того, данная группа пациентов часто изначально склонна к гиперкоагуляции из-за ХСН, которая также наблюдалась в обсуждаемом случае.
Наиболее часто у данной группы пациентов встречается тромбоз глубоких вен верхних конечностей. Гораздо реже, в 0,2–3,3% случаев, — СВПВ.
СВПВ представляет собой совокупность клинических признаков и симптомов, возникающих в результате частичной или полной обструкции кровотока. СВПВ впервые был описан W. Hunter в 1757 году у больного с большой сифилитической аневризмой, и долгое время его этиологией были инфекционные заболевания (сифилис, туберкулёз). В 1970–1980 гг. наиболее частой причиной стали злокачественные новообразования (78–93% всех случаев) [9].
В настоящее время тромбоз ВПВ также развивается у 1–28% пациентов с интрасосудистыми устройствами, постоянными венозными катетерами у лиц на гемодиализе, полихимиотерапии и, в частности, у 0,2–3,3% пациентов с СИЭУ, и его частота ежегодно растёт [10]. Возникает синдром ВПВ в сроки от 2 дней до 33 лет с момента имплантации [11].
Появление или резкое усугубление симптоматики СВПВ следует отличать от недавно внедрённого в клиническую практику симптома, получившего название «бендопноэ» (от англ. bend — «сгибать»), что объясняет одышку, возникающую в течение 30 секунд, когда пациент из положения сидя нагибается вниз, дотрагиваясь руками до подъёма стопы (имитируя завязывание шнурков), без прерывания дыхания. Критерием бендопноэ считается одышка, возникающая в течение 30 секунд после наклона. Симптом наблюдается у 1/3 пациентов с выраженной ХСН, обусловленной низкой ФВ ЛЖ, и связан с увеличением давления наполнения желудочков сердца, особенно в условиях низкого сердечного индекса. Бендопноэ часто встречается у лиц с ХСН (от 18 до 49%), в том числе у пациентов в первичном звене здравоохранения, госпитализированных для подтверждения диагноза, или пациентов, госпитализированных по поводу обострения ХСН [12]. В обсуждаемом случае симптоматика, усиливающаяся при наклонах, долгое время объяснялась проявлениями ХСН, задержкой жидкости, застойными явлениями. Позже она приобрела специфичность в виде отёка лица, головных болей, затруднения носового дыхания, что было поводом к обращению к оториноларингологу и неврологу.
Рис. 5. Коллатеральное кровообращение при тромбозе верхней полой вены выше уровня отхождения непарной вены с вовлечением плечеголовных вен (рисунок создан автором статьи с использованием приложения Inkscape).
Fig. 5. Collateral circulation in SVC thrombosis above the level of the branch of the unpaired vein with involvement of brachial veins (picture created by the author articles using the Inkscape application).
Обструкция ВПВ может возникать на разных уровнях. Наиболее распространённым ориентиром, используемым для описания положения, является непарная вена. Блокады кровотока могут быть проксимальными, дистальными или на уровне непарной вены. При обструкции выше непарной вены кровь всё ещё может возвращаться в ВПВ и, в конечном счёте, в сердце через непарную вену. Коллатерали между межрёберными и непарной венами поддерживают кровоток в ВПВ (рис. 5, 6).
Рис. 6. Коллатеральное кровообращение при тромбозе верхней полой вены выше уровня отхождения непарной вены без вовлечения плечеголовных вен (рисунок создан автором статьи с использованием приложения Inkscape).
Fig. 6. Collateral circulation in SVC thrombosis above the level of branching of the unpaired vein without involvement of brachial veins (picture created by the author articles using the Inkscape application).
С другой стороны, закупорка ниже непарной вены препятствует оттоку крови из ВПВ в правое предсердие. В результате отток из верхней части туловища возможен только через внутренние грудные, межрёберные вены в систему нижней полой вены (НПВ), то есть с ретроградным заполнением правого предсердия (рис. 7).
Рис. 7. Коллатеральное кровообращение при тромбозе верхней полой вены ниже уровня отхождения непарной вены (рисунок создан автором статьи с использованием приложения Inkscape).
Fig. 7. Collateral circulation in SVC thrombosis below the level of origin of the azygos vein (picture created by the author articles using the Inkscape application).
Как и обструкция ниже непарной вены, закупорка на уровне непарной вены обычно сопровождается тяжёлой симптоматикой, поскольку в обоих случаях отсутствует возможность поступления крови через ВПВ, что требует коллатерального ретроградного дренирования через систему НПВ (рис. 8).
Рис. 8. Коллатеральное кровообращение при тромбозе верхней полой вены на уровне отхождения непарной вены (рисунок создан автором статьи с использованием приложения Inkscape).
Fig. 8. Collateral circulation in SVC thrombosis at the level of the branch of the unpaired vein (picture created by the author articles using the Inkscape application).
Помимо уровня обструкции ещё одним фактором, влияющим на симптоматику, является острота обструкции [1].
Уровень и степень стенозирования ВПВ определяют разнообразную клиническую картину, которая может быть как лёгкой (небольшой отёк лица и верхних конечностей), так и тяжёлой, вплоть до развития отёка гортани, языка, экзофтальма, судорог. Нарастание симптоматики обструкции ВПВ зависит от скорости, с которой происходят полная обструкция ВПВ и одновременное рекрутирование венозных коллатералей. У нашей пациентки симптомы развивались в течение 2 лет, что свидетельствует в пользу относительно доброкачественной этиологии, в отличие от, например, опухолевого поражения, когда скорость роста опухоли не даёт достаточного времени для развития коллатерального кровотока.
Наиболее ярко проявляет себя острое течение СВПВ, когда у больных могут выявляться отёк шеи (82–100%), одышка (54–83%), отёк верхних конечностей и/или верхней половины тела (38–75%), отёк лица (48–82%), боль в груди (15%), кашель (22–58%), расширение подкожных вен груди (38%), расширение яремных вен (27%), потеря веса (10–31%), парез диафрагмального нерва (16%), цианоз кожных покровов (13%), дисфагия (10–13%). Хроническое же течение синдрома малосимптоматично или даже бессимптомно в связи с развитием венозных коллатералей [13, 14].
В диагностике СВПВ решающее значение имеет инструментальное обследование — КТ или магнитнорезонансная томография (МРТ) (при наличии МРТ-совместимого СИЭУ) органов грудной клетки. При рентгенографии органов грудной клетки можно обнаружить расширение верхнего средостения, преимущественно вправо, и плевральный выпот [15]. Классической ультразвуковой диагностике ВПВ недоступна, так как скрыта грудиной и грудинными концами рёбер. Чрес-пищеводное ультразвуковое исследование, напротив, позволяет оценить состояние ВПВ, а также правых отделов сердца [16]. Наибольшей точностью и информативностью обладает рентгеноконтрастная венография, во время которой можно оценить коллатеральное кровообращение, что наглядно демонстрирует представленный случай.
Лечение синдрома ВПВ определяется тяжестью состояния пациента и давностью заболевания. Оставленный без внимания тромботический процесс способен распространиться на правые отделы сердца и нижнюю полую вену, что, безусловно, повышает риск неблагоприятного исхода. Консервативная терапия включает приём антикоагулянтов. Однако она зачастую не способна в полной мере устранить хронически протекающий синдром и препятствовать его рецидивированию. Хирургическое лечение состоит в эндоваскулярной экстракции электрода, тромболизисе и восстановлении просвета ВПВ с применением венопластики, стентирования или эндопротезирования.
ЗАКЛЮЧЕНИЕ
Приведённый случай демонстрирует достаточно редкое проявление синдрома ВПВ как осложнения после имплантации кардиовертера-дефибриллятора. Учитывая сходство с недавно внедрённым в клиническую практику симптомом бендопноэ, СВПВ должен быть частью дифференциально-диагностического поиска для врачей различных специальностей, особенно при сопутствующей ХСН.
Показано, что сопутствующая коморбидность и отсутствие специфичных жалоб, невнимание к признакам венозного застоя в системе верхней полой вены затрудняют диагностику врачом первого контакта, заставляя привлекать отоларингологов, невропатологов, врачей других специальностей. Также продемонстрировано верифицирующее значение методов контрастной венографии или мультиспиральной компьютерной томографии с учётом их высокой информативности и доступности. Таким образом, представленное клиническое наблюдение будет способствовать настороженности у врачей амбулаторного звена в отношении возможности обструкции верхней полой вены, в том числе у пациентов с имплантированным кардиовертером-дефибриллятором.
ДОПОЛНИТЕЛЬНАЯ ИНФОРМАЦИЯ
Вклад авторов. Е.В. Паранина — анализ и интерпретация фактических данных, разработка концепции статьи, написание рукописи и редактирование; П.А. Лебедев — редактирование и написание рукописи, утверждение текста статьи; А.В. Якунина — получение фактических данных, общение с пациенткой; М.А. Елизаров — получение фактических данных; П.О. Паранин — анализ данных литературы, создание рисунков.
Источник финансирования. Исследование не имело спонсорской поддержки.
Конфликт интересов. Авторы заявляют об отсутствии конфликта интересов.
Информированное согласие на публикацию. Пациенткой была подписана форма добровольного информированного согласия на публикацию персональной медицинской информации в обезличенной форме в журнале «CardioСоматика» (дата подписания 17.05.2023).
ADDITIONAL INFORMATION
Author contribution. E.V. Paranina — analysis and interpretation of evidence, conceptualization of the article, manuscript writing and editing; P.A. Lebedev — editing and manuscript writing, approval of the article text; A.V. Yakunina — obtaining evidence, communication with the patient; M.A. Elizarov — obtaining evidence; P.O. Paranin — literature data analysis, creating drawings.
Funding source. The study had no sponsorship.
Competing interests. The authors declare that they have no competing interests.
Consent for publication. Written consent was obtained from the patient for publication of personal medical information in anonymized form in the journal “CardioSomatics” (signing date 17.05.2023).
About the authors
Elena V. Paranina
Samara State Medical University
Author for correspondence.
Email: eles77@list.ru
ORCID iD: 0000-0001-7021-4061
SPIN-code: 9256-8661
Scopus Author ID: 57219265314
MD, Cand. Sci. (Medicine), associate professor
Russian Federation, 159 Tashkentskaya str., 443095 SamaraPetr A. Lebedev
Samara State Medical University
Email: palebedev@yahoo.com
ORCID iD: 0000-0003-3501-2354
SPIN-code: 8085-3904
Scopus Author ID: 57198363733
MD, Dr. Sci. (Medicine), professor
Russian Federation, 159 Tashkentskaya str., 443095 SamaraAlbina V. Yakunina
Samara State Medical University
Email: a.v.yakunina@samsmu.ru
ORCID iD: 0000-0002-7996-5213
SPIN-code: 3477-8758
MD, Cand. Sci. (Medicine), associate professor
Russian Federation, 159 Tashkentskaya str., 443095 SamaraMaxim A. Elizarov
Samara State Medical University
Email: maksim.elizarov@mail.ru
ORCID iD: 0000-0002-0520-7268
MD
Russian Federation, 159 Tashkentskaya str., 443095 SamaraPavel O. Paranin
Samara State Medical University
Email: paranin.po@mail.ru
ORCID iD: 0009-0000-3990-8241
SPIN-code: 2902-7646
MD
Russian Federation, 159 Tashkentskaya str., 443095 SamaraReferences
- Shah RP, Bolaji O, Duhan S, et al. Superior Vena Cava Syndrome: An umbrella Review. Cureus. 2023;15(7):e42227. doi: 10.7759/cureus.42227
- Zimetbaum P, Carroll BJ, Locke AH, et al. Lead-related venous obstruction in patients with implanted cardiac devices: JACC Review Topic of the Week. J Am Coll Cardiol. 2022;79(3):299–308. doi: 10.1016/j.jacc.2021.11.017
- Locke AH, Shim DJ, Burr J, et al. Lead-associated Superior Vena Cava Syndrome. J Innov Card Rhythm Manag. 2021;12(4):4459–4465. doi: 10.19102/icrm.2021.120404
- Asif A, Salman L, Carrillo RG, et al. Patency rates for angioplasty in the treatment of pacemaker-induced central venous stenosis in hemodialysis patients: results of a multi-center study. Semin Dial. 2009;22(6):671–676. doi: 10.1111/j.1525-139X.2009.00636.x
- Arora Y, Carrillo RG. Lead-related superior vena cava syndrome: Management and outcomes. Heart Rhythm. 2021;18(2):207–214. doi: 10.1016/j.hrthm.2020.09.006
- Haddad MM, Simmons B, McPhail IR, et al. Comparison of covered versus uncovered stents for benign Superior Vena Cava (SVC) obstruction. Cardiovasc Intervent Radiol. 2018;41(5):712–717. doi: 10.1007/s00270-018-1906-3
- Mond HG, Proclemer A. The 11th world survey of cardiac pacing and implantable cardioverter-defibrillators: calendar year 2009 — a World Society of Arrhythmia’s project. Pacing Clin Electrophysiol. 2011;34(8):1013–1027. doi: 10.1111/j.1540-8159.2011.03150.x
- Raatikainen MJP, Arnar DO, Merkely B, et al. Decade of information on the use of cardiac implantable electronic devices and interventional electrophysiological procedures in the european society of cardiology countries: 2017 Report from the European Heart Rhythm Association. Europace. 2017;19(suppl 2):1–90. doi: 10.1093/europace/eux258
- Chen JC, Bongard F, Klein SR. A contemporary perspective on superior vena cava syndrome. Am J Surg. 1990;160:207–211. doi: 10.1016/s0002-9610(05)80308-3
- Barakat K, Robinson NM, Spurrell RA. Transvenous pacing lead-induced thrombosis: a series of cases with a review of the literature. Cardiology. 2000;9(3):142–148. doi: 10.1159/000007018
- Kokotsakis J, Chaudhry UA, Tassopoulos D, et al. Surgical management of superior vena cava syndrome following pacemaker lead infection: a case report and review of the literature. J Cardiothorac Surg. 2014;9:107. doi: 10.1186/1749-8090-9-107
- Thibodeau JT, Drazner MH. The role of the clinical examination in patients with heart failure. JACC Heart Fail. 2018;6(7):543–551. doi: 10.1016/j.jchf.2018.04.005
- Mineo TC, Ambrogi V, Nofroni I, et al. Mediastinoscopy in superior vena cava obstruction: analysis of 80 consecutive patients. Ann Thorac Surg. 1999;68:223–226. doi: 10.1016/s0003-4975(99)00455-5
- Righini M, Aujesky D, Roy P, et al. Clinical usefulness of D-dimer depending on clinical probability and cutoff value in outpatients with suspected pulmonary embolism. Arch Intern Med. 2004;164(22):2483–2487. doi: 10.1001/archinte.164.22.2483
- Burduli NM. Superior vena cava syndrome. Klinicheskaya medicina. 2015;93(12):61–63.
- Kim IS, Shin HK, Kang SS, et al. Rescue of hemodynamic compromise in superior vena cava syndrome with transesophageal echocardiography. Korean J Anesthesiol. 2013;65(3):273–275. doi: 10.4097/kjae.2013.65.3.273
Supplementary files











