Takotsubo syndrome with transient obstruction of the left ventricle outflow tract: A case report
- Authors: Maznev D.S.1, Evdokimov D.S.1, Evdokimova E.D.1
-
Affiliations:
- North-Western State Medical University named after I.I. Mechnikov
- Issue: Vol 15, No 3 (2024)
- Pages: 254-263
- Section: Case reports
- Submitted: 06.05.2024
- Accepted: 19.08.2024
- Published: 15.11.2024
- URL: https://cardiosomatics.ru/2221-7185/article/view/631709
- DOI: https://doi.org/10.17816/CS631709
- ID: 631709
Cite item
Full Text
Abstract
BACKGROUND: Modern data have expanded our understanding of the pathogenetic mechanisms and clinical and laboratory findings in a patient with Takotsubo syndrome (TS). Nonetheless, its timely diagnosis and treatment remain challenging. All patients are initially treated according to the acute coronary syndrome protocol, with a "working" diagnosis of myocardial infarction without an obstructive lesion in the coronary arteries. However, the treatment of in-hospital complications of TS has its limitations and specific features.
CLINICAL CASE DESCRIPTION: Herein, we have reported a case of TS that presented with the classic apical ballooning of the left ventricular apex, which had developed without an obvious stress factor, which is quite rare. The disease was complicated by the development of cardiogenic shock (CGS) and transient obstruction of the left ventricular outflow tract (LVOTO), which reportedly occurs in about 25% of the patients. CGS in patients with TS is a life-threatening complication and a challenging therapeutic problem, especially when it is also associated with a dynamic LVOTO. In such conditions, the only therapeutic option is mechanical circulatory support. However, in our patient, low doses of dobutamine were used to stabilize the patient’s hemodynamics. This treated produced a good therapeutic effect.
CONCLUSION: Our case report findings emphasize the need for further research into the mechanisms of LVOTO development in TS, as well as the development of standardized approaches for the treatment of such patients in the acute phase of the disease.
Full Text
ОБОСНОВАНИЕ
Синдром такоцубо (СТ) представляет собой острую обратимую сердечную недостаточность с транзиторной дисфункцией левого желудочка (ЛЖ), которая, по клиническим данным и результатам лабораторноинструментальных методов обследования, напоминает острый коронарный синдром (ОКС), преимущественно с элевацией сегмента ST [1].
Как известно, у большинства пациентов триггером для развития СТ является стресс, возникающий на фоне отрицательных или положительных эмоциональных реакций на различные жизненные ситуации, однако, по данным литературы, в 11–28% случаев не удаётся установить тот или иной пусковой фактор, вызвавший развитие заболевания [1, 2].
Осложнения в остром периоде СТ развиваются не столь редко, как считалось долгое время [1]. Согласно данным литературы, такие потенциально жизнеугрожающие осложнения, как острая сердечная недостаточность (ОСН), кардиогенный шок (КШ), нарушения ритма и проводимости, в острый период СТ описаны в 20,4–45% случаев [3], а уровень госпитальной летальности колеблется от 1 до 8,7% [3, 4]. Кардиогенный шок при СТ развивается у 6–20% пациентов [3] и повышает вероятность госпитальной смертности в шесть и более раз [5]. Развитие КШ при СТ связано с транзиторной систолической дисфункцией ЛЖ, возникновением в ряде случаев динамической обструкции выходного тракта ЛЖ (ОВТЛЖ) и тяжёлой митральной регургитации, а также с комбинацией этих факторов [5, 6]. Транзиторная ОВТЛЖ, по данным литературы, встречается у 7–25% пациентов с СТ [7–9]. Обструкция выходного тракта ЛЖ определяется при градиенте >30 мм рт. ст. и обычно считается гемодинамически значимой, если градиент превышает 50 мм рт. ст. [9].
В данной работе представлен клинический случай СТ с классическим апикальным баллонированием верхушки левого желудочка, развившегося без явного стрессорного фактора, что встречается довольно редко, осложнившегося развитием кардиогенного шока и транзиторной ОВТЛЖ.
ОПИСАНИЕ КЛИНИЧЕСКОГО СЛУЧАЯ
Пациентка Ч., 76 лет, поступила в экстренном порядке в приёмный покой клиники с диагнозом «ишемическая болезнь сердца, острый коронарный синдром с подъёмом сегмента ST от 10.02.2024 г., осложнённый развитием кардиогенного шока». На момент поступления сбор жалоб и анамнеза был невозможен по причине тяжести состояния больной, однако со слов бригады скорой помощи стало известно, что у пациентки в магазине ориентировочно в 11:30 внезапно появились жалобы на резкую слабость, тошноту, чувство нехватки воздуха, потемнение в глазах, интенсивную сжимающую боль за грудиной без иррадиации. Скорую помощь вызвали сотрудники магазина.
Физикальная диагностика
На момент осмотра бригадой скорой помощи сознание больной было спутанное, артериальное давление 70/45 мм рт. ст., пульс ритмичный, 100 уд/мин, сатурация 96%. Была начата интенсивная терапия, и пациентку транспортировали в ближайший городской стационар. На момент поступления в приёмный покой пациентка находилась в крайне тяжёлом состоянии, заторможена, кожный покров и видимые слизистые чистые, отмечался акроцианоз. Отёков нет. Артериальное давление 100/60 мм рт. ст. на обеих руках на фоне инотропной поддержки дофамином 5 мкг/мл/ч. Пульс 92 уд/мин, ритмичный. Тоны сердца глухие, ритмичные, аускультативно на аортальном клапане выслушивается систолический шум. Частота дыхательных движений 22/мин, дыхание жёсткое, хрипов нет. В остальном при осмотре особенностей выявлено не было.
На электрокардиограмме (ЭКГ) при поступлении: синусовый ритм с частотой 92/мин, одиночные желудочковые экстрасистолы, неполная блокада правой ножки пучка Гиса, элевация сегмента ST в отведениях V2–V4 (рис. 1).
Рис. 1. Электрокардиограмма при поступлении.
Fig. 1. ECG on admission.
Диагноз
Диагноз ОКС был подтверждён, поэтому пациентка сразу была транспортирована в рентгенохирургическую операционную для выполнения коронарографии (КАГ).
По данным КАГ (рис. 2) в передней межжелудочковой артерии был выявлен мышечный мост в дистальной трети, стенозирующий артерию в диастолу до субокклюзии, остальные артерии без значимых изменений.
Рис. 2. Результат коронарографии. Стрелка слева внизу указывает на место мышечного мостика.
Примечание. ЛКА — левая коронарная артерия, ПМЖА — передняя межжелудочковая артерия, ПКА — правая коронарная артерия.
Fig. 2. Coronary angiography result. The arrow at the bottom left indicates the place of the muscular bridge.
Note. ЛКА — left coronary artery, ПМЖА — anterior interventricular artery, ПКА — right coronary artery.
Динамика и исходы
Учитывая несоответствие между клиническим состоянием пациентки и данными КАГ, была одномоментно выполнена вентрикулография: акинезия всех верхушечных сегментов ЛЖ. По окончании КАГ пациентка была направлена в отделение реанимации и интенсивной терапии для дальнейшего дообследования и интенсивной терапии. В день поступления была выполнена эхокардиография (ЭхоКГ): фракция выброса левого желудочка (ФВ ЛЖ) — 40%, толщина задней стенки (ЗС) ЛЖ — 17 мм, толщина межжелудочковой перегородки (МЖП) — 18 мм, акинезия всех верхушечных сегментов ЛЖ с баллонированием верхушки, передне-систолическое движение створки митрального клапана, митральная регургитация II ст., максимальный градиент на выходном тракте ЛЖ — 185 мм рт. ст. (рис. 3, 4).
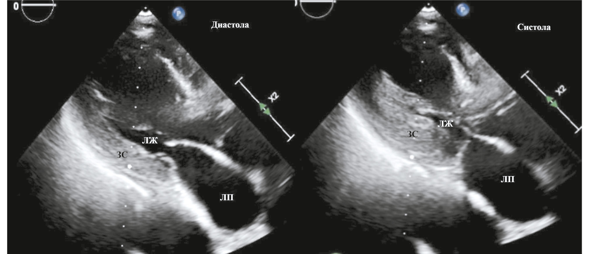
Рис. 3. Эхокардиография при поступлении (слева — диастола левого желудочка, справа — систола).
Примечание. ЛЖ — левый желудочек, ЛП — левое предсердие, ЗС — задняя стенка левого желудочка.
Fig. 3. Echocardiography upon admission (left — left ventricular diastole, right — systole).
Note. ЛЖ — left ventricle, ЛП — left atrium, ЗС — posterior wall of the left ventricle.
Рис. 4. Эхокардиография при поступлении: градиент на выходном тракте левого желудочка.
Fig. 4. Echocardiography on admission: left ventricular outflow tract gradient.
К моменту окончания ЭхоКГ-исследования были получены результаты лабораторного исследования. В клиническом анализе крови — незначительное повышение уровня лейкоцитов до 9,09×109/л (норма — 4–9×109/л), нейтрофилов до 6,52×109/л (норма — 2–5,5×109/л), в остальном всё в пределах референсных значений. В биохимическом анализе крови был несколько повышен уровень аспартатаминотрансферазы до 67 (норма — 5–34 Ед/л), аланинаминотрансферазы до 59 (норма — 0–55 Ед/л), мочевины до 15,1 (норма — 2,5–7,2 ммоль/л), креатинина до 119 (норма — 50–98 мкмоль/л) и отмечалось соответствующее снижение расчётной скорости клубочковой фильтрации, рассчитанной по формуле CKD-EPI, до 38,17 мл/мин/1,73м2, а уровень общего холестерина составил 4,07 ммоль/л. Нормализация показателей наступила к девятому дню госпитализации. В динамике на фоне терапии, по данным липидограммы от 19.02, уровень общего холестерина составил 2,85 ммоль/л, липопротеидов низкой плотности — 1,39 ммоль/л, липопротеидов высокой плотности — 1 ммоль/л, триглицеридов — 0,94 ммоль/л. В общем анализе мочи и коагулограмме клинически значимых изменений не наблюдалось. Уровень тропонина I от 10.02 — 15918,8 (норма — 0–26 пг/мл).
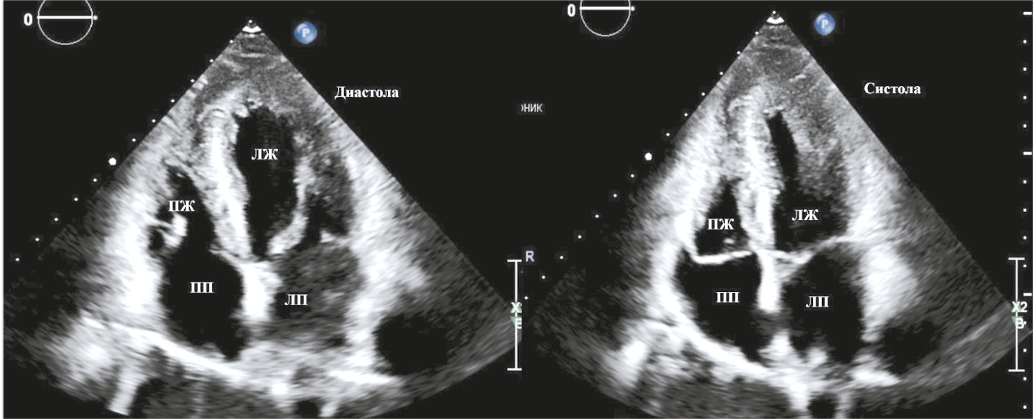
Рис. 5. Эхокардиография на десятые сутки госпитализации (слева — диастола левого желудочка, справа — систола).
Примечание. ЛЖ — левый желудочек, ЛП — левое предсердие, ПЖ — правый желудочек, ПП — правое предсердие.
Fig. 5. Echocardiography on the 10th day of hospitalization (left — left ventricular diastole, right — systole).
Note. ЛЖ — left ventricle, ЛП — left atrium, ПЖ — right ventricle, ПП — right atrium.
По данным рентгенографии органов грудной клетки патологических изменений выявлено не было. Учитывая результат КАГ, данные ЭхоКГ и полученные лабораторные показатели, состояние было расценено как ишемическая болезнь сердца, острый инфаркт миокарда 2-го типа в области верхушки ЛЖ от 10.02.2024 г., гипертрофическая кардиомиопатия с ОВТЛЖ.
На фоне проводимого лечения в отделении кардиореанимации КШ купирован, гемодинамика стабилизирована ко вторым суткам госпитализации, и пациентка была переведена в отделение кардиологии для дообследования и подбора оптимальной терапии.
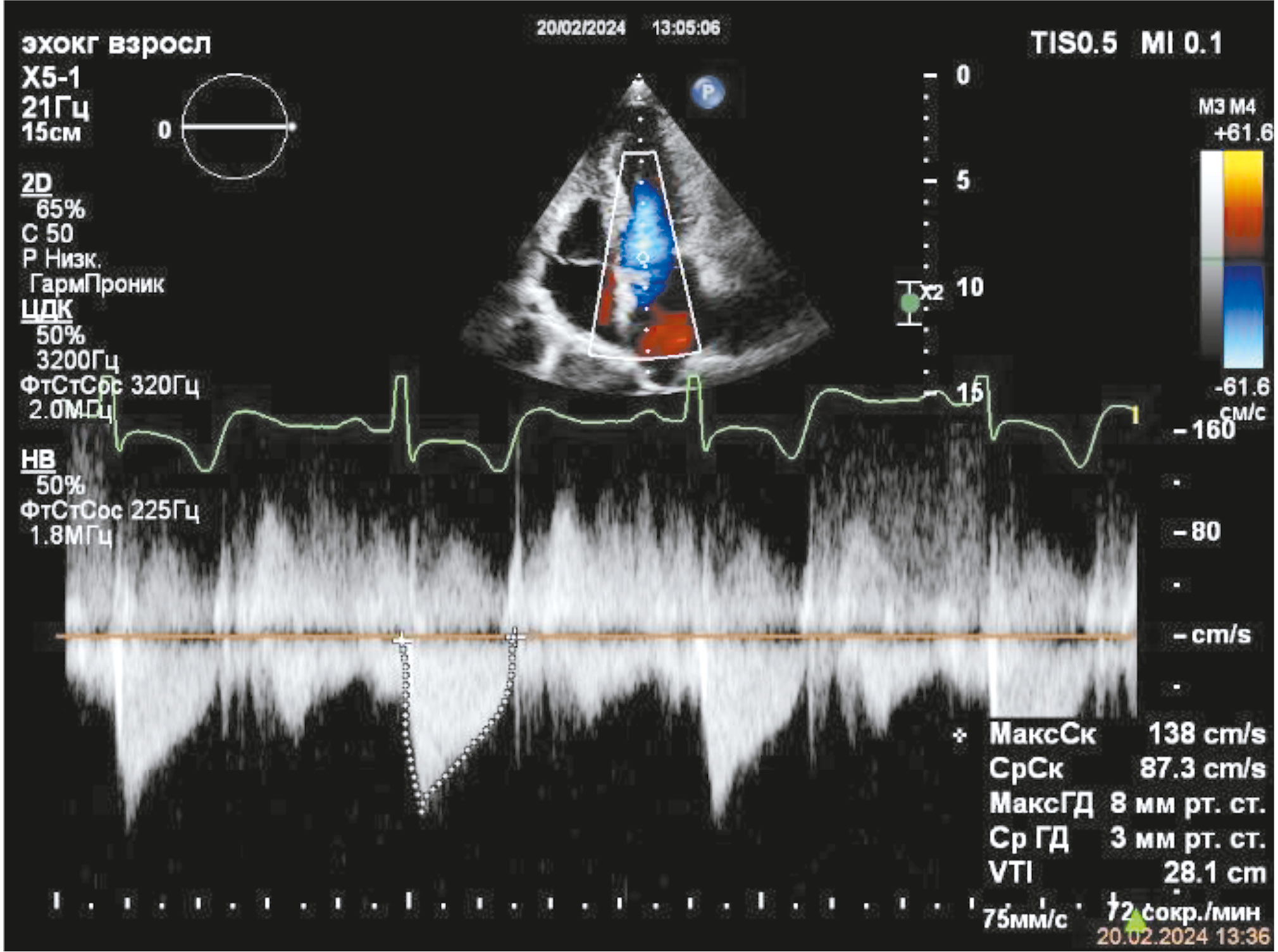
Рис. 6. Эхокардиография на десятые сутки госпитализации: градиент на выходном тракте левого желудочка.
Fig. 6. Echocardiography on the 10th day of hospitalization: gradient along the left ventricular outflow tract.
При дополнительном расспросе стало известно, что наследственность не отягощена, вредные привычки пациентка отрицала, сопутствующие заболевания, ранее перенесённые травмы и операции, постоянную терапию отрицала, аллергоанамнез и эпиданамнез спокойные. В гинекологическом анамнезе два кесарева сечения без осложнений, аллергологический анамнез спокойный, эпидемиологический — без особенностей. Ранее повышение АД выше 130/80 мм рт. ст. отрицает, переносимость привычных физических нагрузок была удовлетворительной, боль в грудной клетке и чувство нехватки воздуха 10.02.24 г. возникли впервые.
Рис. 7. Эхокардиография на десятые сутки госпитализации: показатели глобальной деформации левого желудочка.
Fig. 7. Echocardiography on the 10th day of hospitalization: indicators of global left ventricular strain.
В отделении кардиологии пациентка получала эналаприл 5 мг в сутки, бисопролол 2,5 мг в сутки, амлодипин 2,5 мг в сутки, спиронолактон 25 мг в сутки, аспирин+клопидогрел, аторвастатин 80 мг в сутки, омепразол 20 мг в сутки, также были выполнены дообследования. По данным ЭхоКГ в динамике от 12.02: ФВ ЛЖ 46%, толщина МЖП 14,5 мм, толщина ЗС ЛЖ 14,5 мм, ЛЖ асимметрично гипертрофирован, на фоне пробы Вальсальвы признаки динамической ОВТЛЖ с умеренным ростом градиентов (Vmax — 3,5 м/с, dPmax — 48 мм рт. ст.), акинезия всех верхушечных сегментов и срединного сегмента МЖП. При этом при выполнении третьего ЭхоКГ-исследования на десятые сутки госпитализации (рис. 5–7) зон нарушения локальной сократимости выявлено не было, ФВ ЛЖ выросла до 61%, глобальная деформация ЛЖ снижена до -16%, МЖП — 15 мм, ЗС ЛЖ — 13–15 мм, передне-систолического движения створки митрального клапана не отмечалось, так же как и признаков ОВТЛЖ.
Рис. 8. Плановая электрокардиограмма в динамике от 14.02.
Fig. 8. Scheduled electrocardiogram in dynamics from 14.02.
На плановой ЭКГ в динамике от 14.02 (рис. 8) — ритм синусовый с частотой сердечных сокращений 76 уд/мин, острая стадия Q-инфаркта миокарда передней и боковой стенки ЛЖ, закономерная динамика (выраженная фрагментация комплекса QRS, снижение вольтажа зубца R в отведениях V5–V6, II, III, avF, комплекс по типу QS в отведениях V2–V4), удлинение корригированного интервала QT до 490 мс.
Динамика тропонина I была следующей: 15918,8 (от 10.02) → 6797,3 (от 12.02) → 2795,3 (от 13.02) → 93,1 (от 19.02) (норма — 0–26 пг/мл).
По данным ультразвукового исследования брахиоцефальных артерий от 22.02 были выявлены диффузные атеросклеротические изменения, стеноз правой общей сонной артерии — 61% по площади, правой внутренней сонной артерии — 45–50% по площади и 35–40% по диаметру, левой общей сонной артерии — 35–40% по площади, левой внутренней сонной артерии — 45% по диаметру. Суточное мониторирование ЭКГ от 22.02 не выявило значимых нарушений ритма и проводимости, за всё время наблюдения регистрировался синусовый ритм со средней частотой сокращения сердца 72/мин.
Таким образом, учитывая клиническую картину (чувство нехватки воздуха, внезапно возникшая сжимающая боль за грудиной), данные ЭКГ (элевация сегмента ST в отведениях V2–V4, удлинение корригированного интервала QT до 490 мс), результат КАГ (отсутствие значимого поражения коронарных артерий), обратимость дисфункции ЛЖ по ЭхоКГ (исходно ФВ ЛЖ — 40%, ЗС ЛЖ — 17 мм, МЖП — 18 мм, акинезия всех верхушечных сегментов ЛЖ с баллонированием верхушки, передне-систолическое движение митрального клапана, максимальный градиент ВТЛЖ 186 мм рт. ст. → на десятые сутки ФВ 61%, отсутствие зон нарушения локальной сократимости и отсутствие ОВТЛЖ), диагнозы «инфаркт миокарда 2-го типа» и «гипертрофическая кардиомиопатия» были сняты, ухудшение состояния пациентки было обусловлено развитием синдрома такоцубо с транзиторной ОВТЛЖ от 10.02.24 г., осложнённого развитием кардиогенного шока.
На фоне расширения двигательного режима в пределах кардиологического отделения ангинозные боли не рецидивировали, АД 120/70 мм рт. ст., явлений сердечной и дыхательной недостаточности не отмечалось. При выписке пациентке была рекомендована следующая терапия: Тромбо АСС 100 мг, бисопролол 5 мг утром, эналаприл по 10 мг два раза в сутки, верошпирон 25 мг, пантопразол 20 мг в день в течение месяца, амлодипин 5 мг вечером, аторвастатин 20 мг в сутки.
Прогноз
После перенесённого СТ прогноз у пациентов не столь благоприятный, как считалось ранее [3]. Отдалённая летальность лиц, перенёсших СТ, по данным литературы, составляет 5,6% в год, частота основных сердечно-сосудистых осложнений за этот период — 9,9%, а рецидив заболевания в сроки от 1 до 5 лет развивается у 4,7–11,4% больных [3]. В целом у пациентов с СТ отдалённые результаты сопоставимы с таковыми у лиц, перенёсших ОКС, соответствующего возраста и пола [3].
ОБСУЖДЕНИЕ
Кардиогенный шок у пациентов с СТ представляет собой жизнеугрожающее осложнение и серьёзную терапевтическую проблему, особенно когда КШ сочетается с наличием динамической ОВТЛЖ [6]. К примеру, в исследовании R. Citro и соавт. 2014 года, в котором проводился анализ течения СТ у 227 пациентов, была выявлена взаимосвязь между наличием ОВТЛЖ и риском развития ОСН, КШ и внутрибольничной смерти [10].
Несмотря на то, что ОВТЛЖ при СТ, по некоторым данным, возникает примерно у четверти пациентов, механизм её развития до конца не ясен. Предполагается, что при развитии транзиторной апикальной а-/дискинезии верхушки ЛЖ вследствие влияния на миокард избыточного уровня катехоламинов и компенсаторного базального гиперкинеза возникает изменение геометрии ЛЖ, приводящее к эффекту сужения ВТЛЖ в середине и конце систолы, ускорению кровотока через ВТЛЖ, способствующим возникновению эффекта Вентури и передне-систолическому движению створок митрального клапана, что, в свою очередь, способствует развитию ОВТЛЖ [7, 11].
Согласно данным литературы, факторами риска развития ОВТЛЖ при СТ являются пожилой возраст, наличие артериальной гипертензии, ранее существовавшей сигмовидной МЖП и передне-систолического движения створок митрального клапана [8]. Интересные данные представлены в работе M.V. Sherrid с соавт. 2020 года [12], авторы которой обследовали 44 пациента с СТ и ОВТЛЖ и обнаружили, что такие морфологические особенности, характерные для гипертрофической кардиомиопатии, как утолщение МЖП, удлинённая передняя створка митрального клапана и увеличение расстояния коаптации митрального клапана к задней стенке ЛЖ, наблюдались у анализируемых лиц до развития СТ. На основании этих результатов было высказано предположение, что СТ с ОВТЛЖ может представлять собой клинический фенотип гипертрофической кардиомиопатии с динамической обструкцией ЛЖ вследствие стресса [12].
В представленном случае оценить наличие выше-указанных изменений до развития СТ не представляется возможным ввиду отсутствия результатов исследования. Однако, несмотря на то, что к десятым суткам госпитализации сократимость ЛЖ восстановилась и отсутствовала ОВТЛЖ, толщина МЖП и ЗС ЛЖ составляла 15 мм, при том, что, со слов пациентки, ранее она не отмечала повышение АД более 130/80 мм рт. ст. Помимо того, что у пациентки выявлено утолщение стенок ЛЖ при отсутствии явных на то причин, она ещё и относилась к довольно пожилой когорте больных, а как указывалось выше, это также является фактором риска развития ОВТЛЖ при СТ.
Помимо изменения гемодинамики при сочетании СТ и ОВТЛЖ неблагоприятное течение заболевания, вероятно, связано ещё и с тем, что из-за отсутствия рандомизированных клинических исследований на сегодняшний день не существует установленных рекомендаций по лечению СТ [7], есть лишь данные, основанные на клиническом опыте, и мнения экспертов [6].
Как известно, использование инотропов не рекомендуется при наличии ОВТЛЖ, особенно при СТ. Кроме того, активная инфузионная терапия невозможна при наличии отёка легких, а диуретическая терапия или приём нитратов могут усугубить ОВТЛЖ. Назначение бета-блокаторов также ограничено на фоне КШ, учитывая их гипотензивный и отрицательный инотропный эффект. В таких случаях единственным терапевтическим вариантом остаётся механическая поддержка кровообращения [6].
ЗАКЛЮЧЕНИЕ
В представленном случае для стабилизации гемодинамики у пациентки использовались низкие дозы добутамина, которые не имели неблагоприятного влияния, несмотря на сочетание СТ и ОВТЛЖ, однако объяснения этому в литературе мы не нашли.
Таким образом, можно утверждать, что представленный случай в очередной раз подчёркивает необходимость дальнейшего исследования не только механизмов развития ОВТЛЖ при СТ, но и разработки стандартизированных подходов лечения данных пациентов в остром периоде заболевания.
ДОПОЛНИТЕЛЬНАЯ ИНФОРМАЦИЯ
Вклад авторов. Д.С. Мазнев — разработка концепции статьи, получение и сбор данных, редактирование и написание текста статьи; Д.С. Евдокимов — сбор и обработка материалов, написание текста статьи, обзор литературы; Е.Д. Евдокимова — сбор и обработка материалов, написание текста и оформление статьи.
Источник финансирования. Авторы декларируют отсутствие внешнего финансирования для проведения исследования и публикации статьи.
Конфликт интересов. Авторы декларируют отсутствие явных и потенциальных конфликтов интересов, связанных с публикацией настоящей статьи.
Информированное согласие на публикацию. Авторы получили письменное согласие законных представителей пациента на публикацию медицинских данных от 22.02.24 г.
ADDITIONAL INFORMATION
Authors’ contribution. D.S. Maznev — development of the article concept, obtaining and collecting data, editing and writing the article text; D.S. Evdokimov — collection and processing of materials, writing the article text, literature review; E.D. Evdokimova — collection and processing of materials, writing the text and design of the article.
Funding source. The authors declare that there is no external funding for the exploration and analysis work.
Competing interest. The authors declare that they have no competing interests.
Consent for publication. The authors received the written consent of the patient's legal representatives for the publication of medical data dated 22.02.2024.
About the authors
Dmitrii S. Maznev
North-Western State Medical University named after I.I. Mechnikov
Email: fonmaznev@gmail.com
ORCID iD: 0000-0001-5486-5251
SPIN-code: 7594-1896
MD, Cand. Sci. (Medicine)
Russian Federation, 41 Kirochnaya str., 191015 St. PetersburgDmitrii S. Evdokimov
North-Western State Medical University named after I.I. Mechnikov
Author for correspondence.
Email: kasabian244@gmail.com
ORCID iD: 0000-0002-3107-1691
SPIN-code: 5260-0063
Scopus Author ID: 57216438647
assistant
Russian Federation, 41 Kirochnaya str., 191015 St. PetersburgEkaterina D. Evdokimova
North-Western State Medical University named after I.I. Mechnikov
Email: katerina.resn_7@mail.ru
ORCID iD: 0000-0001-7889-3679
SPIN-code: 7271-3560
Scopus Author ID: 58915110600
student
Russian Federation, 41 Kirochnaya str., 191015 St. PetersburgReferences
- Ghadri JR, Wittstein IS, Prasad A, et al. International expert consensus document on Takotsubo syndrome (Part I): Clinical characteristics, diagnostic criteria, and pathophysiology. Eur Heart J. 2018;39(22):2032–2046. doi: 10.1093/eurheartj/ehy076
- Boldueva SA, Evdokimov DS. Takotsubo cardiomyopathy. Literature review: concept, epidemiology, pathogenesis. Part I. Russian Journal of Cardiology. 2022;27(3S):4993. doi: 10.15829/1560-4071-2022-4993
- Boldueva SA, Evdokimov DS. Takotsubo cardiomyopathy. Literature review: clinical performance, diagnostic algorithm, treatment, prognosis. Part II. Russian Journal of Cardiology. 2022;27(3S):120–128. doi: 10.15829/1560-4071-2022-4994
- Shilova AS, Shmotkina AO, Yafarova AA, Gilyarov MY. Takotsubo Syndrome: Contemporary views on the pathogenesis, prevalence and prognosis. Rational Pharmacotherapy in Cardiology. 2018;14(4):598–604. doi: 10.20996/1819-6446-2018-14-4-598-604
- Methvin L, Liu SD, Dodge SE, Gilstrap LG. Opposing forces of cardiogenic shock: left ventricular outflow obstruction, severe mitral regurgitation, and left ventricular dysfunction in Takotsubo cardiomyopathy. ESC Heart Fail. 2022;9(4):2719–2723. doi: 10.1002/ehf2.13936
- Benak A, Sramko M, Janek B, et al. Successful treatment of cardiogenic shock due to Takotsubo cardiomyopathy with left ventricular outflow tract obstruction and acute mitral regurgitation by impella CP. Cureus. 2022;14(3):e23168. doi: 10.7759/cureus.23168
- Di Vece D, Silverio A, Bellino M, et al. Dynamic left intraventricular obstruction phenotype in Takotsubo syndrome. J Clin Med. 2021;10(15):3235. doi: 10.3390/jcm10153235
- Ratwatte S, Yiannikas J. Case report: A patient with transient sigmoid septum in takotsubo syndrome with left ventricular outflow tract obstruction. J Cardiol Cases. 2021;24(6):272–275. doi: 10.1016/j.jccase.2021.04.020
- Citro R, Bellino M, Merli E, et al. Obstructive hypertrophic cardiomyopathy and Takotsubo syndrome: How to deal with left ventricular ballooning? J Am Heart Assoc. 2023;12(21):e032028. doi: 10.1161/JAHA.123.032028
- Citro R, Rigo F, D’Andrea A, et al. Echocardiographic correlates of acute heart failure, cardiogenic shock, and in-hospital mortality in tako-tsubo cardiomyopathy. JACC Cardiovasc Imaging. 2014;7(2):119–129. doi: 10.1016/j.jcmg.2013.09.020
- Mele M, Pepe M, Maggi A, et al. Reverse takotsubo cardiomyopathy followed by left ventricle outflow tract obstruction: A dangerous relay race. J Cardiol Cases. 2019;20(2):61–64. doi: 10.1016/j.jccase.2019.04.001
- Sherrid MV, Riedy K, Rosenzweig B, et al. Distinctive hypertrophic cardiomyopathy anatomy and obstructive physiology in patients admitted with Takotsubo syndrome. Am J Cardiol. 2020;125(11):1700–1709. doi: 10.1016/j.amjcard.2020.02.013
Supplementary files











