Hodgkin lymphoma as a rare cause of complete atrioventricular block: a case report
- Authors: Pravkina E.A.1, Sinitsyn D.S.1, Vikulova P.S.1, Glukhovets I.B.1, Subbotin S.V.2
-
Affiliations:
- Ryazan State Medical University
- Regional Clinical Cardiology Dispensary
- Issue: Vol 16, No 2 (2025)
- Pages: 176-187
- Section: Case reports
- Submitted: 18.12.2024
- Accepted: 16.06.2025
- Published: 11.08.2025
- URL: https://cardiosomatics.ru/2221-7185/article/view/641936
- DOI: https://doi.org/10.17816/CS641936
- EDN: https://elibrary.ru/XQRANE
- ID: 641936
Cite item
Full Text
Abstract
INTRODUCTION: Complete atrioventricular block is a life-threatening condition that requires urgent intervention and pacemaker implantation. Determining the underlying cause of the block is essential for effective management. This article describes a rare clinical case of third-degree atrioventricular block caused by Hodgkin lymphoma.
Case Description: On January 14, 2023, an 81-year-old female was urgently admitted to a district hospital with dyspnea, generalized weakness, lower extremity edema, cough, and fever. The rhythm on electrocardiography was interpreted as atrial fibrillation, and chest radiography demonstrated pathologic findings. Pneumonia was diagnosed, and treatment with antibiotics, antiarrhythmic agents, and anticoagulants was initiated. During treatment, sinus rhythm with supraventricular extrasystoles and diffuse myocardial changes was recorded. No clinical improvement was observed. On January 31, 2023, complete atrioventricular block was documented. The patient was urgently transferred to the inpatient cardiology department, where a temporary pacemaker was implanted. Differential diagnosis of the conduction disturbance included drug-induced atrioventricular block and myocardial infarction. Echocardiography revealed masses in the right atrium, thickening of the pericardial leaflets, fluid accumulation in the cavities, and interventricular septal dyskinesia. Computed tomography planned to rule out pulmonary embolism (PE) was not performed because of technical limitations. After 29 hours of hospitalization, the patient died. Postmortem examination revealed Hodgkin lymphoma involving the mediastinum, blood vessels, and all layers of the heart. Thrombotic deposits and tumor emboli containing lymphoma cells were identified in the small branches of the pulmonary arteries. Advanced age, nonspecific symptoms, lack of suspicion for B symptoms, and the rarity of such a cause of atrioventricular block contributed to the delayed diagnosis.
CONCLUSION: Oncologic vigilance among cardiologists regarding patients with atrioventricular block remains low, which may result in diagnostic errors and, in some cases, fatal outcomes. Cardiac involvement may be the first manifestation of mediastinal lymphoma. In the present case, computed tomography might have guided physicians toward the correct diagnosis. This article aims to raise awareness among physicians about lymphomas with cardiac involvement, thereby facilitating earlier diagnosis and more effective treatment.
Full Text
Введение
Российские клинические рекомендации, посвящённые брадиаритмиям и нарушениям проводимости, предоставляют следующую статистику: частота возникновения приобретённых далеко зашедшей атриовентрикулярной (АВ) блокады II степени и полной АВ-блокады оценивается в 200 случаев на миллион в год [1]. По данным китайских исследователей, стандартизированный по возрасту и полу уровень распространённости (95% доверительный интервал [ДИ]) АВ-блокады III степени составляет 0,04‰ (0,03–0,04) [2]. В числе «привычных» для кардиологов причин развития приобретённых АВ-блокад, в том числе полных, — возрастная дегенерация проводящей системы сердца, ишемия или инфаркт миокарда (ИМ), нарушения электролитного баланса, эндокринные нарушения, некоторые лекарственные препараты, инфильтративные кардиомиопатии, миокардиты, ревматическое поражение сердца и эндокардит, кардиохирургические вмешательства, а также болезнь Лайма, токсины, гипоксия (заболевания бронхолёгочной системы, анемии) [3, 4]. Ещё одна редко встречающаяся причина нарушения сердечного ритма и проводимости — первичные и метастатические опухоли сердца [5]. При этом различные симптомы опухоли у пациента могут присутствовать длительно, либо онкопроцесс изначально манифестирует нарушениями проводимости: в научной литературе описан случай первого проявления опухоли сердца АВ-блокадой [6]. Один из видов опухолей, поражающих сердце, — лимфомы, клинические проявления которых зависят от локализации процесса и могут быть крайне многообразны. В частности, для лимфомы Ходжкина характерна лимфоаденопатия, B-симптомы (лихорадка выше 38 °С не менее 3 дней подряд без признаков воспаления, ночные профузные поты, похудание на 10% массы тела за последние 6 мес.), симптомы поражения верхнего средостения (навязчивый непродуктивный кашель, синдром сдавления верхней полой вены, охриплость голоса, дисфагия, диспноэ) [7]. Этиология этого злокачественного В-клеточного лимфопролиферативного процесса неизвестна, заболеваемость в России составляет 2,2 случая на 100 тыс. населения в год [7, 8]. Крайне редко диагностируется первичное поражение сердца лимфомой Ходжкина. Так, в обзоре клинических случаев от января 2025 г. представлен только 1 случай с ходжкинской лимфомой из 121 случая первичных лимфом сердца [9]. Наша статья посвящена случаю не диагностированной прижизненно лимфомы Ходжкина с поражением сердца и развитием полной АВ-блокады.
Клинический случай
Пациентка Б., 81 год, доставлена в Областной клинический кардиологический диспансер (ОККД) 31.01.2023 в 20:30 по санавиации из центральной районной больницы (ЦРБ) (рис. 1). При поступлении предъявляла жалобы на одышку и общую слабость.
Рис. 1. Временная шкала. ХСН — хроническая сердечная недостаточность, ФП — фибрилляция предсердий, ЦРБ — Центральная районная больница, АВ-блокада — атриовентрикулярная блокада, ОККД — Областной клинический кардиологический диспансер, УЗИ — ультразвуковое исследование, ПП — правое предсердие, ТЭЛА — тромбоэмболия лёгочной артерии.
Fig. 1. Time scale. ХСН — chronic heart failure, ФП — atrial fibrillation, ЦРБ — Central District Hospital, АВ-блокада - atrioventricular block, ОККД — Regional Clinical Cardiology Dispensary, ultrasound — ultrasound examination, ПП — right atrium, ТЭЛА — pulmonary embolism.
Из анамнеза заболевания стало известно, что пациентка страдает гипертонической болезнью на протяжении 10 лет. В последние годы её беспокоили периодические боли в грудной клетке, отёки ног, умеренная смешанная одышка. Постоянно принимала ривароксабан [по какой причине, в медицинской документации не уточнено, вероятно, по поводу ранее регистрировавшейся фибрилляции предсердий (ФП); тромбозов в анамнезе не было] и диуретики. С 07.01.2023 отметила появление кашля и повышение температуры тела, усиление одышки и отёков, но за медицинской помощью не обращалась. 14.01.2023 её состояние значительно ухудшилось: наросла одышка, в связи с чем пациентка вызвала бригаду скорой медицинской помощи. Ритм по электрокардиограмме (ЭКГ) был оценён как ФП. После оказания первой помощи (фуросемид 40 мг внутривенно, оксигенотерапия) пациентка госпитализирована в ЦРБ, где находилась по 31.01.2023.
С учётом имеющихся клинико-анамнестических данных и результатов рентгенограммы органов грудной клетки (ОГК) от 14.01.23 (табл. 1) врачами ЦРБ установлен предварительный диагноз:
Таблица 1. Результаты рентгенологических исследований пациентки Б. Table 1. The results of X-ray examinations of patient B. | |||||
Учреждение | ЦРБ | ОККД | |||
Дата | 14.01.23 | 23.01.23 | 30.01.23 | 31.01.23 | 01.02.23 |
Описание | Справа в нижней доле снижение прозрачности лёгочной ткани в связи с инфильтрацией. Уровень жидкости до 4-го ребра по переднему краю в плевральной полости. Диафрагма и синусы не прослеживаются. Границы сердца значительно расширены в обе стороны | На месте сидя: с обеих сторон в нижних долях инфильтрация, корни за срединной тенью. Диафрагма и синусы не прослеживаются. Границы сердца значительно расширены в обе стороны | На месте сидя: с обеих сторон в нижних долях остаётся инфильтрация лёгочной ткани. Корни малоструктурны. Диафрагма и синусы не прослеживаются. Границы сердца значительно расширены в обе стороны | Лёгочный рисунок обогащён. Междолевая борозда справа подчёркнута. Корни малоструктурны, полнокровны, расширены. Синусы с двух сторон не просматриваются из-за жидкости. Сердце увеличено за счёт левого желудочка | Лёгочный рисунок обогащён. Междолевая борозда справа подчёркнута. Корни малоструктурны, полнокровны, расширены. Справа синус нечёткий из-за жидкости (в сравнении с 31.01.2023 положительная динамика), слева синус не просматривается (наличие жидкости). Сердце увеличено за счёт левого желудочка |
Заключение | Правосторонняя нижнедолевая пневмония, плевральный выпот | Двусторонняя нижнедолевая пневмония | Двусторонняя нижнедолевая пневмония в фазе разрешения | Двусторонний гидроторакс | Двусторонний гидроторакс |
Примечание. ЦРБ — Центральная районная больница, ОККД — Областной клинический кардиологический диспансер. | |||||
Основное заболевание: негоспитальная двусторонняя нижнедолевая пневмония, среднетяжёлое течение. Осложнения: дыхательная недостаточность I степени. Сопутствующие заболевания: ишемическая болезнь сердца (ИБС): пароксизмальная форма ФП (от 14.01.2023). Частая одиночная наджелудочковая экстрасистолия. Гипертоническая болезнь III стадии, контролируемая артериальная гипертензия, риск 4. Хроническая сердечная недостаточность (ХСН) 2Б-стадии, функциональный класс III.
С момента поступления пациентке проводилась следующая медикаментозная терапия: внутривенно цефтриаксон 1 г 2 раза в день и левофлоксацин 500 мг; внутрь амброксол 30 мг 3 р/сут, торасемид 10 мг утром, эплеренон 50 мг в обед, верапамил 80 мг 2 р/сут, аторвастатин 20 мг вечером.
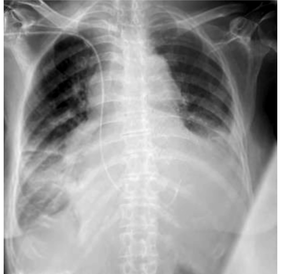
Результаты проведённых в ЦРБ лабораторных исследований представлены в табл. 2 и 3. Для удобства сравнения и анализа динамики в указанные таблицы внесены также более поздние анализы, выполненные в ОККД. За время наблюдения состояние пациентки сохранялось без улучшения. Повторные рентгенологические исследования 23 и 30 января (см. табл. 1) не показали выраженной положительной динамики. Анализы мокроты на микобактерии туберкулёза были трижды отрицательные. При нахождении в стационаре у пациентки регистрировался синусовый ритм, инверсия зубца Т в грудных отведениях (рис. 2), затем 31.01.2023 зарегистрирована полная АВ-блокада с ЧСС 40 уд./мин (рис. 3), в связи с чем пациентка транспортирована по санавиации в ОККД.
Таблица 2. Общий анализ крови пациентки Б. Table 2. General blood test of patient B. | |||||||
Показатель/Дата | 14.01 | 16.01 | 26.01 | 31.01 | 01.02 | 02.02 | Референс |
Эритроциты, ×1012/л | 4,7 | 4,1 | 4,2 | 4,3 | 4,4 | 3,8 | 3,5–5,5 |
Гемоглобин, г/л | 113,0 | 104,0* | 102,0* | 102,0* | 101,0* | 89,0* | 110,0–160,0 |
Гематокрит, % | – | – | – | 33,1* | 34,3* | 29,7* | 37,0–54,0 |
Тромбоциты, ×109/л | 367,0 | 230,0 | 194,0 | 187,0 | 168,0 | 146,0 | 100,0–300,0 |
Лейкоциты, ×109/л | 15,3* | 17,8* | 14,4* | 25,8* | 22,8* | 41,4* | 4,0–10,0 |
Нейтрофилы сегментоядерные, % | 82,0* | 80,0* | 80,0* | 94,0* | 94,0* | 90,0* | 50,0–70,0 |
Нейтрофилы сегментоядерные, ×109/л | – | – | – | 23,6* | 21,4* | 38,3* | 2,0–7,0 |
Лимфоциты, % | 14,0* | 9,0* | 8,0* | 3,8* | 3,0* | 1,6* | 20,0–40,0 |
Лимфоциты, ×109/л | – | – | – | 0,9 | 0,7* | 0,7* | 0,8–4,0 |
Моноциты, % | 4,0 | 3,0 | 2,0* | 1,3* | 2,4* | 4,2 | 3,0–12,0 |
Эозинофилы, % | 1,0 | 1,0 | – | 0,9 | 0,6 | 1,3 | 0,5–5,0 |
Скорость оседания эритроцитов, мм/ч | – | – | – | 15,0 | 22,0* | 12,0 | 2,0–15,0 |
Таблица 3. Биохимический анализ крови пациентки Б. Table 3. Biochemical blood analysis of patient B. | |||||||
Показатель/Дата | 16.01 | 20.01 | 26.01 | 31.01 | 01.01 | 02.02 | Референс |
Креатинин, мкмоль/л | 181,0* | 147,0* | 103,0 | 209,0* | 335,0* | 422,0* | 44,0–115,0 |
Скорость клубочковой фильтрации, мл/мин/1,73 м2 | – | – | – | 19,0* | 11,0* | 8,0* | 90,0–120,0 |
Мочевина, ммоль/л | 21,8* | 17,9* | 17,9* | 32,0* | 40,2* | 40,0* | 2,8–7,2 |
Общий билирубин, мкмоль/л | 12,2 | – | 3,9 | 31,7* | 10,0 | 8,7 | 2,0–21,0 |
Холестерин, ммоль/л | 4,9 | 4,2 | 3,2 | 4,4 | 4,6 | 4,0 | 3,6–5,2 |
Триглицериды, ммоль/л | 1,9 | – | 1,3 | 1,1 | 1,4 | 1,4 | 0,5–2,3 |
Липопротеины низкой плотности, ммоль/л | 2,7* | – | 1,6 | 1,0 | 2,3* | 2,3* | <1,4 |
Липопротеины высокой плотности, ммоль/л | – | – | – | 2,1* | 2,1* | 2,1* | 0,9–1,9 |
Общий белок, г/л | 71,2 | 72,2 | 48,9* | 60,5* | 54,3* | 52,8* | 66,0–83,0 |
Аспартатаминотрансфераза, Ед/л | 79,0* | 77,0* | 29,0 | 58,1* | 1475,0* | 494,6* | 1,0–35,0 |
Аланинаминотрансфераза, Ед/л | 46,0* | 59,0* | 23,0 | 137,1* | 1133,0* | 830,1* | 1,0–45,0 |
Лактатдегидрогеназа, Ед/л | – | – | – | 2660,5* | 2991,7* | 1738,9* | 1,0–248,0 |
Амилаза, Ед/л | – | – | – | – | – | 47,0 | 0,0–100,0 |
Щелочная фосфатаза, Ед/л | – | – | – | – | – | 168,8* | 30,0–120,0 |
Na, ммоль/л | – | – | – | 138,6 | 143,8 | 137,8 | 135,0–145,0 |
К, ммоль/л | – | – | – | 5,74* | 6,46* | 6,21* | 3,5–5,5 |
Са, ммоль/л | – | – | – | 2,3 | 2,2* | 1,9* | 2,2–2,7 |
Mg, ммоль/л | – | – | – | 0,8 | 0,9 | 0,9 | 0,7–1,1 |
Креатинфосфокиназа, Ед/л | – | 110,0 | – | 111,0 | 194,2* | 147,0 | 0,0–171,0 |
Креатинфосфокиназа-МВ, Ед/л | – | – | – | 55,0* | 57,0* | 55,0* | 0,0–24,0 |
Тропонин, нг/л | – | – | – | 3156,0* | 4544,0* | 2852,0* | 0,0–29,0 |
Глюкоза, ммоль/л | 11,0* | 7,3* | 5,5 | 8,0* | 9,1* | 6,7* | 3,6–6,1 |
С-реактивный белок, мг/л | 50,3* | 22,4* | 1,7 | >48,0* | >48,0 | 56,4* | 0,0–5,0 |
Мочевая кислота, мкмоль/л | 714,0* | 709,0* | 412,0* | – | – | 796,5* | 137,0–448,0 |
Сывороточное железо, ммоль/л | – | – | – | – | – | 2,2* | 6,6–28,3 |
Примечание. * Отклонения от референсных значений. | |||||||
Рис. 2. Электрокардиограмма пациентки Б. от 23.01.2023 при стационарном лечении в Центральной районной больнице.
Fig. 2. Electrocardiogram of patient B. dated January 23, 2023 during inpatient treatment at the Central District Hospital.
Рис. 3. Электрокардиограмма пациентки Б. от 31.01.2023 перед переводом в Областной клинический кардиологический диспансер.
Fig. 3. Electrocardiogram of patient B. dated January 31, 2023 before transfer to the Regional Clinical Cardiodispanser.
При госпитализации в отделение анестезиологии и реанимации ОККД общее состояние оценено как среднетяжёлое. По данным медицинской документации при осмотре пациентка астенического телосложения, кожные покровы и слизистые бледные, кожа влажная, периферические лимфатические узлы не увеличены, симметричные отёки стоп и голеней, частота дыхательных движений 26 в минуту, дыхание везикулярное, ослаблено, сухие единичные хрипы, перкуторный звук лёгочный, насыщение крови кислородом 93%, ритм сердца правильный с ЧСС 40 уд./мин, артериальное давление 105/70 мм рт. ст. На ЭКГ регистрировалась АВ-блокада III степени с замещающим ритмом на фоне синусовой тахикардии (118 уд./мин). Диагноз ИБС предположен в качестве наиболее вероятной причины АВ-блокады с учётом возраста и анамнеза болей в грудной клетке. Диагноз двусторонней пневмонии не снят с учётом сохраняющихся очагово-инфильтративных изменений в лёгочной ткани (рис. 4, 5). Установлен временный кардиостимулятор в режиме VVI с частотой стимуляции желудочков 60 в минуту. Продолжена терапия цефтриаксоном 1 г 2 р/сут внутривенно, назначен эноксапарин натрия 0,4 мл 2 р/сут подкожно.
Рис. 4. Рентгенограмма органов грудной клетки пациентки Б. от 31.01.2023.
Fig. 4. Chest X-ray of patient B. dated January 31, 2023.
Рис. 5. Рентгенограмма органов грудной клетки пациентки Б. от 01.02.23.
Fig. 5. Chest X-ray of patient B. dated February 1, 2023.
Причина тяжести состояния пациентки и развития АВ-блокады не была ясна, проведён диагностический поиск, в частности рассматривался аспект побочного действия лекарственных препаратов и ИМ.
Анализы крови показали выраженные патологические изменения. Обращали на себя внимание прогрессирующая анемия, высокий нейтрофильный лейкоцитоз при относительно низкой скорости оседания эритроцитов, признаки поражения печени, нарушения азотистого обмена, выраженное снижение фильтрационной способности почек, лёгкая гиперкалиемия, а также повышение С-реактивного белка и маркёров некроза миокарда (см. табл. 2 и 3).
При эхокардиографии (ЭхоКГ), проведённой 01.02.2023, фракция выброса левого желудочка (ЛЖ) по Тейхольцу составила 61%. Желудочки сердца не увеличены, однако отмечено утолщение стенок ЛЖ до 1,22–1,25 см, небольшой дискинез межжелудочковой перегородки (МЖП) и дилатация предсердий. Обнаружены следующие выраженные патологические изменения: эхо-свободное пространство в области задней стенки ЛЖ — 0,7 см, субкостально в области передней стенки правого желудочка (ПЖ) — 0,33 см; листки перикарда плотные, неравномерно утолщены до 3,8 мм, содержимое анэхогенное с множественными линейными гиперэхогенными включениями; в полости правого предсердия (ПП) в надклапанном пространстве вблизи основания трикуспидального клапана (регургитация I–II степени) и вблизи устья верхней полой вены — гиперэхогенные с чёткими контурами неподвижные образования и флотирующий фрагмент, возможно, связанный с электродом; нижняя полая вена — 27 мм, на вдохе не спадается; в плевральных полостях с обеих сторон значительное количество свободной жидкости. При измерении систолического градиента давления на трикуспидальном клапане были технические трудности, показатель составил 16 мм рт. ст.
При ультразвуковом исследовании (УЗИ) органов брюшной полости обнаружены диффузные изменения печени, изменения в левой почке (вероятно, вторично сморщенная) и большое количество свободной жидкости в брюшной полости. УЗИ вен нижних конечностей выявило тромбоз суральных вен с обеих сторон.
Контрольное ЭхоКГ проведено 02.02.2023, расчётное систолическое давление в лёгочной артерии составило 55 мм рт. ст.
Учитывая данные УЗИ о двустороннем тромбозе суральных вен, у больной заподозрена тромбоэмболия лёгочной артерии (ТЭЛА) на основании одышки, наличия образований в правых отделах сердца и лёгочной гипертензии, однако в связи с ремонтом аппарата рентгеновскую компьютерную томографию (КТ) ОГК с контрастированием провести не удалось.
За 29 ч нахождения в отделении анестезиологии и реанимации у пациентки сохранялось тяжёлое состояние со стабильными параметрами жизненных функций, прежние жалобы, сниженный диурез. 02.02.2023 отмечено ухудшение: у пациентки зарегистрировано снижение артериального давления до 85/60 мм рт. ст. и потеря сознания. Интенсивная терапия и реанимационные мероприятия — без эффекта, по монитору стимулы от временного кардиостимулятора без ответа, констатирована смерть.
Пациентка направлена на секцию с заключительным посмертным диагнозом:
Основной: тромбоз глубоких вен нижних конечностей с обеих сторон. Осложнения: ТЭЛА. Лёгочная гипертензия. Асистолия (02.02.2023). Сопутствующий: гипертоническая болезнь III стадии. Гиперурикемия. Риск 4. Перманентная форма ФП. АВ-блокада III степени. Временный кардиостимулятор (31.01.2023). ХСН 2Б-стадии, функциональный класс не определён. Гидроперикард. Двусторонний гидроторакс. Недостаточность митрального клапана (регургитация II степени), трикуспидального клапана (регургитация II степени). Вторично сморщенная почка. Хроническая болезнь почек С5. Дополнительное образование в полости ПП.
Однако по результатам аутопсии основным заболеванием установлена лимфома Ходжкина. Обнаружено значительное увеличение лимфоузлов средостения и опухолевый конгломерат размерами 14×7×6,5 см в области расположения бифуркационных и прикорневых лимфоузлов. Диффузный рост серовато-белесоватой плотноэластичной ткани наблюдался в жировой клетчатке средостения, в зоне бифуркации трахеи и корней лёгких с распространением на сосудистый пучок основания сердца и прилежащий перикард (рис. 6). На перикарде и эпикарде отмечен налёт фибрина, со стороны эпикарда обращали на себя внимание множественные узловые разрастания опухолевой ткани (рис. 7). Также опухолевая ткань в виде узлов с тромботическими наложениями выступала в полость ПП. Выявлены тромбы единичных мелких ветвей лёгочных артерий. В миокарде ПЖ и МЖП обнаружен рост опухолевой ткани, замещающей миокард, с прорастанием эндокарда, корня аорты, истока лёгочной артерии (рис. 8). В миокарде ЛЖ от эпикарда и интрамурально — также участки разрастания опухолевой ткани. В зонах опухолевого роста толщина стенки ЛЖ составила 1,8–1,9 см, правого — до 1,5 см. Гистологическое исследование тканей позволило выявить диффузную полиморфноклеточную инфильтрацию и клетки Ходжкина и Рида–Березовского–Штернберга (рис. 9), также опухолевые клетки определены в составе тромбов (рис. 10). В плевральных полостях обнаружено значительное количество жидкости (слева — 1100 мл, справа — 1500 мл). Следует отметить, что в коронарных артериях присутствовал распространённый (более 50% площади) атеросклеротический процесс, однако бляшки были стабильными, в стадии обызвествления, со стенозами до 50%.
Таким образом, выявленные изменения соответствуют IV стадии заболевания с поражением лимфоузлов, сосудистого пучка основания сердца, перикарда и миокарда с осложнениями в виде фибринозного перикардита, пристеночного тромбоза в полости ПП, тромбоэмболии единичных мелких ветвей лёгочных артерий, вторичной лёгочной гипертензии смешанного генеза, мелкоочаговых некрозов миокарда и застойной сердечной недостаточности (СН).
Рис. 6. В области корней лёгких и сосудистого пучка основания сердца диффузный опухолевый рост.
Fig. 6. Diffuse tumor growth in the area of the roots of the lungs and the vascular bundle of the base of the heart.
Рис. 7. Опухолевый рост в сердце. Фибринозный перикардит.
Fig. 7. Tumor growth in the heart. Fibrinous pericarditis.
Рис. 8. Миокард правого желудочка на разрезе с диффузным опухолевым ростом.
Fig. 8. The right ventricular myocardium is incised with diffuse tumor growth.
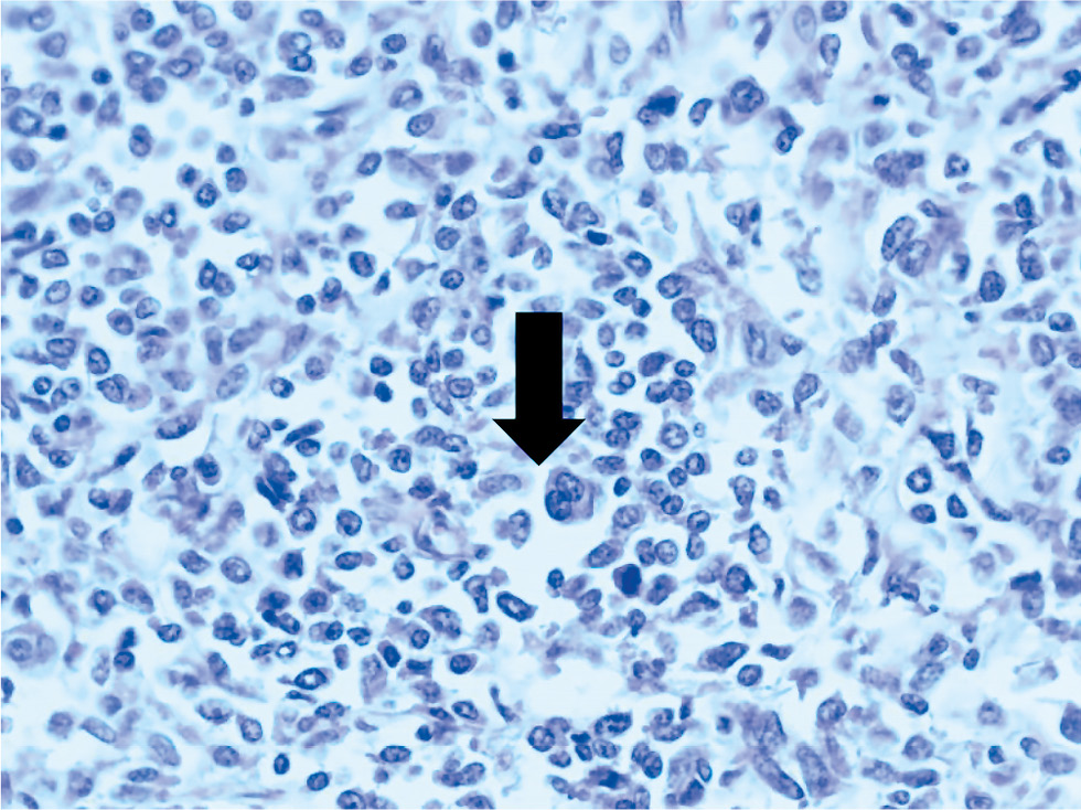
Рис. 9. Клетка Рида–Березовского–Штернберга (указана стрелкой). Микропрепарат (окраска гемотоксилин-эозином, ×200).
Fig. 9. The Reed–Berezovsky–Sternberg cell (indicated by the arrow). Micropreparation (hemotoxylin-eosin staining, ×200).
Рис. 10. Опухолевые клетки в составе тромбоэмболов в лёгочных артериях (указаны стрелкой). Микропрепарат (окраска гемотоксилин-эозином, ×100).
Fig. 10. Tumor cells in the thromboemboli in the pulmonary arteries (indicated by the arrow). Micropreparation (hemotoxylin-eosin staining, ×100).
Обсуждение
Лимфомы с поражением сердца могут проявляться такими неспецифическими симптомами и синдромами, как одышка, отёки, нарушения ритма и проводимости, поражения перикарда, что напоминает клинику артериальной гипертензии, ИБС, гипертрофической кардиомиопатии, пороков сердца, идиопатических нарушений ритма и проводимости [10].
В научных публикациях за последние 10 лет описано 9 случаев В-лимфом, поразивших непосредственно сердце или распространившихся на сердце из средостения, из них в 7 случаях регистрировалась АВ-блокада. Анализ этих публикаций показал, что у 3 пациентов (возраст 46, 50 и 64 года) заболевание проявлялось АВ-блокадой II–III степени, а также одышкой при физической нагрузке и нарушением сердечного ритма [11–13].
При этом диагноз установлен до развития осложнений, выполнена трансторакальная или инвазивная биопсия, после чего своевременно начата химиотерапия, что привело к ремиссии или стойкой положительной динамике. В одном случае проведено оперативное вмешательство с последующей химиотерапией [13].
Пациенты старческого возраста (76 лет и 81 год) имели такие симптомы, как одышка, слабость, субфебрилитет, отёки, АВ-блокада III степени, а также инфильтрация миокарда и крупных сосудов по данным визуализации [14, 15]. У них установлен диагноз, начата химиотерапия, однако на фоне низкого соматического резерва и инфекционных осложнений (сепсис) наступила смерть.
Также в 2 случаях (пациенты 54 и 78 лет) зарегистрирована АВ-блокада III степени, но диагноз лимфомы не установлен при жизни [16, 17]. В одном случае опухоль выявлена интраоперационно, в другом — лишь при патологоанатомическом исследовании. В обоих случаях лечение не проводилось, и смерть наступила в течение первых 5–13 дней от начала госпитализации.
Ещё у одной пациентки 69 лет были выявлены нарушения проводящей системы сердца, сопровождающиеся характерной клиникой головокружений и обмороков, однако поражён был синусовый, а не АВ-узел [18]. Несмотря на имплантацию электрокардиостимулятора и лечение, пациентка погибла с явлениями нарастающей СН. Диагноз установлен посмертно. Также лимфома не была диагностирована прижизненно у мужчины 65 лет, несмотря на нахождение в стационаре в течение 27 дней [19]. В этом случае заболевание преимущественно проявлялось болевым синдромом за грудиной, который стал беспокоить пациента при обострении язвенной болезни желудка, осложнившейся кровотечением и развитием анемии, что утяжеляло состояние больного и затрудняло дифференциальную диагностику. Пациент скончался в явлениях кардиогенного шока.
На ЭхоКГ, рентгенографии и КТ ОГК в описанных случаях выявляли дополнительные образования в камерах сердца, признаки перикардита, увеличение размеров сердца и лимфатических узлов в средостении.
В нашем случае у пациентки наблюдались некоторые из признаков, которые могли навести врачей на мысль о возможном опухолевом поражении сердца. На этапе ЦРБ проведены повторные рентгенологические исследования ОГК, однако расширенное средостение не принято во внимание. Также присутствовали В-симптомы, при этом вполне закономерно в условиях ограниченных диагностических возможностей и с учётом обнаружения инфильтративных изменений в лёгких эти признаки интерпретированы в сторону значительно более часто встречающегося заболевания — пневмонии. Врачам ОККД в ходе диагностического поиска были доступны для анализа и другие признаки, подозрительные в отношении опухоли: 1) длительное существование «пневмонии» в анамнезе; 2) выраженные изменения на ЭхоКГ (образование, выдающееся в полость ПП с тромботическими наложениями, значительное утолщение листков перикарда с выпотом и наложениями, дискинез МЖП) в сочетании с «неклассической» динамикой ЭКГ за весь период прогрессирующего ухудшения (выраженные изменения зубца Т и развитие полной АВ-блокады при отсутствии верифицированной причины); 3) значительное повышение тропонинов (при отсутствии типичных динамики ЭКГ и болевого синдрома, характерных для ИМ), анемия, снижение гематокрита, гипопротеинемия (как возможные симптомы опухолевой интоксикации) [7]; 4) динамическое снижение относительного и абсолютного количества лимфоцитов с нарастанием общих лейкоцитов. Исследования показывают, что отношение абсолютного количества нейтрофилов к абсолютному количеству лимфоцитов (≥4,3) коррелирует с плохой общей выживаемостью (p <0,001) [20]. В нашем случае этот индекс составлял 26,2–54,7. Следует отметить, что рентгенологическое исследование ОГК повторялось в ОККД ещё дважды, однако некоторые видимые изменения, в частности увеличение средостения, не нашли отражения в описании рентгенограмм. Безусловно, часть перечисленных симптомов и признаков могла объясняться хронической болезнью почек, дегенеративными изменениями в проводящей системе сердца, гипоксией и интоксикацией на фоне предполагаемой пневмонии, ХСН, стёртой и атипичной картиной заболеваний у гериатрического пациента.
Вызывает интерес тот факт, что, несмотря на наличие убедительных данных за изменения в перикарде (листки перикарда плотные, неравномерно утолщены до 3,8 мм, содержимое анэхогенное с множественными линейными гиперэхогенными включениями, наличие жидкости), а также повышение температуры, скорости оседания эритроцитов, уровня С-реактивного белка, не рассмотрен вариант наличия перикардита. Перикард поражается прямым распространением опухоли или лимфо-, гематогенным метастазированием и иногда бывает первым проявлением онкопатологии, в связи с чем этот диагноз мог помочь с установлением основного заболевания [21].
Сложность дифференциальной диагностики заключалась также в том, что одновременное сосуществование заболеваний, признаки которых отмечались у пациентки, в рамках их типичного течения нехарактерно, попытки выделить одну или две основные патологии претерпевали неудачу. Представленный случай показателен в плане «возможностей» опухолевого поражения, что интересно для врачей-клиницистов: массивное поражение сердечно-сосудистой и дыхательной систем, при этом яркая клиническая картина появилась только в течение последнего месяца жизни, у пациентки развилось несколько острых процессов, каждый из которых является тяжёлым заболеванием с высокой смертностью. Венозные тромбоэмболические осложнения, вынесенные в диагноз кардиологами в качестве основной патологии у пациентки, подтвердились на аутопсии и, несмотря на малый объём поражения, сыграли роль в исходе, поскольку, даже если ТЭЛА не является основным звеном танатогенеза, она усугубляет течение ранее существовавших состояний, в том числе тех, которые её спровоцировали [22]. Тромбозы и ТЭЛА — частое осложнение онкологических заболеваний любой локализации [22]. ИМ — одна из самых частых причин острых АВ-блокад, и, несомненно, верно, что этот диагноз рассматривался в качестве вероятного, принимая во внимание анамнез периодических болей в грудной клетке, значительное повышение тропонина, несмотря на то что картина у больной не соответствовала типичному течению инфаркта. При этом, по данным вскрытия, миокард у пациентки всё же был поражён, но иным механизмом — сформировались некрозы на фоне опухолевой инфильтрации миокарда. Следует отметить, что при ЭхоКГ локального нарушения сократимости в зонах поражения не отмечалось, однако было выявлено утолщение стенок. Результаты аутопсии согласуются с опубликованными данными о типичном поражении сердца лимфомами: наиболее частое поражение ПЖ, а затем ПП, полых вен, межпредсердной и МЖП, инфильтрация миокарда опухолевыми лимфоидными клетками [10].
Установить диагноз лимфомы у пациентки удалось лишь после вскрытия, прижизненная диагностика была затруднена по ряду причин. С момента появления симп-томатики до летального исхода, обусловленного тяжёлым поражением опухолью, прошло менее 3 нед. В ОККД пациентка доставлена в тяжёлом декомпенсированном состоянии в вечернее время, где она находилась 29 ч. Техническая ситуация не позволила выполнить КТ ОГК, однако в дальнейшем для верификации диагноза потребовалась бы биопсия с иммуногистохимическим исследованием перед началом противоопухолевой терапии.
По данным проанализированных опубликованных случаев лимфом с поражением сердца только в 3 случаях лечение было успешным, несмотря на прижизненную диагностику у 5 пациентов, 2 пациента старческого возраста умерли от осложнений на фоне химиотерапии. Таким образом, вероятно, даже более раннее обращение нашей пациентки за медицинской помощью не позволило бы значительно улучшить исход: совокупная тяжесть поражений резко ограничила временные рамки для диагностики, а старческий возраст мог быть фактором, снижающим эффективность полихимиотерпевтического лечения.
Необходимо повышать информированность терапевтов и кардиологов о лимфоме Ходжкина. Это может начинаться с лимфоузлов средостения. В связи с этим при жалобах на одышку необходимо тщательно оценивать состояние средостения с помощью рентгенографии ОГК. Также следует обращать внимание на наличие симптомов средостения и В-симптомов и при возникновении подозрений проводить КТ ОГК. С учётом возможного вовлечения в патологический процесс сердечных структур и сосудов, опухоли, в т.ч. лимфомы, следует включать в дифференциально-диагностический ряд при выявлении АВ-блокад, а также перикардите, объёмных образованиях в полостях или признаках поражения миокарда неясного генеза.
Ограничения исследования
Посмертный анализ случая, ограниченный объём лабораторно-инструментального обеспечения в медицинских учреждениях, в которых обследовалась пациентка.
Заключение
Можно отметить, что новообразования в сердце упускаются из вида в поисках причины возникновения нарушений ритма и проводимости, что может приводить к поздней диагностике. Несмотря на то что лимфомы с поражением сердца относятся к редким патологиям, они заслуживают внимания как возможная причина в неясных ситуациях. Рассматриваемый клинический случай демонстрирует сложности и проблемы диагностики «некардиологического» заболевания с обильной симптоматикой со стороны сердечно-сосудистой системы. Все проявления обусловлены единым лимфопролиферативным процессом, приведшим к острой полной АВ-блокаде, перикардиту, поражению миокарда, ТЭЛА, утяжелению СН и летальному исходу пациентки. Для диагностики лимфомы в подобных ситуациях требуется проведение рентгенологических исследований и биопсии, которая в настоящее время не является дорогостоящей и технически сложной процедурой и должна проводиться во всех диагностически неясных случаях.
Повышение осведомлённости о возможных вариантах клинической картины лимфом может помочь в более ранней и полной диагностике при поражении сердца, таким образом, появится возможность незамедлительно начать терапию основного заболевания, что позволит улучшить результаты лечения пациентов.
Дополнительная информация
Вклад авторов. И.Б. Глуховец — проведение патологоанатомического исследования, подготовка фотоматериала макро- и микропрепаратов, подготовка текста рукописи, утверждение окончательного варианта статьи; Е.А. Правкина — создание и подготовка рукописи: сбор данных, критический анализ текста рукописи, внесение замечаний и исправлений, утверждение окончательного варианта статьи; С.В. Субботин — создание и подготовка рукописи: сбор данных, внесение замечаний и исправлений в текст рукописи, утверждение окончательного варианта статьи; П.С. Викулова — создание и подготовка рукописи: сбор данных, структурирование материала, написание текста рукописи, включая его перевод на иностранный язык, утверждение окончательного варианта статьи; Д.С. Синицын — создание и подготовка рукописи: структурирование материала, написание текста рукописи, внесение замечаний и исправлений, подписание информированного согласия, исследование схожих клинических случаев, подготовка списка литературы, утверждение окончательного варианта статьи.
Согласие на публикацию. Авторы получили письменное информированное добровольное согласие от законного представителя пациента на публикацию персональных данных в научном журнале «CardioСоматика», включая его электронную версию (дата подписания 11.12.2024). Объём публикуемых данных с пациентом согласован.
Источник финансирования. Источник финансирования отсутствует.
Раскрытие интересов. Авторы декларируют отсутствие явных и потенциальных конфликтов интересов, связанных с публикацией настоящей статьи.
Оригинальность. При создании настоящей работы авторы не использовали ранее опубликованные сведения (текст, иллюстрации, данные).
Доступ к данным. Все данные, полученные в настоящем исследовании, доступны в статье.
Генеративный искусственный интеллект. При создании настоящей статьи технологии генеративного искусственного интеллекта не использовали.
Рассмотрение и рецензирование. Настоящая работа подана в журнал в инициативном порядке и рассмотрена по обычной процедуре. В рецензировании участвовали два внешних рецензента, член редакционной коллегии и научный редактор издания.
Additional information
Author contributions: I.B. Glukhovets: investigation, visualization, writing—original draft, writing—review & editing; E.A. Pravkina: data curation, writing—review & editing; S.V. Subbotin: data curation, writing—review & editing; P.S. Vikulova: data curation, writing—review & editing; D.S. Sinitsyn: data curation, writing—original draft, writing—review & editing, resources.
Consent for publication: Written informed consent was obtained from the patient’s legal representatives for the publication of personal data in a scientific journal CardioSomatica, including its online version (signed on December 25, 2023). The scope of the published data was approved by the patient’s legal representatives.
Funding sources: No funding.
Disclosure of interests: The authors have no relationships, activities, or interests (personal, professional, or financial) related to for-profit, not-for-profit or financial third parties, whose interests may be affected by the content of the article, and no other relationships, activities, or interests to disclose for the last three years.
Statement of originality: No previously published material (text, images, or data) was used in this work.
Data availability statement: All data generated during this study are available in this article.
Generative AI: No generative artificial intelligence technologies were used to prepare this article.
Provenance and peer review: This paper was submitted unsolicited and reviewed following the standard procedure. The peer review process involved two external reviewers, a member of the editorial board, and the in-house scientific editor.
About the authors
Ekaterina A. Pravkina
Ryazan State Medical University
Author for correspondence.
Email: vikont313arbus@yandex.ru
ORCID iD: 0000-0001-7114-435X
SPIN-code: 5754-5210
MD, Cand. Sci. (Medicine), Associate Professor
Russian Federation, 9 Vysokovoltnaya st., Ryazan, 390026Dmitry S. Sinitsyn
Ryazan State Medical University
Email: dimasinitsyn2001@gmail.com
ORCID iD: 0009-0002-8371-4027
Russian Federation, Ryazan
Polina S. Vikulova
Ryazan State Medical University
Email: pollybomb26@gmail.com
ORCID iD: 0009-0004-0362-7586
Russian Federation, Ryazan
Ilya B. Glukhovets
Ryazan State Medical University
Email: gluchoveci@gmail.com
ORCID iD: 0000-0003-1435-4865
SPIN-code: 5261-5174
MD, Cand. Sci. (Medicine), Assistant Professor
Russian Federation, RyazanSergei V. Subbotin
Regional Clinical Cardiology Dispensary
Email: subbotinsv.89@mail.ru
ORCID iD: 0000-0002-7459-5380
SPIN-code: 3467-6209
MD, Cand. Sci. (Medicine)
Russian Federation, RyazanReferences
- Revishvili ASh, Artyukhina EA, Glezer MG, et al. 2020 Clinical practice guidelines for Bradyarrhythmias and conduction disorders. Russian Journal of Cardiology. 2021;26(4):4448. doi: 10.15829/1560-4071-2021-4448 EDN: OQTHDM
- Shan R, Ning Y, Ma Y, et al. Prevalence and risk factors of atrioventricular block among 15 million Chinese health examination participants in 2018: a nation-wide cross-sectional study. BMC Cardiovasc Disord. 2021;21(1):289. doi: 10.1186/s12872-021-02105-3 EDN: KEKEHQ
- Kashou AH, Goyal A, Nguyen T, et al. Atrioventricular Block. In: StatPearls [Internet]. Treasure Island (FL): StatPearls Publishing, 2024.
- Lukianova IYu. Atrioventricular conduction disorders (a literature review). Juvenis Scientia. 2018;(10):17–23. doi: 10.32415/jscientia.2018.10.03 EDN: PIBGMH
- Hoffmeier A, Sindermann JR, Scheld HH, Martens S. Cardiac tumors — diagnosis and surgical treatment. Dtsch Arztebl Int. 2014;111(12):205–211. doi: 10.3238/arztebl.2014.0205
- Sakaeva DD, Raevskaya TV, Valiakhmetova ChKh, Iskhakova AI. Specific Myocardial Lesion in a Patient with Diffuse Large B-Cell Lymphoma (a Case Report). Creative Surgery and Oncology. 2018;8(4):316–323. doi: 10.24060/2076-3093-2018-8-4-316-323 EDN: ZABANN
- Demina EA, Tumyan GS, Moiseeva TN, et al. Hodgkin Lymphoma. Clinical recommendations. J Modern Oncol. 2020;22(2):6–33. doi: 10.26442/18151434.2020.2.200132
- Abdurakhmanov DT, Abuzarova GR, Ageeva TA, et al. Russian clinical guidelines for the diagnosis and treatment of lymphoproliferative diseases. Poddubnoi IV, Savchenko VG, editors. Moscow: Rossiiskoe professionalnoe obshchestvo onkogematologov, 2018. (In Russ.)
- Zhuang S, Chang L, Feng X, et al. Primary cardiac lymphoma: a clinicopathological study of 121 cases. Front Oncol. 2025;14:1509100. doi: 10.3389/fonc.2024.1509100 EDN: QLWTGE
- Gadaev IYu, Ershov VI, Bochkarnikova OV, et al. Cardiac involvement in lymphomas. Review of literature and case report of the clinical course of B-large-cell lymphoma. Rational Pharmacotherapy in Cardiology. 2015;11(6):610–617. doi: 10.20996/1819-6446-2015-11-6-610-617 EDN: VJGIFZ
- Vatrasova SI. Primary lymphoma of the heart masked by myopericarditis: a clinical case. Bulletin of Medical Internet Conferences. 2019;9(8):338. (in Russ.) EDN: LBYYGZ
- Chen CF, Hsieh PP, Lin SJ. Primary cardiac lymphoma with unusual presentation: A report of two cases. Mol Clin Oncol. 2017;6(3):311–314. doi: 10.3892/mco.2017.1131
- Liu J, Zheng Y, Zhang W, et al. Case Report: A case of third-degree atrioventricular block associated with primary cardiac lymphoma. Front Cardiovasc Med. 2024;11:1356134. doi: 10.3389/fcvm.2024 EDN: JAQDQL
- Kinoshita S, Ando J, Ando M, Komatsu N. Primary Lymphoma of the Pericardium. Intern Med. 2021;60(24):4005–4006. doi: 10.2169/internalmedicine.7643-21 EDN: TLVDZM
- Sekar B, Swami G, Ibrahim A, et al. 76-year-old Gentlemen with primary cardiac lymphoma presenting as acute coronary syndrome and atrioventricular block. BJR Case Rep. 2016;2:20150466. doi: 10.1259/bjrcr.20150466
- Volkov AV, Poletaeva MP, Eshmotova GK, Chupyatova EA. Morphological characteristics of primary b-cell lymphoma of the heart (case study). Selected Issues of Forensic Medical Examination. 2021;(20):33–36. (In Russ.) EDN: NLEJQQ
- Visker YaYu, Kovalchuk DN. Clinical case of Burkitt lymphoma with primary heart disease. Vestnik SurGU. Meditsina. 2020;3(45):49–52. doi: 10.34822/2304-9448-2020-3-49-52 EDN: DBNKZS
- Penyaeva EV, Petrosyan AD, Kovrigina AM. Primary cardiac lymphoma. a case from practice. Creative Cardiology. 2018;12(1):70–75. doi: 10.24022/1997-3187-2018-12-1-70-75 EDN: YWEZPE
- Aleksandrov SS, Rednikov AA, Aleksandrov SA. A case of diffuse b-cell large cell lymphoma with heart involvement. Almanac of Young Science. 2014;(2):32–39. (In Russ.) EDN: UHKHDR
- Koh YW, Kang HJ, Park C, et al. Prognostic significance of the ratio of absolute neutrophil count to absolute lymphocyte count in classic Hodgkin lymphoma. Am J Clin Pathol. 2012;138:846–854. doi: 10.1309/AJCPO46GFKGNXCBR
- Uryasyev OM, Solovyeva AV, Korshunova LV, et al. Peculiarities of Exudative Pericarditis in Cardiac Metastasis. Science of the young (Eruditio Juvenium). 2023;11(4):563–572. doi: 10.23888/HMJ2023114563-572 EDN: FNARSB
- Yakushin SS, Nikulina NN, Terekhovskaya YV. Clinical Manifestations and Diagnosis of Pulmonary Embolism in Routine Clinical Practice: Data from the Ryazan Regional Vascular Center. I.P. Pavlov Russian Medical Biological Herald. 2022;30(1):51–62. doi: 10.17816/PAVLOVJ85405 EDN: XUSJCB
Supplementary files













