Morphological changes in reparative regeneration of soft tissue in rats with compromised type 2 diabetes mellitus during experimental wound process
- 作者: Kubanova А.B.1,2, Smirnov A.V.3, Timchenko L.D.2, Kubanov S.I.2, Dzhikaev G.D.1,2, Krayushkin A.I.3, Samusev R.P.3, Gurov D.Y.3, Zamaraev V.S.3
- 
							隶属关系: 
							- Stavropol State Medical University
- North Caucasus Federal University
- Volgograd State Medical University
 
- 期: 卷 22, 编号 2 (2025)
- 页面: 86-93
- 栏目: Articles
- ##submission.datePublished##: 26.07.2025
- URL: https://cardiosomatics.ru/2658-4514/article/view/688334
- DOI: https://doi.org/10.19163/2658-4514-2025-22-2-86-93
- ID: 688334
如何引用文章
全文:
详细
The aim of the study was to investigate morphological changes and the severity of reparative processes in old rats with experimental wound healing against the background of experimental type 2 diabetes mellitus. Materials and methods. The study was performed on experimental material, sexually mature male Wistar rats aged 18 months, on which type 2 diabetes mellitus (T2DM) was modeled for 6 months. T2DM was induced using streptozotocin (65 mg/kg, 15 min after administration of 230 mg/kg nicotinamide, Sigma-Aldrich, USA). The animals were divided into groups: Group I – a modeled skin wound in rats without diabetes, Group II wound + T2DM, blood glucose level of 12 mmol/l and higher. A wound injury of the skin measuring 20 × 30 mm was excised with a scalpel and histological micropreparations were prepared. Animals were withdrawn from the experiment on days 7, 14, 21 and 28. The morphology of the wound process in rats with T2DM and modeled planar wounds of soft tissues was analyzed. The effect of hyperglycemia on the morphological features of the wound process in old rats was shown. The dynamics of the ratio of neutrophilic leukocytes and macrophages was revealed and the priority role of polymorphonuclear infiltration as a regulator of inflammatory-reparative relationships in the mechanism of wound healing in old rats with experimental T2DM was confirmed.
全文:
За последние 25 лет количество больных сахарным диабетом (СД) на нашей планете, согласно данным Международной диабетической федерации (IDF), увеличилось более чем в 4 раза, составляя в 2017 г. 425 млн человек, к 2045 г. достигнет 627 млн. На лечение, по данным Американской диабетической ассоциации, тратится около 325 млрд долларов ежегодно [1]. Существенны метаболические нарушения, функциональный статус организма, что не только отягощает большинство соматических заболеваний, но и ухудшает репаративные процессы и проявляется разного рода осложнениями [2].
Степень выраженности некоторых патологических изменений кожи при сахарном диабете может служить показателем тяжести поражения сосудов [3]. Заживление ран является результатом баланса между стимулирующими цитокинами, факторами роста и ингибирующими протеазами [4]. Считается, что метаболиты являются не только конечными точками биохимических процессов, но играют критическую роль в прогрессировании заболевания [5].
Анализ литературы свидетельствует о достаточном количестве исследований раневого процесса при сахарном диабете 2-го типа (СД2Т). Подавляющее большинство исследований касаются вопросов лечения осложнений СД, в частности, диабетической стопы [3]. Следует отметить, что значительное количество работ проведено на клиническом материале, что, как правило, сопряжено с достаточно высоким риском наличия многочисленных сопутствующих заболеваний и осложнений. Данные обстоятельства обуславливают необходимость проведения экспериментальных исследований на лабораторных животных [4]. Остается крайне актуальным вопрос анализа патоморфологических изменений мягких тканей в динамике раневого процесса при СД2Т с оценкой локальных тканевых компонентов [1]. Вышеизложенное обуславливает актуальность исследований для разработки патогенетически обоснованных эффективных методов лечения.
Цель работы
Исследовать и изучить морфологические изменения и степень выраженности репаративных процессов в коже и подлежащих мягких тканях у крыс в динамике раневого процесса при экспериментальном СД2Т.
Методика исследования
Исследование было выполнено на экспериментальном материале, половозрелых крысах-самцах линии Wistar в возрасте 18 месяцев, массой 310–360 г. Животные содержались в стандартных условиях вивария согласно правилам GLP при проведении доклинических исследований в РФ (ГОСТ З 51000.396 и 51000.4-96).
Соблюдались этические принципы, обозначенные (1964) Хельсинской Декларацией Всемирной Медицинской Ассоциации и Международным рекомендациям по защите позвоночных животных (1997).
У подопытных животных во II группе вызывали СД2Т путем введения стрептозотоцина (65 мг/кг, через 15 мин после введения 230 мг/кг никотинамида, Sigma-Aldrich, США). Через 72 часа производили количественное определение глюкозы в крови глюкозооксидазным методом на спектрофотометре (ПЭ-5400В, ЭКРОС).
В дальнейший эксперимент отбирали животных с уровнем глюкозы крови 12 ммоль/л и выше. В течение 6 месяцев подтверждали СД2Т, определяя выраженность гипергликемии с помощью измерения концентрации глюкозы глюкометром и тест полосок фирмы Contour Plus (Контур плюс, Япония).
После подтверждения СД моделировались плоскостные раны у наркотизированных животных. Животные были разделены на следующие группы: I группа: раневой дефект – группа животных с моделированными ранами в возрасте 24 месяцев. II группа: раневой дефект + сахарный диабет 2-го типа – группы крыс с СД2Т и моделированными ранами. Предварительно депилляционной мазью удаляли шерсть на коже спины, в межлопаточной области, обрабатывали форисептом. Скальпелем путем иссечения проводили раневое повреждение кожи размером 20 × 30 мм (600 мм2). Подопытных крыс выводили из эксперимента на 7, 14, 21 и 28-е сутки в соответствии с Правилами лабораторной̆ практики в РФ (приказ МЗ РФ от 19.06.2003 № 267). Эвтаназию проводили декапитацией под наркозом (тиопентал натрия в дозе 40 мг/кг, внутрибрюшинно).
Для морфологических исследований образцы тканей (фрагменты кожи и подлежащих тканей) фиксировали в 10%-м растворе нейтрального забуференного формалина (рН-7,4) в течение 24 часов с дальнейшим обезвоживанием в батарее спиртов и изготовлением парафиновых блоков. На роторном микротоме изготавливали срезы толщиной 5–6 мкм. Для выявления патологических процессов производили окрашивание гематоксилином и эозином по общепринятой гистологической методике.
Для статистического анализа полученных данных использовали программный пакет «Statistica» 10 (Statsoft, США). Для сравнения двух независимых выборок использовали U-критерий Манна – Уитни. За уровень значимости различий принимали p < 0,05.
Результаты исследования и их обсуждение
На разработанной экспериментальной модели определяли площадь раневого дефекта.
Раневая поверхность у крыс без СД за счет репаративной регенерации уменьшалась, раневой дефект к концу эксперимента практически отсутствовал.
У животных II группы к окончанию эксперимента площадь раневого дефекта снижалась, раневой дефект отмечался. Установлено, что площадь раневого дефекта в динамике прогрессивно снижалась по сравнению с предыдущим сроком исследования в I группе в следующей последовательности: на 14-е сутки – на 18,4 %, на 21-е сутки – на 94,8 %, на 28-е сутки – на 99,8 %; во II группе: на 14-е сутки – на 16,5 %, на 21-е сутки – на 30,0 %, на 28-е сутки – на 68,1 % (см. табл.).
Площадь раневого дефекта поверхности кожи (М ± SD)
| Эксперимент (сутки) | Достоверность различий, p < 0,05 | |
| I группа: животные с моделированными  | II группа: животные с СД2Т и моделированными ранами (площадь кожного дефекта, мм2) | |
| 7-е | 21,2 ± 1,4 17,3 ± 1,0 0,9 ± 0,3 0,002 ± 0,01 | 28,4 ± 1,6* 23,7 ± 1,4* 16,6 ± 1,0* 5,3 ± 0,4* | 
| 14-е | ||
| 21-е | ||
| 28-е | ||
Примечание: * – р < 0,05 достоверность различий при сравнении с контрольной группой животных, I группа.
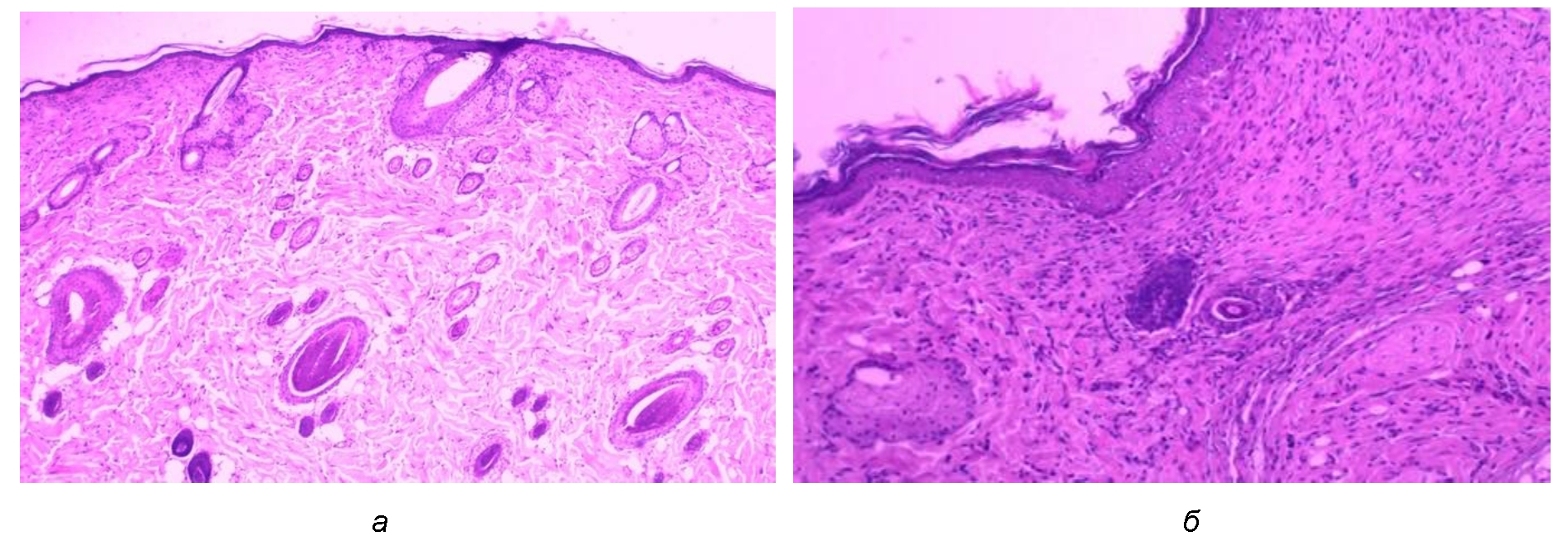
На 7-сутки эксперимента у старых крыс в группе с моделированной раной при гистологическом исследовании образцов тканей из ран выявлено наличие раневой поверхности с нек-ротизированными тканями в виде детрита и струпа. В краях раны отмечены очаги размножения эпителиальных клеток эпидермиса. Под струпом в сосочковом слое дермы определялись межклеточные отек, явления экссудации, наблюдалось значительное количество нейтро-фильных лейкоцитов, большинство из них были с признаками фагоцитоза. В дне раневого дефекта определялись очаговые кровоизлияния (рис. 1). У всех крыс данной группы в краях раны в дерме на 7-е сутки обнаружена грануляционная ткань с большим количеством соединительнотканных клеток: нейтрофильных лейкоцитов, фибробластов, гистиоцитов, лимфоцитов, небольшим количеством коллагеновых волокон.
В группе старых крыс с экспериментальным сахарным диабетом 2-го типа и с моделированной раной обнаружено наличие раневой поверхности с некротизированными тканями в виде детрита и струпа. В эпидермисе участки разрастания и регенерации по краям раны менее выраженные, чем у контрольных животных той же возрастной группы. Под струпом определяются нейтрофильные лейкоциты, признаки фагоцитоза выражены меньше, что, по нашему мнению, отражает нарушение в системе антиоксидантной защиты и сопровождается снижением уровня NO и активных форм кислорода, которые вырабатываются этими клетками [5]. Возможное снижение выработки NO в фазу пролиферации может способствовать снижению синтеза коллагена [6]. В более глубоких отделах ран отмечено наличие экссудата, обильная инфильтрация полиморфно-ядерными лейкоцитами и гистиоцитами, которые расположены диффузно, часть из них – периваскулярно, что, по-видимому, свидетельствует о повышенной проницаемости сосудистой стенки, способствующей поддержанию воспаления. В интиме кровеносных сосудов отмечены признаки повреждения эндотелия. Наблюдается появление коллагеновых волокон, наличие грануляционной ткани, незначительная эпителизация (рис. 1).
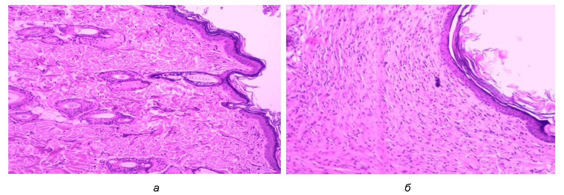
На 14-сутки эксперимента у животных с моделированной раной обнаружено наличие раневой поверхности, струпа и детрита незначительной толщины. Большая часть поверхности покрыта утолщенным эпидермисом (рис. 2). В подлежащих слоях определяется грануляционная ткань со слабо выраженной полиморфно-нуклеарной лейкоцитарной инфильтрацией и усиленным ангиогенезом.
Воспаление в мышечной ткани практически отсутствует. У крыс с экспериментальным сахарным диабетом 2-го типа на 14-сутки после нанесения раневого дефекта обнаружено наличие раневой поверхности с некротизированными тканями, отмечается высокая плотность нейтрофильных лейкоцитов в поверхностных отделах под струпом. Отмечаются участки разрастания эпидермиса и регенерации клеток соединительной ткани по краям раны (рис. 2).
В дерме у большинства крыс имеется грануляционная ткань с выраженной полиморфно-нуклеарной лейкоцитарной инфильтрацией.
В дне и по краям раны среди соединительнотканных клеток преобладают фибробласты, гистиоциты, адипоциты, встречаются единичные лимфоциты и плазмоциты.
Воспаление в скелетной мышечной ткани практически отсутствует.
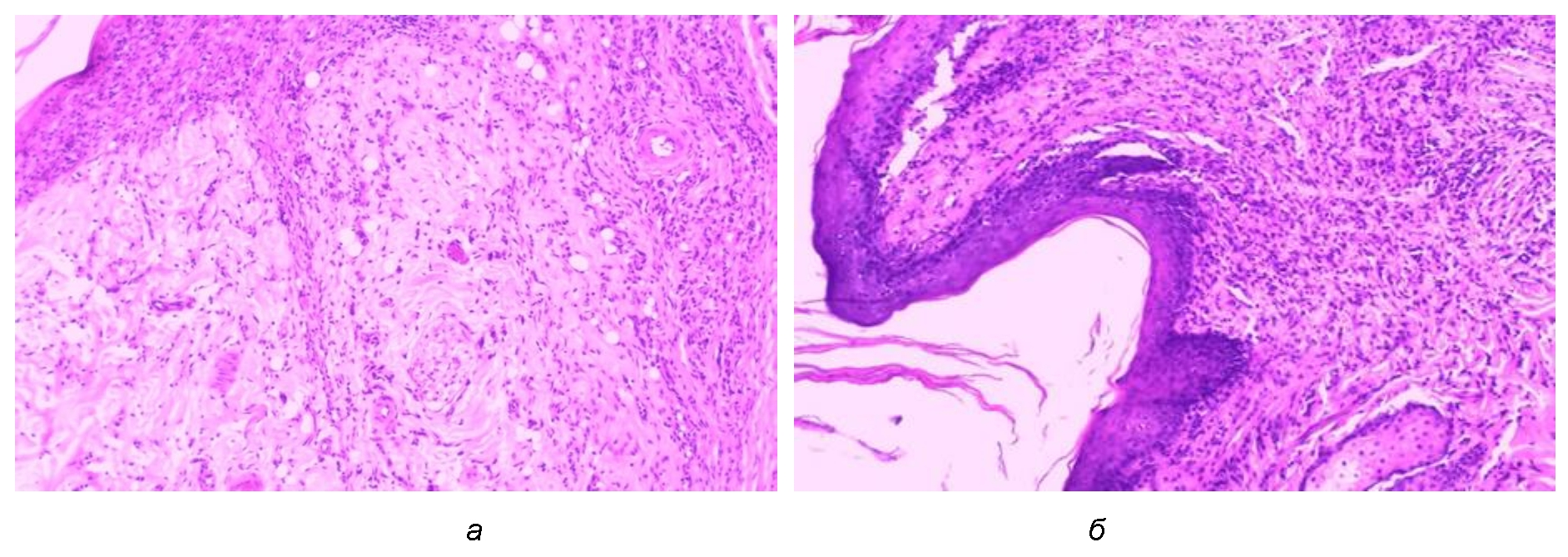
На 21-сутки у группы крыс с моделированной раной раневая поверхность эпителизирована, наблюдается образование новых волосяных фолликулов, коллагеновых волокон в большем количестве, очаговая интраэпителиальная лимфоидная инфильтрация (рис. 3). В дерме сохранятся грануляционная ткань со слабо выраженной полиморфно-нуклеарной лейкоцитарной инфильтрацией с наличием фибробластов и гистиоцитов, с большим количеством кровеносных сосудов, часть из которых направлена перпендикулярно к поверхности. В поверхностных отделах плотность гистиоцитов увеличена. В краях раны грануляционная ткань переходит в соединительную ткань дермы. Воспаление мышечной ткани практически отсутствует.
В группе крыс с экспериментальным сахарным диабетом 2-го типа раневая поверхность покрыта струпом, грануляционная ткань с выраженной полиморфно-нуклеарной лейкоцитарной инфильтрацией (рис. 3). Нейтрофильные лейкоциты преобладают в поверхностных неэпителизированных отделах. Отмечено слабо выраженное созревание грануляционной ткани, преобладают клетки соединительной ткани, небольшое количество коллагеновых волокон, отмечается умеренное количестве вновь образованных сосудов. В мышечной ткани наблюдается дистрофия, межмышечная лимфогистиоцитарная инфильтрация и скопление жидкости.
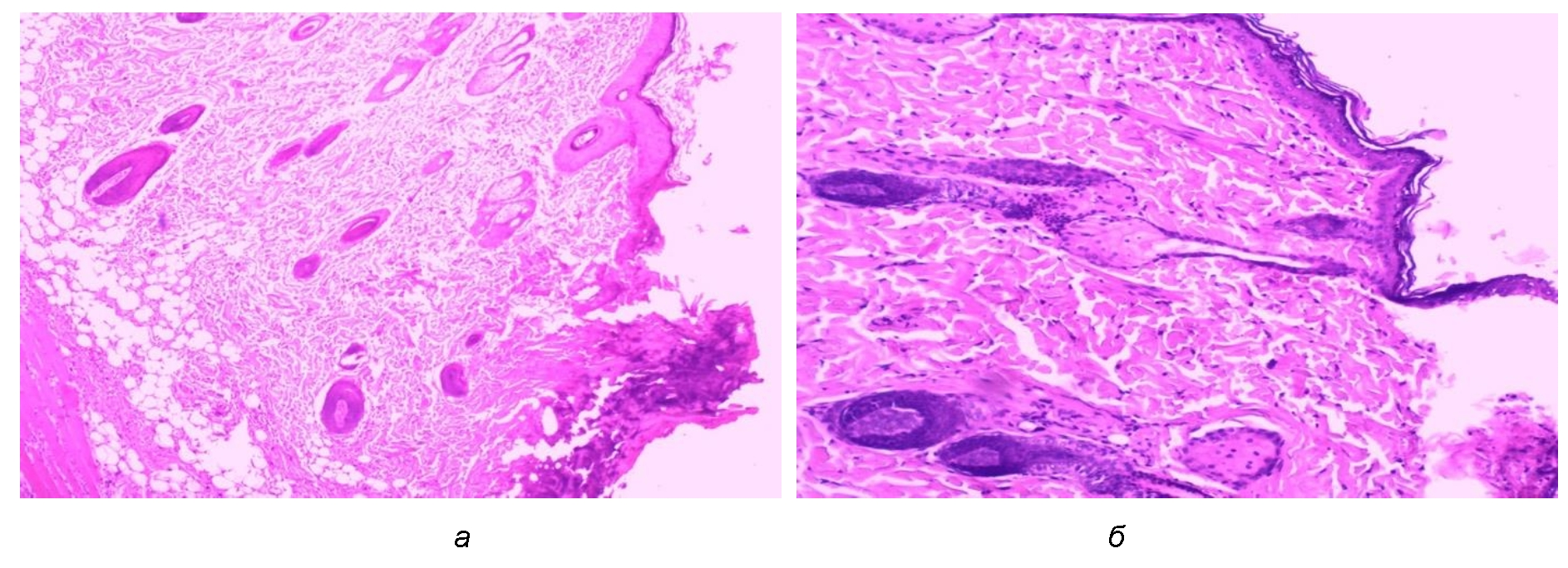
На 28-е сутки у группы крыс с моделированной раной – полностью эпителизированная поверхность, в дерме преобладают коллагеновые волокна, диффузно расположенные фибробласты и гистиоциты, большое количество кровеносных сосудов. В подлежащих тканях признаки воспаления отсутствуют (рис. 4).
В группе крыс с экспериментальным сахарным диабетом 2-го типа и смоделированной раной отмечается небольшая раневая поверхность, покрытая струпом, в дерме наблюдается зрелая грануляционная ткань, в которой сохраняются клетки соединительной ткани, малое количество коллагеновых волокон и сосудов (рис. 4). Нейтрофильные лейкоциты сохраняются в неэпителизированных отделах дермы. В мышечной ткани наблюдаются дистрофические изменения.
Рис. 1. Структурные изменения в области раневого дефекта: а – I группа: моделированная рана крысы в возрасте 24 мес. на 7-е сутки опыта; б – II группа: моделированная рана крысы в возрасте 24 мес. с СД2Т на 7-е сутки эксперимента. Окраска гематоксилином и эозином. Ув. ×100
Рис. 2. Структурные изменения в области раневого дефекта: а – I группа: моделированная рана крысы в возрасте 24 мес. на 14-е сутки опыта; б – II группа: моделированная рана крысы в возрасте 24 мес. с СД2Т на 14-е сутки эксперимента. Окраска гематоксилином и эозином. Ув. ×100
Рис. 3. Структурные изменения в области раневого дефекта: а – I группа: моделированная рана крысы в возрасте 24 мес. на 21-е сутки опыта; б – II группа: моделированная рана крысы в возрасте 24 мес. с СД2Т на 21-е сутки эксперимента. Окраска гематоксилином и эозином. Ув. ×100
Рис. 4. Структурные изменения в области раневого дефекта: а – I группа: моделированная рана крысы в возрасте 24 мес. на 28-е сутки опыта; б – II группа: моделированная рана крысы в возрасте 24 мес. с СД2Т на 28-е сутки эксперимента. Окраска гематоксилином и эозином. Ув. ×100
Полученные нами результаты морфологического исследования о процессе заживления ран при моделировании СД2Т у старых крыс согласуются с данными о процессах регенерации, сопровождаются метаболическими и обменными нарушениями, при которых происходят снижение тканевого кровообращения, развитие местной гипоксии, ацидоза тканей, микробной контаминации [6, 7].
У лиц с СД2Т риск развития инфекционных осложнений в разы выше, чем у пациентов без СД [8, 9]. Сахарный диабет замедляет заживление ран, которое становится длительным с рецидивирующими повреждениями и инфекциями [10]. Полученные нами данные подтверждают мнение, что течение раневого процесса становится более длительным по сравнению со здоровыми животными. Так, в группе у старых животных с моделированной раной на 14-е сутки происходит полноценная реэпителизация тканей при отсутствии влияния гипергликемии.
У старых животных с сахарным диабетом 2-го типа даже к концу эксперимента реэпителизация не завершена, патологический процесс распространяется на подлежащие ткани. Патоморфологическое исследование тканей раны определило различную выраженность клеточно-тканевых компонентов. У старых крыс с моделированной раной без СД на начальных этапах наблюдения отмечены признаки выраженной фагоцитарной активности. У животных того же возраста с сахарным диабетом 2-го типа и с моделированной раной фагоцитарная активность нейтрофильных лейкоцитов значительно снижалась. В целом течение раневого процесса у животных II группы характеризовалось большей продолжительностью экссудативно-некротических и пролиферативных изменений, замедлением про-цессов ремоделирования тканей (созревание рубца), что, по-видимому, связано с развитием микроангиопатии и нарушением трофики тканей в процессе регенерации при наличии возраст-ассоциированного снижения скорости метаболических процессов.
Заключение
В результате экспериментального исследования у старых крыс с сахарным диабетом 2-го типа и смоделированной раной кожных покровов зафиксировано замедление процессов репаративной регенерации по сравнению с группой животных с моделированной раной без сахарного диабета, что подтверждается динамикой сроков эпителизации ран и патоморфологическими изменениями в дерме. В группе животных с моделированной раной на 21-е сутки отмечается практически полная эпителизированная раневая поверхность. Репаративные изменения в группе экспериментальных животных с сахарным диабетом 2-го типа не завершаются к 28-м суткам, воспалительный процесс и дистрофические изменения сохраняются в области раны, в подлежащих тканях, отмечено снижение фагоцитарной активности нейтрофильных лейкоцитов.
作者简介
А. Kubanova
Stavropol State Medical University; North Caucasus Federal University
							编辑信件的主要联系方式.
							Email: albina.kubanowa@yandex.ru
				                					                																			                								
Candidate of Medical Sciences, Associate Professor, Department of Pathological Anatomy
俄罗斯联邦, Stavropol; StavropolA. Smirnov
Volgograd State Medical University
														Email: alexeysmirnov.volggmu@gmail.com
				                					                																			                								
Doctor of Medical Sciences, Professor, Head of the Department of Pathological Anatomy
俄罗斯联邦, VolgogradL. Timchenko
North Caucasus Federal University
														Email: ltimchenko@ncfu.ru
				                					                																			                								
Doctor of Veterinary Sciences, Professor, Chief Researcher at the Interdepartmental Scientific and Educational Laboratory of Experimental Immunomorphology, Immunopathology and Immunobiotechnology
俄罗斯联邦, StavropolS. Kubanov
North Caucasus Federal University
														Email: sik007@yandex.ru
				                					                																			                								
Candidate of Medical Sciences, Associate Professor of the Department of Clinical Medicine
俄罗斯联邦, StavropolG. Dzhikaev
Stavropol State Medical University; North Caucasus Federal University
														Email: doctor-gija@mail.ru
				                					                																			                								
Candidate of Medical Sciences, Associate Professor, Department of Pathological Anatomy
俄罗斯联邦, Stavropol; StavropolA. Krayushkin
Volgograd State Medical University
														Email: krayushkin.ai@mail.ru
				                					                																			                								
Doctor of Medical Sciences, Professor, Professor of the Department of Anatomy
俄罗斯联邦, VolgogradR. Samusev
Volgograd State Medical University
														Email: samusev_rudolf@mail.ru
				                					                																			                								
Doctor of Medical Sciences, Professor, Professor of the Department
俄罗斯联邦, VolgogradD. Gurov
Volgograd State Medical University
														Email: gurov007@mail.ru
				                					                																			                								
Doctor of Medical Sciences, Professor of the Department of Pathological Anatomy
俄罗斯联邦, VolgogradV. Zamaraev
Volgograd State Medical University
														Email: vszamaraev@mail.ru
				                					                																			                								
Doctor of Medical Sciences, Professor, Professor of the Department
俄罗斯联邦, Volgograd参考
- Smirnov A.V., Bisinbekova A. I., Faibisovich T. I. Morphofunctional changes in the brain in diabetes mellitus. Vestnik volgogradskogo gosudarstvennogo meditsinskogo universiteta = Journal of Volgograd State Medical University. 2022;3(19):3–8. (In Russ.).
- Lutsenko Yu. G., Akhrameev V. B., Matiytsiv A. B. Programmed irrigation and drainage in the treatment of diabetic patients with purulent-necrotic lesions of the soft tissues of lower extremities. Novoobrazovanie = Neoplasm. 2023;15(1):19–22. (In Russ.).
- Ivanov A. N., Popykhova E. B., Stepanova T. V., Pronina E. A., Lagutina D. D. Changes in microcirculation parameters during autotransplantation of a full-thickness skin flap against the background of experimental diabetes mellitus in rats. Regionarnoe krovoobrashchenie i mikrocirkulyaciya = Regional blood circulation and microcirculation. 2019;18(4):72–80. (In Russ.).
- Cruz T. B., Carvalho F. A., Matafome P. N. et al. Mice with Type 2 Diabetes Present Significant Alterations in Their Tissue Biomechanical Properties and Histological Features. Biomedicines. 2021;10(1):36–42. doi: 10.3390/biomedicines10010057.
- Singh A., Kukreti R., Saso L., Kukreti S. Mechanistic Insight into Oxidative Stress-Triggered Signaling Pathways and Type 2 Diabetes. Molecules. 2022;27(3):119–128. doi: 10.3390/molecules27030950.
- Proshin A. V. Morphological characteristics of the wound process in patients with purulent-necrotic forms of lesions of the lower extremities with diabetes mellitus. Vestnik Novgorodskogo gosudarstvennogo universiteta. Ser.: Medicinskie nauki = Bulletin of the Novgorod State University. Ser.: Medical Sciences. 2010;59:63–66. (In Russ.).
- Masha А., Dinatale S., Allasia S., Martin V. Role of the Decreased Nitric Oxide Bioavailability in the Vascular Complications of Diabetes Mellitus. Curr Pharm Biotechnol. 2011;12(9):1354–1363.
- Vlasov A. P., Zaitsev P. P., Vlasov P. A., Bolotskikh V. A., Grigoriev A. G. Increasing the reparative potential of tissues in diabetes mellitus. Hirurgiya = Surgery. 2017;12:52–57. (In Russ.).
- Tyurenkov I. N., Smirnov A. V., Bakulin D. A., Velikorodnaya Yu. I. Morphological features of the myocardium in experimental diabetes mellitus and its pharmacological correction with mefargin. Volgogradskiy nauchno-meditsinskiy zhurnal = Volgograd Scientific and Medical Journal. 2022;(4):25–29. (In Russ.).
- Alekseeva N. T., Glukhov A. L., Ostroushko A. P. The role of fibroblastic differential cells in the process of wound healing. Vestnik eksperimental'nyj i klinicheskij hirurgii = Experimental and Clinical Bulletin. Surgery. 2012;3:601–608. (In Russ.).
补充文件
 
				
			 
						 
						 
					 
						 
						
 
  
  
  电邮这篇文章
			电邮这篇文章 





