The fundus of the eye as a target organ in hypertension: a literature review
- Authors: Barsukov A.V.1,2, Yasenovets M.V.2, Shcherbakova K.A.2, Iakovlev V.V.2, Chumak B.A.2, Borisova E.V.1, Maltsev D.S.2, Burnasheva M.A.2, Kulikov A.N.2
-
Affiliations:
- CardioClinic
- Kirov Military Medical Academy
- Issue: Vol 13, No 4 (2022)
- Pages: 213-222
- Section: Reviews
- Submitted: 07.02.2023
- Accepted: 05.03.2023
- Published: 12.04.2023
- URL: https://cardiosomatics.ru/2221-7185/article/view/196005
- DOI: https://doi.org/10.17816/CS196005
- ID: 196005
Cite item
Full Text
Abstract
This review discusses the current understanding of hypertensive retinopathy. It describes the pathomorphology of hypertensive retinopathy according to its grade. The main approaches to classification and elements of pathophysiology are briefly considered, and the clinical significance of hypertensive changes in the fundus is examined. The characteristics of traditional and innovative methods of assessing the retina, and their accuracy in predicting the course of hypertension is discussed. Data from our investigations with scanning laser ophthalmoscopy and optical coherence tomographic angiography are presented. Our data show that uncomplicated hypertension in middle-aged men and women is accompanied by a distinct reduction in the diameter of the retinal arterioles and an expansion of the foveal avascular zone at the level of the superficial capillary plexus of the retina. We review the literature and present the results of our observations, demonstrating the retinoprotective benefits of antihypertensive therapy.
Full Text
СПИСОК СОКРАЩЕНИЙ
АВС – артериовенозное соотношение
АГ – артериальная гипертензия
ГБ – гипертоническая болезнь
ГЛЖ – гипертрофия левого желудочка
ГР – гипертоническая ретинопатия
ИММЛЖ – индекс массы миокарда левого желудочка
ЛЖ – левый желудочек
ОКТ – оптическая когерентная томография
ОКТА – оптическая когерентная томографическая ангиография
СД – сахарный диабет
ЦАЭС – центральный артериолярный эквивалент сетчатки
ЦВЭС – центральный венулярный эквивалент сетчатки
KWB – классификация Keith–Wagener–Barker
ОБОСНОВАНИЕ
Эссенциальная артериальная гипертензия (АГ) – ведущий фактор риска сердечно-сосудистых заболеваний. По существующим оценкам, основанным на офисном подходе к измерению артериального давления (АД), по состоянию на 2019 год в мире насчитывалось 1,28 млрд лиц с АГ [1]. В мировом масштабе за последние 30 лет число людей с АГ фактически удвоилось. В настоящее время более 80% лиц с повышенным АД проживают в странах с низким или средним уровнем дохода [1]. Ежегодно гипертоническая болезнь (ГБ) ответственна за 8,5 млн смертей от инсульта, ишемической болезни сердца, других сосудистых заболеваний, почечной недостаточности [2].
В экспертных документах перечислены следующие критерии субклинического поражения органа-мишени при АГ:
- пульсовое АД у лиц пожилого возраста ≥60 мм рт.ст.;
- электрокардиографические признаки гипертрофии левого желудочка (ГЛЖ) – RaVL ≥11 мм;
- индекс Соколова–Лайона >35 мм;
- корнельское вольтажное произведение >2440 мм×мс;
- ультразвуковые признаки левожелудочковой гипертрофии и дилатации левого предсердия (индекс массы миокарда ЛЖ (ИММЛЖ) (масса миокарда ЛЖ, отнесённая к росту, возведенном в степень 2,7) >50 г/м2,7 у мужчин и >47 г/м2,7 – у женщин;
- ИММЛЖ (масса миокарда ЛЖ, отнесённая к площади поверхности тела) >115 г/м2 у мужчин и >95 г/м2 – у женщин;
- скорость пульсовой волны на каротидно-бедренном участке >10 м/с;
- лодыжечно-плечевой индекс (для систолического АД) <0,9;
- расчётная скорость клубочковой фильтрации 30–59 мл/мин на 1,73 м2;
- альбуминурия (30–300 мг/сут или отношение альбумин/креатинин мочи 30–300 мг/г);
- ретинопатия (наличие кровоизлияний, экссудатов или отёка диска зрительного нерва) [3, 4].
Последний из указанных критериев всё же следует считать дискуссионным, поскольку таковой традиционно рассматривался как признак осложнённого (агрессивного) течения гипертензии.
АГ сопровождается развитием в большинстве органов не только макро-, но и микроваскулярных изменений. Сосуды глазного дна наиболее доступны для визуализации и оценки степени их поражения. Ретинальные изменения традиционно считают ранним признаком гипертензивного поражения органов-мишеней. Абсолютными показаниями к фундоскопии у лиц с АГ служат АГ 2-й и 3-й степени (класс рекомендаций I, уровень доказательности B) и сахарный диабет (СД) независимо от уровня АД (класс рекомендаций I, уровень доказательности B) [5]. Диагностический алгоритм при экстренных ситуациях, связанных с острым повышением АД, также должен включать офтальмоскопию (фундоскопию) [6]. За последние десятилетия отмечено более чем двукратное снижение частоты кризового течения АГ [7], что, по-видимому, отражается на достаточно редком в современной реальной клинической практике выявлении осложнённых форм гипертонической ретинопатии (ГР).
Цель работы – на основании итогов обзора релевантных источников литературы изложить текущие представления об особенностях изменений глазного дна при системной АГ с учётом современных возможностей диагностики, а также продемонстрировать ретинопротективные эффекты антигипертензивной терапии.
МЕТОДОЛОГИЯ ПОИСКА ИСТОЧНИКОВ
Проводили поиск в базе данных PubMed (MEDLINE) по терминам словаря предметных заголовков/терминов Medical Subject Headings (MeSH) и следующим ключевым словам: «arterial hypertension» AND «fundus» AND «hypertensive retinopathy» AND «classification» AND «diagnosis» AND «outcome» AND «retinoprotective treatment». В электронной библиотеке eLibrary для поиска источников использовали термины: «артериальная гипертензия» И «глазное дно» И «гипертоническая ретинопатия» И «классификация» И «диагностика» И «прогноз» И «ретинопротективная терапия». Для повышения эффективности поиска при комбинировании ключевых слов применяли оператор AND (И) (совокупность всех ключевых слов). Поиск был нацелен на публикации 2013–2022 гг., в которых отражены данные по изучению состояния глазного дна у людей (фильтры в PubMed «in the last 10 years», «humans»). Из 155 первично отобранных публикаций 113 были исключены из дальнейшей работы по следующим причинам: недостаточно валидных по числу обследованных лиц выборок, приведённых данных по детским субпопуляциям или пациентам со вторичной гипертензией; дублирование фактических данных в нескольких источниках одним и тем же автором; сложность перевода неанглоязычных статей и отсутствие доступа к полнотекстовым источникам. В конечном итоге для валидного анализа отобраны 42 статьи, к которым добавлены ещё 5 публикаций, полученных из списков литературы отобранных источников.
ОБСУЖДЕНИЕ
ТРАДИЦИОННАЯ КЛАССИФИКАЦИЯ И ПАТОМОРФОЛОГИЯ АНГИОПАТИИ СЕТЧАТКИ ПРИ АРТЕРИАЛЬНОЙ ГИПЕРТЕНЗИИ
ГБ глаз – обобщённый термин. Наряду с ГР при системной АГ могут наблюдаться гипертензивная хориоидопатия, окклюзия вены сетчатки, окклюзия артерии сетчатки, макроаневризма артерии сетчатки, ишемическая нейрооптикопатия, макулярная дегенерация. При агрессивном течении АГ возможна обструкция прекапиллярных артериол с развитием ишемического некроза нервных волокон (о чём свидетельствуют «ватные» экссудаты на сетчатке) или отёка диска зрительного нерва. С офтальмологической точки зрения гипертонический криз может манифестировать картиной так называемой макулярной звезды (депозиция липидов вокруг центральной ямки сетчатки) и отёка диска зрительного нерва в сочетании с минимальными микроваскулярными изменениями, что иногда неверно интерпретируют как нейроретинит либо отёк диска зрительного нерва вследствие внутричерепной гипертензии, либо как звёздчатую макулопатию Лебера. В числе осложнений тяжёлой нелеченной АГ могут оказаться геморрагическая отслойка внутренней мембраны сетчатки, субгиалоидное и интравитриальное кровоизлияние [8].
Имеются основания считать, что гипертоническая ангиопатия сетчатки или, другими словами, ГР была впервые описана R. Liebreich ещё в 1859 году [9]. В 1898 году M. Gunn дал детальное офтальмоскопическое описание ГР у больных с тяжёлой нефрогенной АГ. Позднее, в 1939 году, Keith, Wagener и Barker классифицировали изменения сосудов сетчатки глаз, выделив 4 степени поражения, которые широко используют в клинической практике и по сей день [10]. Согласно этой классификации, 1-я степень гипертонической ангиопатии сетчатки предполагает локальное или диффузное сужение артериол глазного дна. В основе патогенеза первичных микроваскулярных изменений лежат гиперплазия интимы и гиалиновая дегенерация сосудистой стенки. Также наблюдается пропотевание (инсудация) плазмы в толщу сосудистой стенки на фоне вазоконстрикции, в результате чего возникает разрушение эндотелиальной целостности артериолы. Этот процесс завершается формированием фибриноидного некроза и вторичной дегенерацией мышечного слоя с развитием облитерации васкулярного просвета [11].
Прогрессирующее органическое ремоделирование артериол способствует компрессии венул, в результате чего возникает офтальмоскопический симптом артериовенозного перекрёста, или «Gunn sign», отражающий 2-ю степень гипертонической ангиопатии сетчатки. Наряду с этим офтальмоскопически могут определяться некая «изъеденность» столбика крови (признак Гунна) и смещение венулы по отношению к артериоле под прямым углом (признак Салюса). Дистальнее артериовенозного перекрёста может наблюдаться так называемый вираж венулы (признак Боннета). Усиленный световой рефлекс артериолы коррелирует с гиалинизацией её стенки. Фундоскопические изменения артериол по типу «медной» или «серебряной проволоки» в сочетании с появлением светового рефлекса служат классическим описанием 2-й или 3-й степени гипертонической ангиопатии сетчатки соответственно [12]. По мере прогрессирования АГ и облитерации сосудов прекапиллярного русла возникает ишемия в соответствующей зоне сетчатки, формируются микроаневризмы и геморрагии. Ишемизированные участки сетчатки могут подвергаться некрозу. В офтальмоскопической практике этот симптом получил название «ватные экссудаты», или «cotton wool spots». Разрушение гематоретинального барьера наряду с депозицией липидов влечёт за собой формирование так называемых твёрдых экссудатов, которые так же, как и геморрагии, отражают картину 3-й степени гипертонической ангиопатии сетчатки. Депозиция липидов вокруг центральной ямки сетчатки глаза может создавать картину так называемой макулярной звезды. Наиболее высокую, 4-я степень гипертонической ангиопатии сетчатки, диагностируют при наличии отёка и/или разрушения диска зрительного нерва [13]. Первоначально этот признак был описан как важный критерий злокачественной гипертензии и маркёр неблагоприятного прогноза [10]. Последующие исследования показали, что отёк диска зрительного нерва может наблюдаться и при мягком течении системной гипертензии.
ПАТОФИЗИОЛОГИЯ ГИПЕРТОНИЧЕСКОЙ РЕТИНОПАТИИ
Несмотря на более чем столетнюю историю изучения патогенеза ГР, многие механизмы её формирования до сих пор остаются предметом дискуссий. Считается, что весомый вклад вносят эндотелиальная дисфункция, оксидативный стресс, системное низкоинтенсивное воспаление, ишемия, гипоксия, гиперактивность ренин-ангиотензин-альдостероновой системы [14]. Установлена зависимость между степенью ангиопатии сетчатки и содержанием фактора фон Виллебранда в плазме крови [15]. Авторы обнаружили более высокий плазменный уровень фактора фон Виллебранда у лиц со 2-й степенью гипертонической ангиопатии сетчатки (117±25%) по сравнению с теми, кто имел 1-ю степень ангиопатии (104±21%) и нормальную картину глазного дна (89±19%), однако не зарегистрировали статистически значимой корреляции между величинами фактора фон Виллебранда и АД [15].
Установлено, что некоторые генотипы ассоциированы с повышенным риском поражения гипертонических органов-мишеней, включая поражение сетчатки [16]. Так, наличие аллеля D гена ангиотензинпревращающего фермента у пациентов с эссенциальной АГ ассоциировалось с более чем двукратным увеличением частоты регистрации ГР [17].
СОВРЕМЕННАЯ ДИАГНОСТИКА И КЛИНИЧЕСКОЕ ЗНАЧЕНИЕ ГИПЕРТОНИЧЕСКОЙ РЕТИНОПАТИИ
Принято считать, что рутинная фундоскопия не лишена погрешностей, особенно у пациентов c начальными проявлениями АГ. Следует учитывать, что не в каждом случае ГБ удаётся установить соответствующие изменения на глазном дне. В исследовании Cardiovascular Health Study (популяция из 2050 человек в возрасте от 69 до 97 лет без СД) ретинопатия была диагностирована в 8,3% случаев, при этом у 9,6% обследованных наблюдали фокальное сужение артериол глазного дна, а у 7,7% – артериовенозный перекрёст. В каждом случае изменения сетчатки были ассоциированы с системной АГ [18].
В обзоре и метаанализе B.H. van der Born и соавт. (2005) исследователи отметили достаточно низкую (3–21%) общепопуляционную распространённость ретинальных изменений среди взрослых людей. При этом было отмечено, что васкулопатия глазного дна крайне редко регистрируется у пациентов без АГ в анамнезе. Вместе с тем авторы не обнаружили отчётливой корреляции частоты регистрации АГ среди лиц с различной степенью ангиопатии [19].
Тяжесть и продолжительность АГ прямо пропорциональны заболеваемости ГР. Так, согласно данным S. Erden и соавт., частота ГР составила 66,3% [20]. N.N. Kabedi и соавт. отметили, что доля лиц с ГР в когорте пациентов с АГ составила 83,6% [21]. По результатам исследования, проведённого О.Н. Del Brutto и соавт., гипертоническая ангиопатия сетчатки 1-й степени была зарегистрирована у 37%, а гипертоническая ангиопатия сетчатки 2-й степени наблюдалась у 17% пациентов с АГ [22].
Эксперты подчёркивают, что изменения, характерные для 1-й и 2-й степени ретинопатии, не имеют существенного прогностического значения и характеризуются низкой воспроизводимостью. Именно поэтому с точки зрения идентификации поражения органов-мишеней при ГБ эти степени ГР относительно неспецифичны. В экспертных рекомендациях учитываются только 3-я и 4-я степень ретинопатии [3, 4, 23].
Поражение глазного дна учитывается в определении злокачественной АГ. Так, критериями злокачественности течения АГ считают:
- АГ 3-й степени;
- микроангиопатию;
- диссеминированную внутрисосудистую коагуляцию;
- энцефалопатию (у 15% пациентов);
- острую сердечную недостаточность;
- острую почечную недостаточность [3].
На современном этапе получение изображений сосудов глазного дна возможно с помощью различных методов, включая сканирующую лазерную офтальмоскопию. При получении калиброметрических сосудистых показателей с целью стандартизации данных используют специализированные эквиваленты: центральный артериолярный (ЦАЭС) и венулярный (ЦВЭС) эквивалент сетчатки. Эти показатели рассчитывают посредством формулы Парра–Хаббарда–Кнудтсона [24].
Диаметр сосудов сетчатки претерпевает изменения в зависимости от уровня АД, возраста и других факторов. В популяционном исследовании Beaver Dam (n=4926, возраст участников 43–84 лет) показано, что в широком диапазоне среднего гемодинамического АД (61–155 мм рт.ст.) величина ЦВЭС практически не изменялась, тогда как величина ЦАЭС существенно уменьшалась по мере возрастания АД [33]. Вполне логичным оказался и вывод данного исследования о том, что чем выше АД, тем меньше артериовенозное отношение сетчатки. Возраст оказался менее значимым фактором (относительно АГ), влияющим на значение калибра сосудов сетчатки. Так, на каждое увеличение возрастной декады ЦАЭС уменьшался на 2,1 мкм, при этом на каждый прирост среднего гемодинамического АД на 10 мм рт.ст. ЦАЭС уменьшался на 4,4 мкм.
Ставшие доступными в последние годы высокотехнологичные методики изучения глазного дна позволили с большей точностью оценивать особенности микроваскулярных изменений. Оптическая когерентная томография (ОКТ) – неинвазивный метод диагностики, который отображает поперечное сечение сетчатки. Его можно использовать для объективного измерения диаметра и толщины стенок сосудов сетчатки. ОКТ обладает высокой специфичностью и воспроизводимостью, что особенно ценно в интересах мониторинга динамики ГР у конкретного пациента. Многочисленные публикации показали, что ОКТ позволяет оценить толщину центральной макулы и толщину слоя нервных волокон сетчатки, которые при злокачественном течении АГ значительно превышают таковые у нормотензивных лиц и пациентов с мягким течением АГ [26, 27]. Субфовеальная толщина хориоидеи и наличие субретинальной жидкости также доступны для оценки с помощью ОКТ. Истончение субфовеальной толщины хориоидеи коррелирует с возрастом, тяжестью течения АГ, а количество субретинальной жидкости пропорционально степени тяжести ГР [8]. ОКТ можно использовать для оценки показателей ретинопатии в динамике на фоне проводящегося лечения. В этом аспекте иллюстративен следующий пример. H.M. Lee и соавт. (2017) обследовали группу лиц среднего возраста со злокачественной АГ, имевших 4-ю степень ретинопатии. В качестве группы контроля выступили нормотензивные субъекты. По данным ОКТ, больные с высокой АГ и нормотензивные лица имели различную толщину макулы (292 и 256 нм соответственно; р <0,05). На фоне успешной комбинированной антигипертензивной терапии у пациентов основной группы в течение 6 мес было отмечено не только улучшение течения АГ, но и уменьшение толщины макулы (до 234 нм). При этом толщина макулы у лиц группы контроля (по определению не получавших какого-либо лечения) через полгода существенно не изменилась (256 нм) [28].
Оптическая когерентная томографическая ангиография (ОКТА) – другой неинвазивный метод верификации ГР, который позволяет быстро оценить состояние ретинального кровотока, ретинальную капиллярную сеть, рассчитать площадь фовеальной аваскулярной зоны [29]. Метаанализ серии исследований с применением ОКТА у пациентов с АГ без офтальмоскопических признаков ретинопатии продемонстрировал значительное уменьшение (относительно нормотензивных лиц) сосудистой плотности на уровне поверхностного и глубокого сплетения сетчатки, а также и увеличение площади фовеальной аваскулярной зоны на уровне поверхностного сплетения сетчатки [30].
К настоящему времени убедительно доказано, что сосудистая плотность сетчатки (особенно на уровне глубокого сплетения) прогрессивно уменьшается по мере увеличения офтальмоскопической градации ГР. На основе данных ОКТА разработана классификация ГР, которая может служить тонким индикатором развивающихся изменений глазного дна у пациентов с АГ [31]. Эта трёхстепенная классификация, сопоставленная с изменениями сетчатки по традиционной классификации Keith–Wagener–Barker (KWB), показала свою валидность у пациентов без макулярного отёка.
- ОКТА-степень 1 (только фокальная разреженность капилляров) встречается у пациентов с 1-й степенью ретинопатии по классификации KWB.
- ОКТА-степень 2 (фокальная разреженность капилляров и разбросанные микроангиомаподобные изменения) описана у пациентов со 2-й степенью ретинопатии по классификации KWB.
- ОКТА-степень 3 (фокальная разреженность капилляров и разбросанные микроангиомаподобные изменения и неперфузируемые зоны) соответствует 3-й степени ретинопатии по классификации KWB.
Микроваскулярная дисфункция служит твёрдо доказанным патогенетическим фактором АГ. Калибр ретинальных сосудов – маркёр системной микроваскулярной дисфункции. В метаанализе J. Ding и соавт. (2014) была изучена ассоциация между калибром сосудов сетчатки и заболеваемостью АГ. Из 10 229 включённых в исследование участников без гипертензии, СД, кардиоваскулярных заболеваний у 2599 развилась АГ при продолжительности наблюдения, составившей 2,9–10 лет. Более узкий диаметр артериол и более широкий диаметр венул ассоциировался с повышением риска развития АГ. Так, обнаруженное на исходном этапе сужение артериол глазного дна на каждые 20 мкм сопровождалось увеличением систолического АД на 1,12 мм рт.ст. в течение 5 лет наблюдения [32].
Крупное проспективное наблюдательное исследование, посвящённое особенностям развития ГР у пациентов с АГ на фоне присоединяющегося СД 2-го типа было проведено R. Klein и соавт. [33]. На этапе скрининга когорта включала 3402 пациента в возрасте от 43 до 86 лет без СД, из которых 1523 страдали гипертензией, а остальные 1879 обладали нормотензией. Пациенты были обследованы четырежды в различные временные периоды с интервалами между ними в 2–3 года. Ретинопатию диагностировали на основании анализа стереоскопических фотографий глазного дна. Оказалось, что на начальном этапе ГР присутствовала у 5,4% обследованных без АГ и без СД и у 7,3% пациентов с АГ без СД. В ходе проспективного наблюдения авторы пришли к выводу о том, что имевшаяся на начальном этапе ретинопатия оказалась предиктором относительно раннего присоединения и системной АГ, и СД 2-го типа.
В исследование Blue Mountains Eye Study были включены 3275 человек из общей популяции в возрасте 49 лет и старше с доступными стереофотографическими изображениями глазного дна; 44% участников исследования имели АГ [34]. Ретинальные кровоизлияния были визуализированы у 4,6%, а сосудистые аневризмы – у 6,4% субъектов; другие повреждения были обнаружены у 9,9% обследованных. Встречаемость сосудистых аневризм превалировала в группе мужчин (7,5% vs 5,5%; p=0,02), в то время как геморрагические изменения чаще регистрировали у женщин (5,0% vs 4,2%; р=0,29). При этом различные признаки поражения сосудов глазного дна преобладали среди лиц с АГ относительно нормотензивных обследуемых вне зависимости от их пола. В группе пациентов, получавших антигипертензивную терапию, ретинальные изменения оказались более выраженными среди тех, у кого не удалось достичь устойчивого целевого уровня АД [34].
C. Sabanayagam и соавт. провели метаанализ, в результате которого установили, что расширение калибра венул сетчатки ассоциировано с более высоким риском возникновения СД 2-го типа, нежели сужение артериол [35]. T. von Hanno и соавт. (2014), обследовав 6353 человек в возрасте 38–87 лет, пришли к выводу о том, что имеет место статистически значимая связь между диаметром ретинальной артериолы, установленным при помощи компьютерной программы на фотографиях сетчатки, и АД; уровнем гликозилированого гемоглобина и стажем курения как среди мужчин, так и женщин. Диаметр ретинальной венулы оказался взаимосвязанным (в большей степени у женщин) с уровнем АД, индексом массы тела, атерогенными липидами, стажем курения [36]. Самым агрессивным фактором, влияющим на диаметр венулы, оказалось курение (у курящих мужчин и женщин венула была соответственно на 15,2 и 13,2 нм шире, чем у некурящих субъектов). Эти данные также подтвердили тесную связь факторов сердечно- сосудистого риска с поражением сосудов сетчатки.
По собственным данным (полученным при помощи ОКТА), нами было показано, что неосложнённое течение ГБ у лиц среднего возраста независимо от гендерной принадлежности сопровождается отчётливой редукцией диаметра ретинальных артериол (ЦАЭС у пациентов с АГ – 138±12,4 мкм, у здоровых лиц – 143±11,5 мкм; р=0,09) и расширением площади фовеальной аваскулярной зоны на уровне поверхностного капиллярного сплетения сетчатки (у пациентов с АГ – 0,32±0,10 мм², у здоровых лиц – 0,26±0,08 мм²; р=0,019). В гипертензивной выборке мужчины по сравнению с женщинами характеризовались статистически значимо меньшими значениями ЦАЭС (р=0,012), а женщины по сравнению с мужчинами имели значимо большие величины ЦВЭС (р=0,005) и площади фовеальной аваскулярной зоны (р <0,001) [37].
Изучается взаимосвязь между офтальмоскопическими гипертензивными изменениями сетчатки и особенностями структурного ремоделирования органов-мишеней. Имеются указания на наличие прямой корреляции между массой миокарда ЛЖ, почечной дисфункцией и степенью ГР. A. Shirafkan и соавт. (2007), обследовав группу пациентов с АГ в сочетании с ГЛЖ, показали, что у 7,8% из них при офтальмоскопии не определялась патология глазного дна, а 55,9, 28,4, 3,9 и 3,9% больных имели 1-ю, 2-ю, 3-ю и 4-ю степень ретинопатии по классификации KWB соответственно. Примечательно, что авторами не установлено значимой связи между степенью ГР и массой миокарда ЛЖ [38]. N.N. Kabedi и соавт. установили у пациентов с АГ тесную корреляцию между ухудшением выделительной функции почек и тяжестью ГР [21].
Имеются основания полагать, что ретинальные микроваскулярные изменения служат индикатором атеросклероза различных локализаций. Так, J.Y. Yang и соавт. установили слабую, но значимую корреляцию между сужением артериол сетчатки и утолщением комплекса интима–медиа общей сонной артерии [39]. Появление современных методов визуализации глазного дна позволяет более точно дифференцировать степени ГР, а, значит, способствует оптимизации управления кардиоваскулярным риском. C. Cuspidi и соавт. (2002), обеспечив максимальную сопоставимость двух групп с умеренной АГ, имевших либо нормальную геометрию, либо концентрическое ремоделирование ЛЖ, обнаружили сопоставимую встречаемость как 1-й (22,5 и 19,3% соответственно), так и 2-й степени ретинопатии (32,5 и 32,5% соответственно) среди субъектов с этими особенностями левожелудочковой геометрии [40]. В цитируемом исследовании сетчатку изучали с помощью билатеральной ретинографии без мидриаза, а изображения анализировали два врача, которые не были знакомы с полной характеристикой каждого пациента.
По нашим собственным данным [37], изменения глазного дна при субклиническом течении ГБ оказались ассоциированы с показателями атерогенной дислипидемии, фиброзообразования, почечной дисфункции и признаками структурно-функционального ремоделирования левых отделов сердца (рис. 1). Примечательно, что ГР выражалась преимущественно в уменьшении величины ЦАЭС у мужчин и увеличении значений ЦВЭС и площади фовеальной аваскулярной зоны у женщин [37, 41].
Рис. 1. Позитивная корреляция амплитуды зубца R в отведении aVL и ЦВЭС (фрагмент А); негативная корреляция индекса объёма левого предсердия и ЦАЭС (фрагмент Б) у пациентов с неосложнённой артериальной гипертензией (средний возраст 49,7±4,8 лет). Примечание. ЛП – левое предсердие, ЦВЭС – центральный венулярный эквивалент сетчатки, ЦАЭС – центральный артериолярный эквивалент сетчатки. Источник: Барсуков А.В. и соавт., 2020 [37]. / Fig. 1. Positive correlation of the R wave amplitude in lead aVL and the central venous retinal equivalent (fragment A), negative correlation of the left atrial volume index and the central arterial retinal equivalent (fragment B) in patients with uncomplicated hypertension (mean age 49.7±4.8 years). Note. ЛП – left atrium; ЦВЭС – central retinal venular equivalent;ЦАЭС – central retinal arteriolar equivalent. Source: Barsukov A.V. и et al., 2020 [37].
Наряду с этим, по нашим данным, гендерная специфичность изученных взаимосвязей выразилась в наличии статистически значимых отрицательных корреляций возраста с субфовеальной толщиной хориоидеи, расчётного индекса 10-летней летальности от кардиоваскулярных заболеваний (SCORE) с субфовеальной толщиной хориоидеи, ретинальным артериовенозным соотношением (АВС), центральным артериальным эквивалентом сетчатки у женщин, а также в виде значимой прямой корреляции между электрокардиографическим корнельским произведением и ЦВЭС у мужчин [37, 41].
РЕТИНОПАТИЯ КАК МАРКЁР ПРОГНОЗА ПРИ ГИПЕРТОНИЧЕСКОЙ БОЛЕЗНИ
Убедительно доказана прогностическая значимость высоких градаций ГР. Так, по данным N.M. Keith и соавт., 5-летняя выживаемость составила 54% среди лиц с ретинопатией 1–2-й степени, 20% – среди пациентов с ретинопатией 3-й степени и лишь 1% среди субъектов с ретинопатией 4-й степени [10]. Ассоциация ретинальных сосудистых изменений c неврологическими и кардиоваскулярными осложнениями установлена в ряде крупных проектов (Cardiovascular Health Study, Atherosclerosis Risk in Communities Study, Beaver Dam Eye Study, Blue Mountains Eye Study, Rotterdam Eye Study) [42].
В ходе двух крупных проспективных исследований (Beaver Dam Eye Study [33] и Blue Mountain Eye Study [34]) было показано, что между увеличением диаметра ретинальной венулы и риском внезапной сердечной смерти существует тесная прямая связь, наиболее выраженная в возрастном диапазоне 43–69 лет. Кроме того, отмечено, что диаметр венулы сетчатки имеет большее прогностическое значение у мужчин (по сравнению с женщинами) и у пациентов с АГ (по сравнению с нормотензивными лицами). Современными методами оценки глазного дна с применением ОКТА в популяции участников проекта ARIC установлена чёткая обратная зависимость артериовенозного соотношения (ЦАЭС/ЦВЭС) и 10-летнего риска кардиоваскулярных событий, полученного по калькулятору QRISK2 (14,28±7,34% в когорте с АВС <0,77746 и 9,87±4,89% в когорте с АВС >0,90642) [43].
РЕТИНОПРОТЕКТИВНЫЕ СВОЙСТВА АНТИГИПЕРТЕНЗИВНОЙ ТЕРАПИИ
Пользу медикаментозной АД-снижающей терапии в отношении замедления поражения глазного дна при ГБ продолжают изучать. Так, в работе B. Daholf и соавт. (1992) продемонстрировано более выраженное протективное влияние ингибитора ангиотензинпревращающего фермента (эналаприла) по сравнению с диуретиком (гидрохлортиазидом) на ретинальное сосудистое русло у пациентов с ГБ. По сведениям авторов, терапия эналаприлом сопровождалась снижением опалесценции от сосудистой стенки, некоторым расширением артериол, ослаблением феномена артериовенозного перекрёста [44]. В крупном рандомизированном клиническом исследовании ASCOT (Anglo-Scandinavian Cardiac Outcomes Trial) были сопоставлены офтальмопротективные эффекты антигипертензивной терапии, основанной на амлодипине / периндоприле и атенололе / бендрофлуметиазиде у пациентов с АГ без сердечно-сосудистых заболеваний. К моменту завершения исследования оказалось, что применение первого комбинированного подхода (относительно второго) ассоциировалось со статистически значимо меньшей степенью констрикции артериол глазного дна [45]. Заслуживают внимания данные некоторых пилотных клинических исследований, отражающие улучшение микроциркуляции на фоне определённых вариантов АД-снижающей терапии. Так, комбинация периндоприла и индапамида показала способность восстанавливать плотность капилляров и перфузию у пациентов с АГ, что было объективизировано изменением сигнала лазерного допплеровского анализатора капиллярного кровотока после ионофореза пилокарпином [46]. Увеличение артериолярной плотности глазного дна было зафиксировано у пациентов с АГ в исследовании по изучению совместного применения лерканидипина с эналаприлом [47].
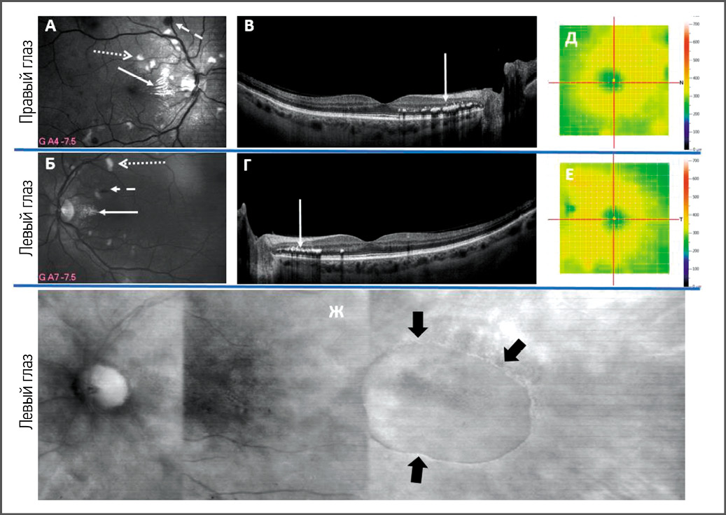
Комплексное лечение с достижением стойкой нормотензии позволяет значительно снизить выраженность ретинопатии. На рис. 2 и 3 показана динамика изменений глазного дна у пациентки со злокачественной АГ (по состоянию на 2014 год). Так, в 2014 году (см. рис. 2), по данным ОКТ (RTvue-100, Optovue, CША) и сканирующей лазерной офтальмоскопии в зелёном свете (F-10, Nidek, Япония), на обоих глазах в макулярной зоне наблюдалась картина гипертензивной нейроретинопатии: множественные «ватные» экссудаты (инфаркты слоя нервных волокон), интраретинальные кровоизлияния, твёрдые экссудаты (интраретинальные отложения липидов). На левом глазу, по данным сканирующей лазерной офтальмоскопии и ОКТ, была зафиксирована аккумуляция субретинальной жидкости с височной стороны от центра макулы, свидетельствовавшая о центральной серозной хориоретинопатии. При повторном осмотре в 2022 году (см. рис. 3) на фоне стойкой нормализации АД, по данным ОКТ (SOLIX, Optovue, CША) и фоторегистрации на фундус-камере Clarus 500 (Zeiss, Германия), а также при исследовании на сканирующем лазерном офтальмоскопе F-10 в зелёном и инфракрасном свете, визуализировался практически полный регресс исходных изменений глазного дна (твёрдые экссудаты, кровоизлияния резорбировались, «ватные» экссудаты разрешились). Таким образом, на основе современных методов визуализации удалось констатировать трансформацию картины ГР 3-й в картину ГР 2-й степени.
Рис. 2. Данные сканирующей лазерной офтальмоскопии в зелёном свете (А, Б), оптической когерентной томографии (В, Г), тепловой карты сетчатки (Д, Е), сканирующей лазерной офтальмоскопии в инфракрасном свете (ретро-режим, Ж) пациентки З. 53 лет со злокачественной артериальной гипертензией (исследование сетчатки выполнено в 2014 году). Примечание. На фрагментах А–Г видны твёрдые экссудаты (сплошная стрелка), на фрагментах А, Б – «ватные» очаги (точечно-пунктирная стрелка), интраретинальные кровоизлияния (штрихпунктирная стрелка); здесь же определяются суженные артериолы, расширенные венулы, АВС 1:3; артериовенозные перекрёсты 3-й стадии. На фрагментах Д, Е – утолщение сетчатки вследствие отёчности вблизи диска зрительного нерва. На фрагменте Ж стрелками ограничена зона серозной отслойки нейроэпителия сетчатки (признаки центральной серозной хориоретинопатии). Источник: ранее не опубликованные данные. / Fig. 2. Data from scanning laser ophthalmoscopy in green light (fragments A, B), optical coherence tomography (fragments C, D),thermal map of the retina (fragments E, F), scanning laser ophthalmoscopy in infrared light (retro mode, fragment G) in female Z., 53 years old, with malignant hypertension (retinal examination performed in 2014). Note. Fragments А–Г show solid exudates (continuous arrow), fragments А and Б show “cotton” foci (dotted-dotted arrow), intraretinal hemorrhages (dash-dotted arrow); narrowed arterioles, dilated venules, arteriovenous ratio (AVS) 1:3 are also determined here; arteriovenous crossings of the 3rd stage. Fragments Д, Е show thickening of the retina due to swelling near the optic nerve head. In fragment Ж, the arrows indicate the zone of serous detachment of the retinal neuroepithelium (signs of central serous chorioretinopathy). Source: previously unpublished data.
Рис. 3. Изображение цветной фоторегистрации (А, Б), оптической когерентной томографии (В, Г), тепловой карты сетчатки (Д, Е) у пациентки З. 61 года с контролируемой (ранее злокачественной) артериальной гипертензией (исследование сетчатки выполнено в 2022 году). Примечание. На фрагментах А–Г не определяются твёрдые экссудаты, на фрагментах А, Б не выявляются «ватные» очаги и интраретинальные кровоизлияния; здесь же отмечается изменение диаметра сосудов: АВС 1:2; артериовенозные перекрёсты 1-й стадии. На фрагментах Д, Е – нормализация толщины сетчатки вследствие исчезновения её отёчности вблизи диска зрительного нерва. Источник: ранее не опубликованные данные. / Fig. 3. Image of color photographic recording (fragments A, B), optical coherence tomography (fragments C, D), heat map of the retina (fragments D, F) in female Z, 61 years old, with controlled (previously malignant) hypertension (retinal examination performed in 2022). Note. Fragments А–Г do not show solid exudates; fragments A and B showno “cotton” foci and intraretinal hemorrhages; there is also a changein the diameter of the vessels: arteriovenous ratio (AVS) 1:2; arteriovenous crossings of the 1st stage. Fragments Д, Е show normalization of the thickness of the retina due to the disappearance of its edema near the optic nerve head. Source: previously unpublished data.
ЗАКЛЮЧЕНИЕ
Внедрение в клиническую практику новых высокотехнологичных методов обследования глазного дна позволяет объективизировать получаемые данные, уменьшая влияние человеческого фактора. На состояние сетчатки у конкретного пациента как правило оказывают воздействие одновременно несколько риск-факторов (АГ, гипергликемия, атерогенная дислипидемия, табакокурение, системное низкоинтенсивное воспаление). Ассоциация ретинопатии с характерными патологическими изменениями в других таргетных органах у пациентов с гипертонической болезнью считается убедительно доказанной. Обнаруживаемые ретинальные поражения могут иметь большое значение для стратификации риска кардиоваскулярной заболеваемости и летальности. До сих пор не ясно, существует ли прямое влияние антигипертензивной терапии на выраженность гипертонической ретинопатии, однако строгий контроль АГ посредством современных антигипертензивных комбинаций способствует улучшению структурно-функционального состояния сосудистого русла сетчатки. Улучшение ретинальной микроциркуляции может служить показателем успешности современной АД-снижающей терапии.
Раскрытие интересов. Авторы декларируют отсутствие явных и потенциальных конфликтов интересов, связанных с публикацией данной статьи.
Disclosure of interest. The authors declare that they have no competing interests.
Источник финансирования. Авторы декларируют отсутствие внешнего финансирования для проведения исследования и публикации статьи.
Funding source. The authors declare that there is no external funding for the exploration and analysis work.
Вклад авторов. Авторы декларируют соответствие своего авторства международным критериям ICMJE. Все авторы в равной степени участвовали в подготовке публикации: разработка концепции статьи, получение и анализ фактических данных, написание и редактирование текста статьи, проверка и утверждение текста статьи.
Authors’ contribution. The authors declare the compliance of their authorship according to the international ICMJE criteria. All authors made a substantial contribution to the conception of the work, acquisition, analysis, interpretation of data for the work, drafting and revising the work, final approval of the version to be published and agree to be accountable for all aspects of the work.
About the authors
Anton V. Barsukov
CardioClinic; Kirov Military Medical Academy
Author for correspondence.
Email: avbarsukov@yandex.ru
ORCID iD: 0000-0002-1943-9545
SPIN-code: 1516-0095
MD, D. Sci. (Med.), Prof., deputy head doctor
Russian Federation, Saint Petersburg; Saint PetersburgMaria V. Yasenovets
Kirov Military Medical Academy
Email: eremeeva_m@bk.ru
ORCID iD: 0000-0002-1307-6261
SPIN-code: 7705-5756
сardiologist
Russian Federation, Saint PetersburgKseniya A. Shcherbakova
Kirov Military Medical Academy
Email: ksu2204@yandex.ru
ORCID iD: 0000-0001-8555-5192
SPIN-code: 9522-0155
MD, Cand. Sci. (Med.), сardiologist
Russian Federation, Saint PetersburgVladimir V. Iakovlev
Kirov Military Medical Academy
Email: yakovlev-mma@yandex.ru
ORCID iD: 0000-0001-5310-0812
SPIN-code: 9685-6072
MD, D. Sci. (Med.), assoc. prof., department’s senior lecturer
Russian Federation, Saint PetersburgBoris A. Chumak
Kirov Military Medical Academy
Email: borchum07@yandex.ru
ORCID iD: 0000-0002-5010-7661
SPIN-code: 1973-6961
MD, Cand. Sci. (Med.), assoc. prof., interim head of department
Russian Federation, Saint PetersburgEkaterina V. Borisova
CardioClinic
Email: borisova-ev@kardioklinika.ru
ORCID iD: 0000-0002-0960-9627
SPIN-code: 1694-8120
MD, D. Sci. (Med.), head doctor
Russian Federation, Saint PetersburgDmitrii S. Maltsev
Kirov Military Medical Academy
Email: glaz.med@yandex.ru
ORCID iD: 0000-0001-6598-3982
SPIN-code: 4903-2333
MD, D. Sci. (Med.), head of unit of ophthalmology clinic
Russian Federation, Saint PetersburgMaria A. Burnasheva
Kirov Military Medical Academy
Email: maria.andreevna1@gmail.com
ORCID iD: 0000-0001-7384-2223
SPIN-code: 5574-3595
MD, Cand. Sci. (Med.), ophthalmologist of ophthalmology clinic
Russian Federation, Saint PetersburgAlexey N. Kulikov
Kirov Military Medical Academy
Email: alexey.kulikov@mail.ru
ORCID iD: 0000-0002-5274-6993
SPIN-code: 6440-7706
MD, D. Sci. (Med.), Prof., head of ophthalmology clinic
Russian Federation, Saint PetersburgReferences
- NCD Risk Factor Collaboration (NCD-RisC). Worldwide trends in hypertension prevalence and progress in treatment and control from 1990 to 2019: a pooled analysis of 1201 population-representative studies with 104 million participants. Lancet. 2021;398(10304):957–980.doi: 10.1016/S0140-6736(21)01330-1
- Zhou B, Perel P, Mensah GA, Ezzati M. Global epidemiology, health burden and effective interventions for elevated blood pressure and hypertension. Nat Rev Cardiol. 2021;18(11):785–802.doi: 10.1038/s41569-021-00559-8
- Williams B, Mancia G, Spiering W, et al. 2018 ESC/ESH Guidelines for the management of arterial hypertension. Eur Heart J. 2018;39(33):3021–3104. doi: 10.1093/eurheartj/ehy339
- Kobalava ZD, Konradi AO, Nedogoda SV, et al. Arterial hypertension in adults. Clinical guidelines 2020. Russian Journal of Cardiology. 2020;25(3):149–218. (In Russ). doi: 10.15829/1560-4071-2020-3-3786
- Visseren FLJ, Mach F, Smulders YM, et al. 2021 ESC Guidelines on cardiovascular disease prevention in clinical practice. Eur Heart J. 2021;42(34):3227–3337. doi: 10.1093/eurheartj/ehab484
- Chazova IE, Zhernakova YuV on behalf of the experts. Clinical guidelines. Diagnosis and treatment of arterial hypertension. Systemic Hypertension. 2019;16(1):6–31. (In Russ). doi: 10.26442/2075082X.2019.1.190179
- Kryukov EV, Fursov AN, Potekhin NP, et al. Hypertensive crisis – clinical interpretation of the term. Clinical Medicine. 2021;99(2):146–149. (In Russ). doi: 10.30629/0023-2149-2021-99-2-146-149
- Ahn SJ, Woo SJ, Park KH. Retinal and choroidal changes with severe hypertension and their association with visual outcome. Invest Ophthalmol Vis Sci. 2014;55(12):7775–7785. doi: 10.1167/iovs.14-14915
- Liebreich R. Ophthalmoskopischer befund bei morbus brightii. Archiv für Opthalmologie. 1859;5:265–268. (In German).
- Keith NM, Wagener HP, Barker NW. Some different types of essential hypertension: their course and prognosis. Am J Med Sci.1974;268(6):336–345. doi: 10.1097/00000441-197412000-00004
- Garner A, Ashton N. Pathogenesis of hypertensive retinopathy: a review. J R Soc Med. 1979;72(5):362–365. doi: 10.1177/014107687907200510
- Modi P, Arsiwalla T. Hypertensive Retinopathy. Treasure Island (FL): StatPearls Publishing; 2022.
- Fraser-Bell S, Symes R, Vaze A. Hypertensive eye disease: a review. Clin Exp Ophthalmol. 2017;45(1):45–53. doi: 10.1111/ceo.12905
- Dziedziak J, Zaleska-Żmijewska A, Szaflik JP, Cudnoch-Jędrzejewska A. Impact of arterial hypertension on the eye: a review of the pathogenesis, diagnostic methods, and treatment of hypertensive retinopathy. Med Sci Monit. 2022;28:e935135. doi: 10.12659/MSM.935135
- Karaca M, Coban E, Ozdem S, et al. The association between endothelial dysfunction and hypertensive retinopathy in essential hypertension. Med Sci Monit. 2014;20:78–82. doi: 10.12659/MSM.889659
- Liu M, Yi J, Tang W. Association between angiotensin converting enzyme gene polymorphism and essential hypertension: A systematic review and meta-analysis. J Renin Angiotensin Aldosterone Syst. 2021;22(1):1470320321995074. doi: 10.1177/1470320321995074
- Pontremoli R, Sofia A, Ravera M, et al. The deletion polymorphism of the angiotensin l-converting enzyme gene is associated with target organ damage in essential hypertension. J Am Soc Nephrol. 1996;7(12):2550–2558. doi: 10.1681/ASN.V7122550
- Wong TY, Klein R, Sharrett AR, et al. The prevalence and risk factors of retinal microvascular abnormalities in older persons: The Cardiovascular Health Study. Ophthalmology. 2003;110(4):658–666. doi: 10.1016/S0161-6420(02)01931-0
- van den Born BJ, Hulsman CA, Hoekstra JB, et al. Value of routine funduscopy in patients with hypertension: systematic review. BMJ. 2005;331(7508):73. doi: 10.1136/bmj.331.7508.73
- Erden S, Bicakci E. Hypertensive retinopathy: incidence, risk factors, and comorbidities. Clin Exp Hypertens. 2012;34(6):397–401.doi: 10.3109/10641963.2012.663028
- Kabedi NN, Mwanza JC, Lepira FB, et al. Hypertensive retinopathy and its association with cardiovascular, renal and cerebrovascular morbidity in Congolese patients. Cardiovasc J Afr. 2014;25(5):228–232.doi: 10.5830/CVJA-2014-045
- Del Brutto OH, Mera RM, Viteri EM, et al. Hypertensive retinopathy and cerebral small vessel disease in Amerindians living in rural Ecuador: The Atahualpa Project. Int J Cardiol. 2016;218:65–68. doi: 10.1016/j.ijcard.2016.05.020
- Mancia G, Fagard R, Narkiewicz K, et al. 2013 ESH/ESC Guidelines for the management of arterial hypertension: the Task Force for the management of arterial hypertension of the European Society of Hypertension (ESH) and of the European Society of Cardiology (ESC). J Hypertens.2013;31(7):1281–1357. doi: 10.1097/01.hjh.0000431740.32696.cc
- Heitmar R, Varma C, De P, et al. The relationship of systemic markers of renal function and vascular function with retinal blood vessel responses. Graefes Arch Clin Exp Ophthalmol. 2016;254(11):2257–2265.doi: 10.1007/s00417-016-3432-9
- Wong TY, Klein R, Klein B, et al. Retinal vessel diameters and their associations with age and blood pressure. Invest Ophthalmol Vis Sci. 2003;44(11):4644–4650. doi: 10.1167/iovs.03-0079
- Feng X, Wang H, Kong Y, et al. Diagnosis of chronic stage of hypertensive retinopathy based on spectral domain optical coherence tomography. J Clin Hypertens (Greenwich). 2020;22(7):1247–1252. doi: 10.1111/jch.13935
- Di Marco E, Aiello F, Lombardo M, et al. A literature review of hypertensive retinopathy: systemic correlations and new technologies. Eur Rev Med Pharmacol Sci. 2022;26(18):6424–6443. doi: 10.26355/eurrev_202209_29742
- Lee HM, Lee WH, Kim KN, et al. Changes in thickness of central macula and retinal nerve fibre layer in severe hypertensive retinopathy: a 1-year longitudinal study. Acta Ophthalmol. 2018;96(3):e386–e392. doi: 10.1111/aos.13521
- Lim HB, Lee MW, Park JH, et al. Changes in ganglion cell-inner plexiform layer thickness and retinal microvasculature in hypertension: an optical coherence tomography angiography study. Am J Ophthalmol.2019;199:167–176. doi: 10.1016/j.ajo.2018.11.016
- Tan W, Yao X, Le TT, et al. The Application of optical coherence tomography angiography in systemic hypertension: A meta-analysis. Front Med (Lausanne). 2021;8:778330. doi: 10.3389/fmed.2021.778330
- Liu Y, Li J, Pan J, et al. Morphological changes in and quantitative analysis of macular retinal microvasculature by optical coherence tomography angiography in hypertensive retinopathy. Hypertens Res.2021;44(3):325–336. doi: 10.1038/s41440-020-00583-0
- Ding J, Wai KL, McGeechan K, et al. Retinal vascular caliber and the development of hypertension: a meta-analysis of individual participant data. J Hypertens. 2014;32(2):207–215. doi: 10.1097/HJH.0b013e32836586f4
- Klein R, Klein BEK, Moss SE, et al. The relationship of retinopathy in persons without diabetes to the 15-year incidence of diabetes and hypertension: Beaver Dam Eye Study. Trans Am Ophthalmol Soc. 2006;104:98–107.
- Yu T, Mitchel P, Berry G, et al. Retinopathy in older persons without diabetes and its relationship to hypertension. Arch Ophthalmol. 1998;116(1):83–89. doi: 10.1001/archopht.116.1.83
- Sabanayagam C, Lye WK, Klein R, et al. Retinal microvascular caliber and risk of diabetes mellitus: a systematic review and participant-level meta-analysis. Diabetologia. 2015;58(11):2476–2485. doi: 10.1007/s00125-015-3717-2
- von Hanno T, Bertelsen G, Sjolie A, et al. Retinal vascular calibers are significantly associated with cardiovascular risk factors: the Tromso Eye Study. Acta Ophthalmol. 2014;92(1):40–46. doi: 10.1111/aos.12102
- Barsukov AV, Shcherbakova KA, Maltsev DS, et al. The relationship of the state of the retinal with other organ changes with uncomplicated hypertension. Arterial Hypertension. 2020;26(4):410–420. (In Russ). doi: 10.18705/1607-419X-2020-26-4-410-420
- Shirafkan A, Motahari M, Mojerlou M, et al. Association between left ventricular hypertrophy with retinopathy and renal dysfunction in patient with essential hypertension. Singapore Med J. 2009;50(12):1177–1183.
- Yang JY, Yang X, Li Y, et al. Carotid Atherosclerosis, Cerebrospinal Fluid Pressure, and Retinal Vessel Diameters: The Asymptomatic Polyvascular Abnormalities in Community Study. PLoS One. 2016;11(12):e0166993. doi: 10.1371/journal.pone.0166993
- Cuspidi C, Macca G, Michev I, et al. Left ventricular concentric remodeling and extracardiac target organ damage in essential hypertension. J Hum Hypertens. 2002;16(6):385–390. doi: 10.1038/sj.jhh.1001420
- Barsukov AV, Shcherbakova KA, Burnasheva MA, et al. Gender characteristics of retinal parameters in uncomplicated hypertension. Cardiovascular Therapy and Prevention. 2020;19(4):24–30. (In Russ). doi: 10.15829/1728-8800-2020-2500
- Henderson AD, Bruce BB, Newman NJ, Biousse V. Hypertension-related eye abnormalities and the risk of stroke. Rev Neurol Dis. 2011;8(1–2):1–9.
- French C, Cubbidge RP, Heitmar R. The application of arterio-venous ratio (AVR) cut-off values in clinic to stratify cardiovascular risk in patients. Ophthalmic Physiol Opt. 2022;42(4):666–674.doi: 10.1111/opo.12967
- Daholf B, Pennert K, Hansson L. Reversal of left ventricular hypertrophy in hypertensive patients – A meta-analysis of 109 treatment studies. Am J Hypertens. 1992;5(2):95–110. doi: 10.1093/ajh/5.2.95
- Dolan E, Stanton AV, Thom S, et al. Ambulatory blood pressure monitoring predicts cardiovascular events in treated hypertensive patients an Anglo-Scandinavian cardiac outcomes trial substudy. J Hypertens. 2009;27(4):876–885. doi: 10.1097/HJH.0b013e328322cd62
- Debbabi H, Bonnin P, Levy BI. Effects of blood pressure control with perindopril/indapamide on the microcirculation in hypertensive patients. Am J Hypertens. 2010;23(10):1136–1143.doi: 10.1038/ajh.2010.115
- De Ciuceis C, Salvetti M, Rossini C, et al. Effect of antihypertensive treatment on microvascular structure, central blood pressure and oxidative stress in patients with mild essential hypertension. J Hypertens. 2014;32(3):565–574. doi: 10.1097/HJH.0000000000000067
Supplementary files






