A clinical case of takotsubo syndrome in combination with left ventricular hypertrabeculation
- Authors: Boldueva S.A.1, Evdokimov D.S.1, Evdokimova L.S.1, Khomulo A.D.1
-
Affiliations:
- Mechnikov North-Western State Medical University
- Issue: Vol 11, No 2 (2020)
- Pages: 55-58
- Section: Case reports
- Submitted: 26.09.2020
- Accepted: 26.09.2020
- Published: 26.09.2020
- URL: https://cardiosomatics.ru/2221-7185/article/view/46033
- DOI: https://doi.org/10.26442/22217185.2020.2.200247
- ID: 46033
Cite item
Full Text
Abstract
The article describes the clinical case of takotsubo syndrome in female, who has also echocardiographic picture of a left ventricular noncompaction cardiomyopathy. According to the result of magnetic resonance imaging, the diagnosis of noncompaction cardiomyopathy was not confirmed, left ventricular hypertrabeculation was revealed. There are single descriptions of the combination of takotsubo syndrome and left ventricular hypertrabeculation, the pathogenetic relationship of these conditions has not yet been established.
Full Text
Синдром такоцубо (СТ) – острое обратимое неишемическое поражение миокарда левого желудочка (ЛЖ), протекающее под маской острого коронарного синдрома. Некомпактный миокард ЛЖ (НМЛЖ) – вариант генетически детерминированной кардиомиопатии, при которой миокард состоит из компактного и некомпактного слоев, что определяет различные варианты течения заболевания. В литературе представлены единичные описания сочетания синдрома такоцубо с гипертрабекулярностью миокарда, патогенетическая взаимосвязь этих состояний в настоящее время изучается.
Описание клинического случая
Больная Г., 63 года, 11.06.2019 госпитализирована в кардиологическую клинику в связи с жалобами на резкую слабость, жгучую боль за грудиной средней интенсивности длительностью около 40 мин, иррадиирущую в межлопаточное пространство, сопровождающуюся обильным потоотделением, ознобом, тошнотой, однократной рвотой. Симптомы возникли на фоне выраженного эмоционального переживания. На догоспитальном этапе пациентка получила следующее лечение: раствор фентанила 0,05% – 2,0 мл внутривенно, гепарин 5000 ЕД внутривенно струйно, ацетилсалициловая кислота 300 мг, тикагрелор 180 мг. На фоне данной терапии болевой синдром купирован.
В анамнезе: бронхиальная астма интермиттирующего течения, папиллярная карцинома щитовидной железы, по поводу которой в 2011 г. выполнена струм- эктомия (в настоящее время субклинический гипотиреоз на заместительной гормональной терапии). Наследственность: у матери инсульт в возрасте 67 лет, случаев внезапной смерти у родственников не было.
Объективный осмотр при поступлении: состояние средней степени тяжести. Рост 170 см, масса тела 46 кг. Пульс 84 уд/мин, ритмичный, удовлетворительного наполнения. Артериальное давление на правой руке 100/60 мм рт. ст., на левой – 90/55 мм рт. ст. Тоны сердца глухие, патологических шумов нет. Остальные данные объективного осмотра без особенностей.
На электрокардиограмме (ЭКГ) при поступлении синусовый ритм с частотой сердечных сокращений 82 уд/мин, корригированный QT – 421 мс, элевация сегмента ST в отведениях V3–V6 (рис. 1).
Рис. 1. ЭКГ при поступлении.
Лабораторная диагностика: вираж тропонина Т (исходный уровень – 901,8 пг/мл; через 6 ч – 533,5 пг/мл). Д-димер не повышен.
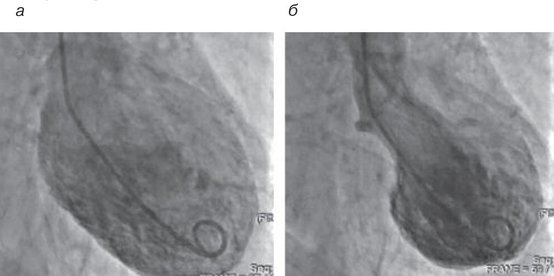
Учитывая клиническую картину, элевацию сегмента ST на ЭКГ, повышение уровня тропонина, пациентке установлен диагноз ишемической болезни сердца: инфаркт миокарда с подъемом сегмента ST. Через 30 мин после поступления экстренно выполнена коронаровентрикулография (КВГ): коронарные артерии без гемодинамически значимого стенозирования. По данным вентрикулографии – акинезия верхушки, перегородки и срединных сегментов всех стенок ЛЖ, гиперкинезия базальных отделов, фракция выброса (ФВ) –32% (рис. 2).
Рис. 2. КВГ: a – диастола; б – систола. Отмечается акинезия верхушки, верхушечных и срединных сегментов всех стенок ЛЖ, гиперкинезия базальных отделов ЛЖ.
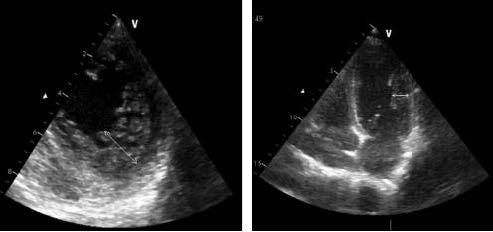
Результаты эхокардиографии (ЭхоКГ) на 2-е сутки: миокард желудочков не утолщен (толщина стенок по 7 мм). Гиперкинезия базальных сегментов всех стенок ЛЖ, выраженная гипокинезия срединных сегментов, акинезия верхушки ЛЖ (рис. 3). ФВ, рассчитанная методом Симпсона, – 45%. Отмечается избыточная трабекулярность миокарда ЛЖ, нельзя исключить некомпактный миокард ЛЖ. Клапанный аппарат без значимых изменений (см. рис. 3).
Рис. 3. ЭхоКГ на 2-е сутки из апикального доступа, левый желудочек: а – диастола; б – систола. Белые стрелки – зоны гипокинезии срединных сегментов.
Принимая во внимание неизмененные коронарные артерии (КА), типичные изменения геометрии ЛЖ по данным вентрикулографии и ЭхоКГ (акинезия верхушки, перегородочных и срединных сегментов всех стенок ЛЖ с гиперкинезией базальных отделов), наличие психоэмоционального триггера, спровоцировавшего болевой синдром, похожий на ангинозный, у женщины 63 лет, выдвинуто предположение о синдроме такоцубо (СТ) и решено оценить динамику ЭхоКГ-изменений. В связи с подозрением на НМЛЖ для оценки выраженности гипертрабекулярности миокарда ЛЖ запланировано проведение контрастной магнитно-резонансной томографии (МРТ).
Состояние больной в последующие дни оставалось удовлетворительным, болевой синдром не рецидивировал. Пациентка получала дезагреганты, b-адреноблокаторы, ингибиторы ангиотензинпревращающего фермента, диуретики, антагонисты альдостерона в терапевтических дозах. ЭКГ на 12-е сутки: частота сердечных сокращений 65 уд/мин, отрицательные зубцы Т в отведениях II, III, aVF, V3–V6. Корригированный QT 468 мс (рис. 4).
Рис. 4. ЭКГ на 12-е сутки.
При повторной ЭхоКГ на 14-е сутки заболевания отмечено: ФВ 60,5%, небольшая гипокинезия срединного и переднеперегородочного сегментов, верхушки ЛЖ. От уровня срединных сегментов к верхушке, передней и боковой стенкам ЛЖ сохраняется избыточная трабекулярность. В области верхушки слой компактного миокарда истончен до 5 мм. Толщина некомпактного слоя 18 мм, соотношение некомпактного и компактного слоев 3,6 (рис. 5).
Рис. 5. ЭхоКГ на 14-е сутки.
Совокупность клинической информации, данных лабораторно-инструментальных методов исследования при поступлении, быстрая положительная ЭхоКГ-динамика позволили подтвердить диагноз СТ. Для подтверждения диагноза НМЛЖ через 2 мес выполнена МРТ сердца (рис. 6, 7).
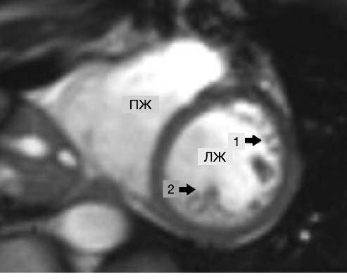
Рис. 6. МРТ сердца, короткая ось, срез на уровне средней трети ЛЖ: 1 – некомпактный слой миокарда; 2 – трабекула.
Примечание. ПЖ – правый желудочек.
Рис. 7. МРТ сердца, четырехкамерный вид. Стрелкой указаны трабекулы.
Примечание. ЛП – левое предсердие, ПП – правое предсердие.
Заключение: МР-картина повышенной трабекулярности миокарда ЛЖ, конечно-диастолическое соотношение некомпактного и компактного слоев миокарда менее 2,3. При исследовании в кинорежиме нет изменения сократительной способности ЛЖ, что также исключает НМЛЖ, в остальном – без патологических изменений; отсутствие участков патологического накопления контрастного препарата при отсроченном сканировании исключает перенесенный инфаркт миокарда, что подтверждает СТ.
Обсуждение
В описанном клиническом наблюдении диагноз СТ сразу же после выполнения КВГ, при которой выявили неизмененные коронарные артерии, не вызывал больших сомнений в связи с характерными изменениями формы ЛЖ, взаимосвязью болевого синдрома с эмоциональным стрессом у женщины 63 лет. Быстрая обратимость нарушения сократимости ЛЖ при последующем наблюдении за больной подтвердила диагноз СТ. Бо̀льшие трудности возникли при проведении дифференциального диагноза между гипертрабекулярностью ЛЖ и НМЛЖ, наличие которого первоначально не вызывало сомнений. Однако в связи с существующими рекомендациями по диагностике НМЛЖ [1, 2], требующими проведения МРТ сердца, последняя выполнена после выписки больной из стационара.
В 2005 г. S. Petersen и соавт. предложили следующий критерий НМЛЖ по данным МРТ: соотношение толщины некомпактного и компактного слоев миокарда ЛЖ более 2,3; измерение проводится по длинной оси на уровне между митральным клапаном и верхушкой ЛЖ в конце диастолы [2]. В том случае, когда толщина некомпактного слоя не соответствует принятому в настоящее время критерию, изменения в миокарде нужно расценивать как повышенную трабекулярность ЛЖ. Однако, по мнению ряда авторов, в основе повышенной трабекулярности ЛЖ могут лежать те же генетические причины, что и при развитии НМЛЖ, поэтому трансформация гипертрабекулярности в НМЛЖ может быть лишь вопросом времени [3].
В нашем случае у пациентки по данным МРТ сердца диагноз НМЛЖ исключен и выявлена повышенная трабекулярность миокарда ЛЖ. Возникает вопрос: сосуществовали ли эти два состояния – гипертрабекулярность ЛЖ и СТ или они имели патогенетическую взаимосвязь?
Как следует из данных литературы, у пациентов с НМЛЖ отмечается наличие микроваскулярной дисфункции [4], а также наблюдается нарушение вегетативной регуляции сердечного ритма в виде уменьшения вагусного влияния либо усиления симпатического [5]. Согласно современным представлениям в основе патогенеза СТ наряду с катехоламиновым повреждением миокарда лежит микроваскулярный спазм, возникающий в ответ на активацию центральной нервной системы и вегетативной системы [6, 7]. Таким образом, существует определенная общность патогенетических механизмов данных состояний. Высказывается предположение, что микрососудистая дисфункция, имеющая место при синдроме такоцубо, влияет на структуру миокарда и может приводить к увеличению толщины некомпактного слоя [8], однако у нашей пациентки гипертрабекулярность сохранялась и через 2 мес после острого эпизода. T. Karamitsos и соавт., описавшие похожее клиническое наблюдение, выдвинули предположение, что нарушение сократимости ЛЖ, возникающее при СТ, может способствовать истончению стенки ЛЖ с появлением картины гипертрабекулярного миокарда, что, в свою очередь, симулирует НМЛЖ [9]. Однако логично предположить, что в этом случае после восстановления сократимости гипертрабекулярность исчезает, чего не наблюдалось у нашей пациентки. На наш взгляд, более убедительной представляется точка зрения M. Del Buono и соавт., которые считают, что схожие механизмы патогенеза НМЛЖ и СТ могут свидетельствовать о потенциальной склонности пациентов с НМЛЖ к возникновению/рецидивированию СТ [8].
Заключение
Как указывалось, в настоящее время в литературе имеется мало сведений о сочетании СТ и гипертрабекулярности миокарда ЛЖ, поэтому для выявления взаимосвязи этих состояний требуется дальнейшее изучение вопроса.
About the authors
Svetlana A. Boldueva
Mechnikov North-Western State Medical University
Author for correspondence.
Email: svetlanaboldueva@mail.ru
D. Sci. (Med.), Prof., Mechnikov North-Western State Medical University
Russian Federation, Saint PetersburgDmitrii S. Evdokimov
Mechnikov North-Western State Medical University
Email: svetlanaboldueva@mail.ru
Clinical Resident, Mechnikov North-Western State Medical University
Russian Federation, Saint PetersburgLarisa S. Evdokimova
Mechnikov North-Western State Medical University
Email: svetlanaboldueva@mail.ru
Clinical Resident, Mechnikov North-Western State Medical University
Russian Federation, Saint PetersburgArina D. Khomulo
Mechnikov North-Western State Medical University
Email: svetlanaboldueva@mail.ru
cardiologist, Mechnikov North-Western State Medical University
Russian Federation, Saint PetersburgReferences
- Bennett CE, Freudenberger R. The Current Approach to Diagnosis and Management of Left Ventricular Noncompaction Cardiomyopathy: Review of the Literature. Cardiol Res Pract 2016. doi: 10.1155/2016/5172308
- Petersen SE, Selvanayagam JB, Wiesmann F et al. Left Ventricular Non-Compaction. J Am Coll Cardiol 2005; 46 (1):101–5. doi: 10.1016/j.jacc.2005.03.045
- Pavlenko EV, Blagova OV, Varionchik NV et al. Register of adult patients with noncompact left ventricular myocardium: classification of clinical forms and a prospective assessment of progression. Rus J Cardiol 2019; 2: 12–25. doi: 10.15829/1560-4071-2019-2-12-25
- Jenni R, Wyss CA, Oechslin EN, Kaufmann PA. Isolated ventricular noncompaction is associated with coronary microcirculatory dysfunction. J Am Coll Cardiol 2002, 39 (3): 450–4. doi: 10.1016/s0735-1097(01)01765-X
- Kawasaki T, Azuma A, Taniguchi T et al. Heart rate variability in adult patients with isolated left ventricular noncompaction. Int J Cardiol 2005; 99 (1): 147–50. doi: 10.1016/j.ijcard.2003. 11.029
- Ghadri J-R, Wittstein IS, Prasad A et al. International Expert Consensus Document on Takotsubo Syndrome (Part I): Clinical Characteristics, Diagnostic Criteria, and Pathophysiology. Eur Heart J 2018; 39 (22): 2032–46. doi: 10.1093/eurheartj/ehy076
- Болдуева С.А., Рыжикова М.В., Швец Н.С. и др. Синдром такоцубо как острая форма микроваскулярной стенокардии. Описание клинического случая. Рац. фармакотерапия в кардиологии 2017; 13 (4): 489–94. doi: 10.20996/1819-6446-2017-13-4-489-494 [Boldueva S.A., Ryzhikova M.V., Shvets N.S. et al. Sindrom takotsubo kak ostraia forma mikrovaskuliarnoi stenokardii. Opisanie klinicheskogo sluchaia. Rats. farmakoterapiia v kardiologii 2017; 13 (4): 489–94. doi: 10.20996/1819-6446-2017-13-4-489-494 (in Russian).]
- Del Buono MG, Montone RA, Camilli M et al. Takotsubo syndrome and left ventricular non-compaction cardiomyopathy: Casualty or causality? Autonomic Neuroscience: Basic Clin 2019; 218: 64–7. doi: 10.1016/j.autneu.2019.02.008
- Karamitsos TD, Bull S, Spyrou N et al. Tako-tsubo cardiomyopathy presenting with features of left ventricular non-compaction. Int J Cardiol 2008; 128 (Issue 1): 34–6. doi: 10.1016/j.ijcard.2007.05.068
Supplementary files










